ORIGINAL RESEARCH article
Front. Vet. Sci.
Sec. Veterinary Imaging
Synovial folds of the lateral atlantoaxial joints in dogs: a Magnetic Resonance, anatomic, and histologic study
Provisionally accepted- 1Division of Clinical Radiology, Department of Clinical Veterinary Medicine, Universitat Bern Vetsuisse Fakultat, Bern, Switzerland
- 2Division of Veterinary Anatomy, Department of Clinical Research and Veterinary Public Health, Universitat Bern Vetsuisse Fakultat, Bern, Switzerland
- 3Division of Surgery, Department of Clinical Veterinary Medicine, Vetsuisse Faculty, Universitat Bern Vetsuisse Fakultat, Bern, Switzerland
Select one of your emails
You have multiple emails registered with Frontiers:
Notify me on publication
Please enter your email address:
If you already have an account, please login
You don't have a Frontiers account ? You can register here
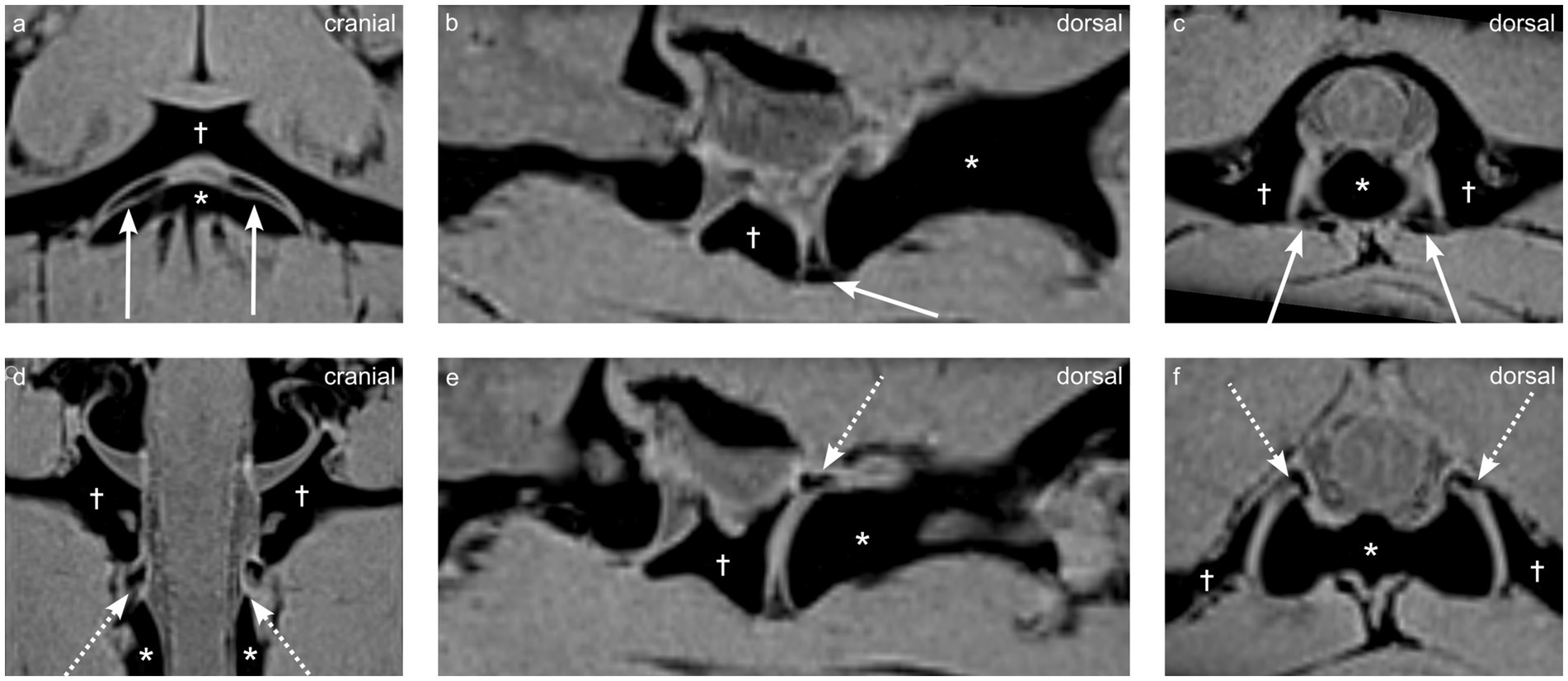
Purpose Synovial folds of the lateral atlantoaxial joints are well described normal anatomical structures in humans, which play a potential role in neck pain; however, scant information exists regarding these structures in dogs. The purpose of this study was to identify and describe atlantoaxial synovial folds in dogs using magnetic resonance imaging (MRI), gross anatomy and histological examination. Methods Six client-owned dogs, euthanized for reasons unrelated to this study and without known disease in the craniocervical region, underwent postmortem MRI of the cranial cervical spine (3 Tesla, Siemens Magnetom Vida) using T2-weighted (T2w), T1-weighted (T1w), short tau inversion recovery (STIR), Dixon, and fat-suppressed volumetric interpolated breath-hold examination (VIBE) sequences. In five dogs the lateral atlantoaxial joints were gross anatomically dissected, while one of them underwent histological examination. Results Fat-suppressed VIBE sequences provided optimal visualization of synovial folds within the atlantoaxial joints. Ventral synovial folds were discernible in all dogs by MRI and gross anatomical examination presenting as ventral synovial bulges extending into the joint space. While smaller dorsal synovial folds were identified by MRI only in 2 dogs, but by gross anatomical examination in all dogs. Light microscopy of the histological specimen confirmed that the folds were extensions of the joint capsule`s synovial membrane, which were mainly composed of vascularized connective and adipose tissue; and were covered by synovial cells. Discussion/Conclusion Synovial folds are present in canine atlantoaxial joints free from known atlantoaxial disease. Dorsal and ventral folds could be visualized on post-mortem macroscopic and histological examinations. The larger ventral folds were consistently visualized using MRI with fat-suppressed VIBE sequences. The anatomical structure of the canine synovial folds suggests a similarity to humans, indicating that some conditions may analogously affect the synovial folds. Further investigations are warranted to elucidate the clinical relevance of these synovial folds in dogs.
Keywords: Meniscoid folds, dog, MRI, Cervical, Neck
Received: 13 Jun 2025; Accepted: 08 Oct 2025.
Copyright: © 2025 Burg-Personnaz, Kässmeyer, Forterre, Precht and Haenssgen. This is an open-access article distributed under the terms of the Creative Commons Attribution License (CC BY). The use, distribution or reproduction in other forums is permitted, provided the original author(s) or licensor are credited and that the original publication in this journal is cited, in accordance with accepted academic practice. No use, distribution or reproduction is permitted which does not comply with these terms.
* Correspondence:
Juliette Bénédicte Burg-Personnaz, lastexile68@msn.com
Christina Precht, christina.precht@unibe.ch
Disclaimer: All claims expressed in this article are solely those of the authors and do not necessarily represent those of their affiliated organizations, or those of the publisher, the editors and the reviewers. Any product that may be evaluated in this article or claim that may be made by its manufacturer is not guaranteed or endorsed by the publisher.
