ORIGINAL RESEARCH article
Front. Vet. Sci.
Sec. Veterinary Neurology and Neurosurgery
This article is part of the Research TopicCutting-Edge Technology in Veterinary Medicine - volume IIView all 6 articles
Comparative accuracy evaluation of patient-specific 3D-printed guide and neuronavigation for ventriculoperitoneal shunt in dogs: A dual-phase ex vivo and in vivo study
Provisionally accepted- 1Department of Veterinary Surgery, College of Veterinary Medicine, Chungnam National University, Daejeon, Republic of Korea
- 2Department of Clinical Sciences, Faculty of Veterinary Medicine, Utrecht University, Utrecht, Netherlands
Select one of your emails
You have multiple emails registered with Frontiers:
Notify me on publication
Please enter your email address:
If you already have an account, please login
You don't have a Frontiers account ? You can register here
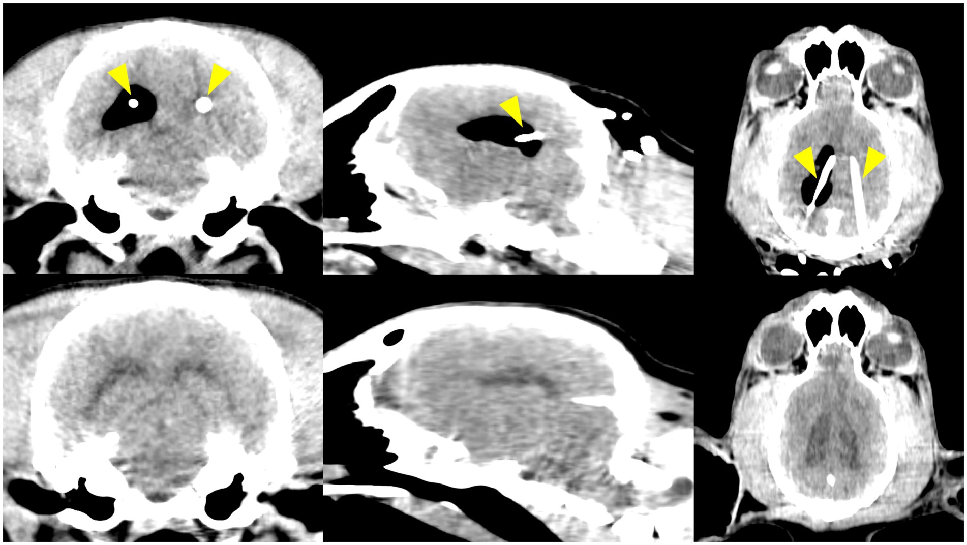
Background: Ventriculoperitoneal shunting (VPS) is an effective treatment for canine hydrocephalus, but complications related to ventricular catheter (VC) misplacement remain a concern. Although neuronavigation improves accuracy, its cost and complexity limit veterinary use. Patient-specific 3D-printed guiding systems (PS-3DGS) offer a potential alternative. Objectives: To compare the accuracy and feasibility of PS-3DGS compared to electromagnetic neuronavigation for VC placement in 3D-printed canine cranio-ventricular models (CVMs) and Beagle dogs. Animals and study design: Ten 3D-printed CVMs (ex vivo study) and five experimental Beagle dogs (in vivo study). Methods: VC placement was performed using PS-3DGS and neuronavigation in CVMs and experimental animals. Accuracy was assessed by the distance from the VC tip to the foramen of Monro (DFM), tip coordinates (X, Y, Z axes), tip placement error, intraventricular insertion length (IIL), and catheter contact with the ventricular wall (VVL). Intraoperative procedural time and anatomical variables, including skull and cranial indices, were also analyzed. Results: PS-3DGS showed no significant difference in DFM compared to neuronavigation in CVMs and Beagle dogs. PS-3DGS achieved significantly lower VVL and reduced procedural time than neuronavigation in the CVM study (p=0.011 and p=0.039, respectively). In dogs, DFM with PS-3DGS was comparable to both neuronavigation and the ex vivo results. Entry point error correlated negatively with cranial index (r=-0.9, p=0.037). Conclusion: PS-3DGS provided accuracy comparable to neuronavigation while simplifying the procedure. It represents a viable, cost-effective alternative for canine VPS surgery, potentially enhancing catheter placement and reducing complications.
Keywords: Hydrocephalus, Ventriculoperitoneal Shunt, Ventricular catheter, Neuronavigation, Patient specific guide
Received: 14 Jul 2025; Accepted: 27 Oct 2025.
Copyright: © 2025 Jeon, Cho, Jeong, Meij and Lee. This is an open-access article distributed under the terms of the Creative Commons Attribution License (CC BY). The use, distribution or reproduction in other forums is permitted, provided the original author(s) or licensor are credited and that the original publication in this journal is cited, in accordance with accepted academic practice. No use, distribution or reproduction is permitted which does not comply with these terms.
* Correspondence:
Björn Meij, b.p.meij@uu.nl
Haebeom Lee, seatiger76@cnu.ac.kr
Disclaimer: All claims expressed in this article are solely those of the authors and do not necessarily represent those of their affiliated organizations, or those of the publisher, the editors and the reviewers. Any product that may be evaluated in this article or claim that may be made by its manufacturer is not guaranteed or endorsed by the publisher.
