ORIGINAL RESEARCH article
Front. Microbiol.
Sec. Antimicrobials, Resistance and Chemotherapy
This article is part of the Research TopicPlant-derived Products for Developing New AntimicrobialsView all 12 articles
Antibacterial mechanism of hops β-acids against methicillin-resistant Staphylococcus aureus and promote wound healing
Provisionally accepted- 1General Hospital of Ningxia Medical University, Yinchuan, China
- 2Pingliang Center for Disease Control and Prevention, Gansu, China
- 3University of Macau, Taipa, Macao, SAR China
Select one of your emails
You have multiple emails registered with Frontiers:
Notify me on publication
Please enter your email address:
If you already have an account, please login
You don't have a Frontiers account ? You can register here
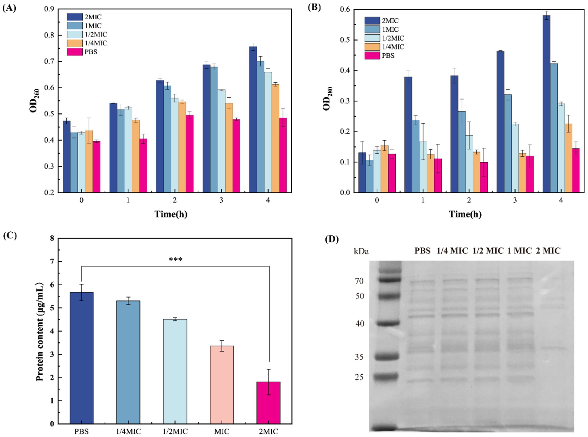
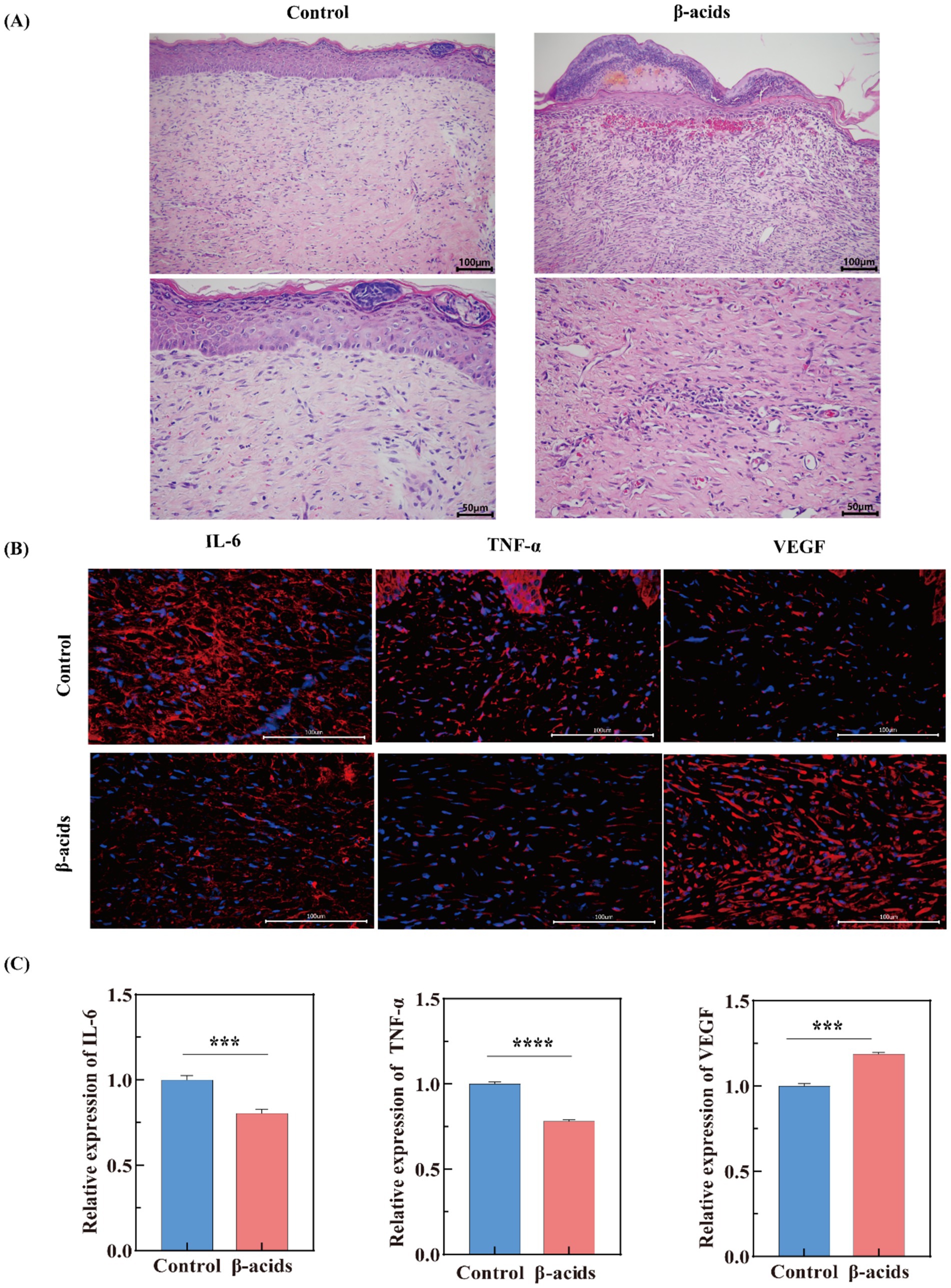
Skin wounds infected by Methicillin-resistant staphylococcus aureus (MRSA) still remain an important clinical challenge. β-acids, secondary metabolites extracted from hops, exhibit a powerful antibacterial effect on MRSA. In this study, the antimicrobial activity of β-acids against MRSA and the corresponding mechanism were studied. The antimicrobial activity results revealed that β-acids was sensitive to MRSA (MIC=62.5 μg/mL and MBC=250 μg/mL). After β-acids treatment, the morphological changes of MRSA, including surface roughness, cellular crumpling, and fracture. The content of extracellular macromolecules, such as nucleic acids and proteins, increased significantly when β-acids treatment was applied, indicating that the integrity and permeability of cell membranes were disrupted. Meanwhile, laser confocal microscopy results showed that the cell membrane was severely damaged. Additionally, β-acids minimized intracellular adenosine triphosphate (ATP), suppressed Na⁺-K⁺-ATPase and Ca²⁺-Mg²⁺-ATPase activities, and accelerated intracellular reactive oxygen species (ROS) accumulation, ultimately inducing bacterial death. The result of transcriptome RNA sequencing suggested that the pathways involved "carbohydrate metabolism", "amino acid metabolism", "energy metabolism", and "translation", were significantly enriched. After the mice were successfully modeled with MRSA-infected wounds, β-acids was administered for 15 days, and faster healing of the wound area was observed in the treated group. H&E staining demonstrated gradual regeneration of dermal and epidermal tissues after β-acids treatment. Immunofluorescence results demonstrated that β-acids accelerated wound healing by markedly reducing IL-6 and TNF-α, increasing VEGF levels, and suppressing infection. Overall, β-acids may be promising agents for the effective treatment of MRSA.
Keywords: β-acids, Antibacterial activity, MRSA, antibacterial mechanism, Woundhealing
Received: 22 Sep 2025; Accepted: 10 Nov 2025.
Copyright: © 2025 Li, Wei, Zhang, Luo, Yang, Zhang, Liu, Qiao and Tian. This is an open-access article distributed under the terms of the Creative Commons Attribution License (CC BY). The use, distribution or reproduction in other forums is permitted, provided the original author(s) or licensor are credited and that the original publication in this journal is cited, in accordance with accepted academic practice. No use, distribution or reproduction is permitted which does not comply with these terms.
* Correspondence: Bingren Tian, tianbingren1@163.com
Disclaimer: All claims expressed in this article are solely those of the authors and do not necessarily represent those of their affiliated organizations, or those of the publisher, the editors and the reviewers. Any product that may be evaluated in this article or claim that may be made by its manufacturer is not guaranteed or endorsed by the publisher.
