ORIGINAL RESEARCH article
Front. Vet. Sci.
Sec. Veterinary Dentistry and Oromaxillofacial Surgery
Volume 12 - 2025 | doi: 10.3389/fvets.2025.1674207
This article is part of the Research Topic3D Printing and Virtual Surgery in Veterinary Dentistry and Oromaxillofacial SurgeryView all 6 articles
A Multimodal Investigation of a Pink Discoloured Canine Tooth in a Jaguar (Panthera onca): A Clinical, Computed Tomographic, Microstructural, Ultrastructural, and Computer-aided-design/Computer-aided-manufacturing (CAD/CAM) Prosthodontic Reconstruction Study
Provisionally accepted- 1Other, Cluj-Napoca, Romania
- 2Universitatea de Stiinte Agricole si Medicina Veterinara Cluj-Napoca, Cluj-Napoca, Romania
- 3Electron Microscopy Center “Prof. C. Craciun”, Faculty of Biology & Geology, “Babes-Bolyai” University, Cluj-Napoca, Romania
- 4Muzeul National de Istorie Naturala Grigore Antipa, Bucharest, Romania
- 5Universitatea de Medicina si Farmacie Iuliu Hatieganu, Cluj-Napoca, Romania
- 6Dental Technician, Cluj-Napoca, Romania
- 7DIVET MEDIC ALL, Bucharest, Romania
Select one of your emails
You have multiple emails registered with Frontiers:
Notify me on publication
Please enter your email address:
If you already have an account, please login
You don't have a Frontiers account ? You can register here
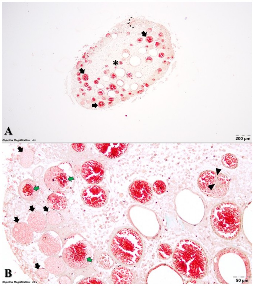
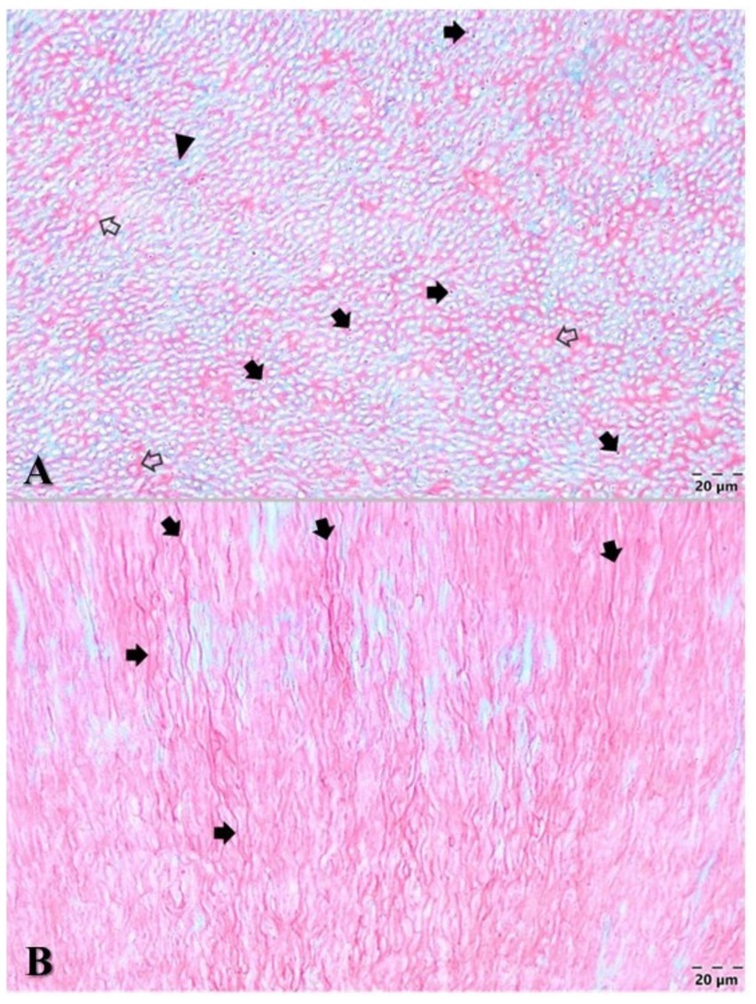
Wild animals in captivity are prone to developing dental diseases. Pink discoloured canine teeth in jaguars are often seen in wildlife photographs but are rarely reported in the literature, and none have been formally investigated. Within 24 hours post-mortem, the oral cavity of a zoo jaguar was investigated using computed tomography (CT). One pink discoloured canine tooth was atraumatically extracted, fixed and stained for histological and transmission electron microscopic (TEM) examination. The intravitam pink discoloured canine tooth had no periodontal or periapical lesions, and microscopically the dental pulp presented numerous ectatic blood vessels with numerous thrombi that occluded the blood vessels. A high percentage of thrombi presented the retunneling phenomenon. Fluorescence imaging confirmed the presence of haemoglobin in the dentinal tubules. The study, the first of its type, sheds light on an intravitam pink discoloured canine tooth opening, a hitherto unexplored topic in zoo dentistry. For the skull to be accepted into the zoological collection of the National Institute of Biology, the extracted canine tooth had to be replaced by a 1:1 scale prosthodontic reconstruction, macroscopically identical to the natural tooth. Prosthodontic reconstruction was performed using computer-aided design and manufacturing (CAD/CAM) technology. The study, the first of its type, investigates an intravitam pink discoloured canine tooth in a jaguar, a hitherto unexplored topic in zoo dentistry, and describes its prosthodontic reconstruction.
Keywords: pink discoloured tooth, jaguar, Dental Pulp, computed tomography, Electron microscopy, CAD/CAM
Received: 27 Jul 2025; Accepted: 08 Sep 2025.
Copyright: © 2025 Nedelea, GAL, Rus, Sorin Marian, Tripon, Deak, Borzan, Chișamera, Mureșan, Dumitru, Mătură, Panaitescu and Marcus. This is an open-access article distributed under the terms of the Creative Commons Attribution License (CC BY). The use, distribution or reproduction in other forums is permitted, provided the original author(s) or licensor are credited and that the original publication in this journal is cited, in accordance with accepted academic practice. No use, distribution or reproduction is permitted which does not comply with these terms.
* Correspondence: Raluca Ioana Nedelea, ralupi2000@yahoo.com
Disclaimer: All claims expressed in this article are solely those of the authors and do not necessarily represent those of their affiliated organizations, or those of the publisher, the editors and the reviewers. Any product that may be evaluated in this article or claim that may be made by its manufacturer is not guaranteed or endorsed by the publisher.
