ORIGINAL RESEARCH article
Front. Microbiol.
Sec. Antimicrobials, Resistance and Chemotherapy
This article is part of the Research TopicA Molecular and Structural Approach to Deciphering and Combating Infectious PathogensView all 5 articles
Intrinsic Resistance to Short-Tailed Azoles in the Basal Fungus Mucor lusitanicus: Functional Analysis of Cyp51 Isoforms and Amino Acid Substitutions
Provisionally accepted- 1Medizinische Universitat Innsbruck, Innsbruck, Austria
- 2University of Otago, Dunedin, New Zealand
- 3Hackensack Meridian Hackensack University Medical Center, Hackensack, United States
- 4Ludwig-Maximilians-Universitat Munchen, Munich, Germany
Select one of your emails
You have multiple emails registered with Frontiers:
Notify me on publication
Please enter your email address:
If you already have an account, please login
You don't have a Frontiers account ? You can register here
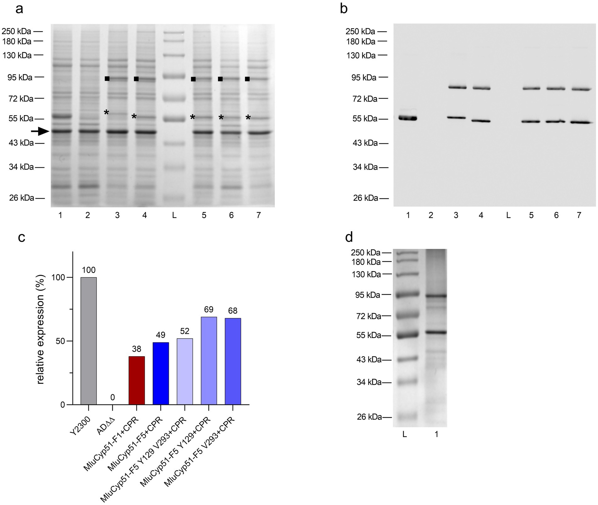
The basal fungus Mucor lusitanicus (Mlu) is a cause of mucormycosis, with limited treatment options due to intrinsic resistance to short-tailed azoles (fluconazole, voriconazole) and echinocandins. In silico analysis identified amino-acid-substitutions Y129F and V293A in the substrate-binding pocket of sterol-14α-demethylase (Cyp51, Erg11) isoform F5 as potential resistance mechanisms. This hypothesis has been experimentally tested for M. lusitanicus by expressing its Cyp51 isoforms (MluCyp51-F1, MluCyp51-F5) and modified MluCyp51-F5 variants (F129Y, A293V, F129Y A293V) with/without their cognate NADPH-cytochrome-P450-reductase (MluCPR) in Saccharomyces cerevisiae. Strains expressing MluCyp51 isoforms +/- MluCPR showed expression levels of 38– 69% compared to an overexpressed Erg11 control. Susceptibility assays confirmed that MluCyp51-F5 confers intrinsic resistance to short-tailed azoles, while substitutions F129Y, A293V, or both restored susceptibility. Growth-and susceptibility-assays revealed that the MluCyp51-F1+CPR construct had a voriconazole MIC of 0.5 µM, while Mlu Cyp51-F5+CPR had a MIC of 11.5 µM, with no changes in growth rate or ergosterol composition at 1.0 µM voriconazole. Susceptibility to long-tailed azoles (e.g. posaconazole) remained unchanged for both isoforms. These findings demonstrate the functional expression of MluCyp51-F1 and MluCyp51-F5 isoforms in a phylogenetically distant host and confirm that conserved substitutions Y129F and V293A in MluCyp51-F5 confer intrinsic resistance to short-tailed azoles in M. lusitanicus.
Keywords: azole, AMR (antimicrobial resistance), Mucormycoses, Mucormycetes, Lanosterol 14 α demethylase, Saccharomy cescerevisiae, Heterologous expression, GMO (Genetically modified organism)
Received: 09 Sep 2025; Accepted: 24 Oct 2025.
Copyright: © 2025 Rosam, Keniya, Zenz, Müller, Sarg, Stojanovic, Binder, Monk and Lackner. This is an open-access article distributed under the terms of the Creative Commons Attribution License (CC BY). The use, distribution or reproduction in other forums is permitted, provided the original author(s) or licensor are credited and that the original publication in this journal is cited, in accordance with accepted academic practice. No use, distribution or reproduction is permitted which does not comply with these terms.
* Correspondence: Michaela Lackner, michaela.lackner@i-med.ac.at
Disclaimer: All claims expressed in this article are solely those of the authors and do not necessarily represent those of their affiliated organizations, or those of the publisher, the editors and the reviewers. Any product that may be evaluated in this article or claim that may be made by its manufacturer is not guaranteed or endorsed by the publisher.
