ORIGINAL RESEARCH article
Front. Microbiol.
Sec. Microorganisms in Vertebrate Digestive Systems
This article is part of the Research TopicRodent Model Organisms: Therapeutic Treatments and Drugs Interaction with the Gut Microbiome, Volume IIView all 13 articles
Wolfberry prevented liver damage caused by anti-tuberculosis drugs associated with the YAP1/FXR pathway through gut microbiota
Provisionally accepted- Shanxi University of Chinese Medicine, Taiyuan, China
Select one of your emails
You have multiple emails registered with Frontiers:
Notify me on publication
Please enter your email address:
If you already have an account, please login
You don't have a Frontiers account ? You can register here
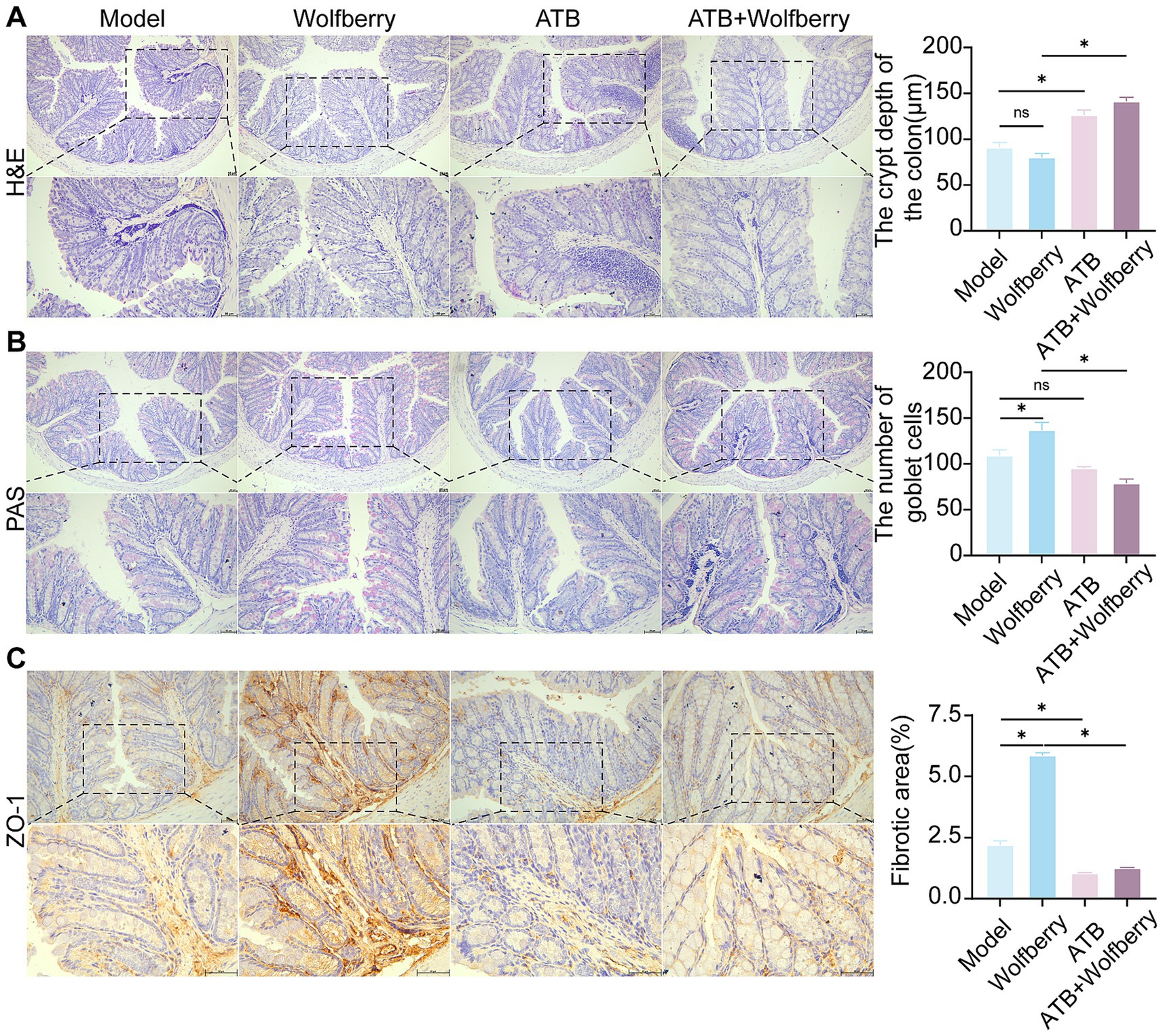
The incidence of antituberculosis drug-induced liver injury (AT-DILI) is high, with severe cases potentially leading to liver failure or death. This study explored the preventive effects of wolfberry (Lycium barbarum L.) against AT-DILI. In order to investigate the impact of wolfberry on the gut-liver axis, a mouse model produced by isoniazid (INH) and rifampicin (RIF) was created. Results showed AT-DILI decreased beneficial gut microbiota abundance and increased CYP7A1 expression associated with the YAP1 (Yes-associated protein 1)/FXR pathway. Wolfberry intervention enriched beneficial microbiota, increased goblet cells, upregulated tight junction protein ZO-1, and enhanced intestinal barrier function, while reducing serum ALT, AST, and TBA. Additionally, wolfberry increased nuclear YAP1 expression, activated FXR, and downregulated CYP7A1 to reduce TBA synthesis. The key finding is that after antibiotics clear the gut microbiota, wolfberry failed to activate the YAP1/FXR pathway. In summary, wolfberry prevented liver damage under the condition of gut microbiota presence by enhancing gut microbiota diversity, strengthening intestinal barrier function, and associating with the YAP1/FXR pathway.
Keywords: Wolfberry (Lycium barbarum L.), Antituberculosis drug-induced liver injury (AT-DILI), intestinal flora, intestinal barrier function, FXR, CYP7A1, Yap1
Received: 08 Sep 2025; Accepted: 21 Oct 2025.
Copyright: © 2025 Wang, Xiong, Liu, Song, Liu, Gong, Li and Shi. This is an open-access article distributed under the terms of the Creative Commons Attribution License (CC BY). The use, distribution or reproduction in other forums is permitted, provided the original author(s) or licensor are credited and that the original publication in this journal is cited, in accordance with accepted academic practice. No use, distribution or reproduction is permitted which does not comply with these terms.
* Correspondence: Xinli Shi, sxlsunshine@sina.com
Disclaimer: All claims expressed in this article are solely those of the authors and do not necessarily represent those of their affiliated organizations, or those of the publisher, the editors and the reviewers. Any product that may be evaluated in this article or claim that may be made by its manufacturer is not guaranteed or endorsed by the publisher.
