CASE REPORT article
Front. Surg.
Sec. Orthopedic Surgery
This article is part of the Research TopicInnovations in Surgical and Biomechanical Approaches to Foot and Ankle Sports InjuriesView all articles
Combined Flexor Sheath and Gastrocnemius Aponeurosis Flap for the Treatment of Chronic Calcified Achilles Tendon Rupture: A Case Report
Provisionally accepted- Hubei University of Chinese Medicine, Wuhan, China
Select one of your emails
You have multiple emails registered with Frontiers:
Notify me on publication
Please enter your email address:
If you already have an account, please login
You don't have a Frontiers account ? You can register here
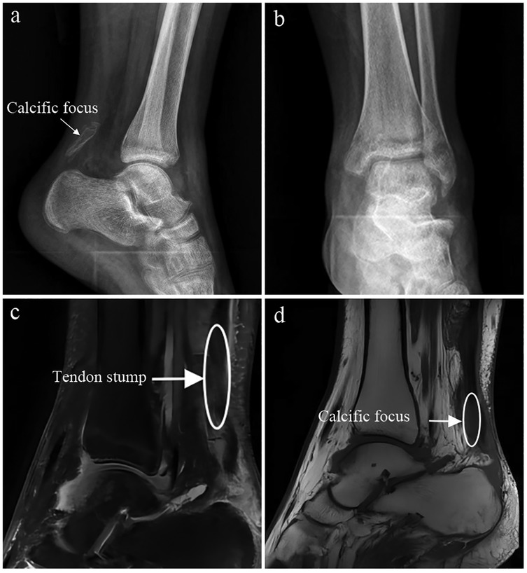
Introduction: The Achilles tendon is the largest tendon in the human body and is prone to rupture when subjected to excessive dorsiflexion trauma of the ankle joint. The primary goal of treatment is to restore limb function; however, there remains considerable debate regarding the optimal management strategy. Patient Concerns: We report a patient presenting with chronic Achilles tendon rupture accompanied by calcification of the tendon, which caused persistent pain and functional limitation of the affected limb. Diagnosis: Chronic Achilles tendon rupture with associated tendon calcification, with a tendon defect measuring approximately 6 cm on preoperative imaging, confirmed by clinical examination and imaging evaluation. Interventions: The patient underwent surgical removal of the calcified lesion, followed by reconstruction of the tendon defect using a gastrocnemius aponeurosis flap combined with the Achilles tendon sheath. Outcomes: Postoperative recovery was favorable, and at the 6-month follow-up, the patient achieved satisfactory ankle function with an AOFAS score of 89, a VISA-A score of 91, and an ATRS score of 90. At the 12-month follow-up, functional outcomes remained stable, with an AOFAS score of 95, a VISA-A score of 96, and an ATRS score of 94, confirming sustained recovery and tendon integrity. Conclusion: This case highlights a feasible surgical strategy for chronic Achilles tendon rupture with calcification, which may provide an alternative approach for tendon reconstruction in patients with sheath proliferation and calcified lesions.
Keywords: Achilles Tendon, calcification, chronic rupture, suture anchor, case report
Received: 18 Aug 2025; Accepted: 11 Nov 2025.
Copyright: © 2025 Shao, Tu, Li, Xiao and Zhu. This is an open-access article distributed under the terms of the Creative Commons Attribution License (CC BY). The use, distribution or reproduction in other forums is permitted, provided the original author(s) or licensor are credited and that the original publication in this journal is cited, in accordance with accepted academic practice. No use, distribution or reproduction is permitted which does not comply with these terms.
* Correspondence: Yi Shao, 3915268603@qq.com
Disclaimer: All claims expressed in this article are solely those of the authors and do not necessarily represent those of their affiliated organizations, or those of the publisher, the editors and the reviewers. Any product that may be evaluated in this article or claim that may be made by its manufacturer is not guaranteed or endorsed by the publisher.
