BRIEF RESEARCH REPORT article
Front. Vet. Sci.
Sec. Parasitology
Detection of Ichthyophthirius multifiliis (Ichthyophthiriidae) in two wild amphibian species
Provisionally accepted- 1University of Barcelona, Barcelona, Spain
- 2CRARC-Catalonian Reptiles and Amphibians Rescue Center, Masquefa, Spain
- 3CRT-Centre Reproducció Tortugues, Garriguella, Spain
- 4King Mongkut's Institute of Technology Ladkrabang - Chumphon Campus, Mueang Chumphon District, Thailand
Select one of your emails
You have multiple emails registered with Frontiers:
Notify me on publication
Please enter your email address:
If you already have an account, please login
You don't have a Frontiers account ? You can register here
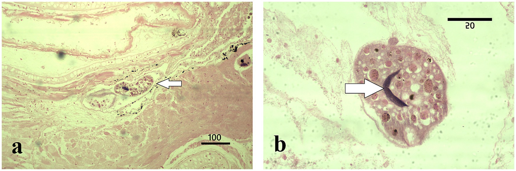
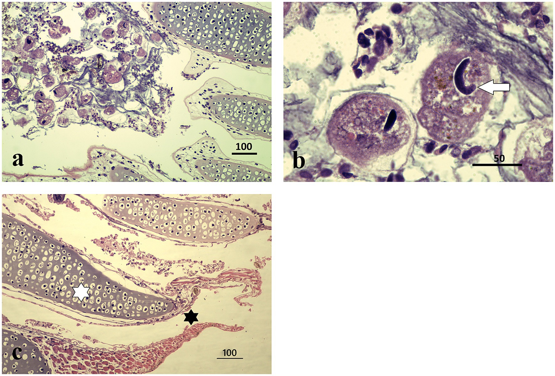
Emerging infectious diseases are one of the main threats to global amphibian populations. Frogs and salamanders are already affected by various pathogens, including ranaviruses, Batrachochytrium dendrobatidis, B. salamandrivorans, and helminths. Here, we report the first confirmed cases of Ichthyophthirius multifiliis, a ciliate parasite traditionally considered fish-specific, infecting wild amphibian larvae in a natural setting. As part of a passive surveillance program in Catalonia, five dead amphibians (four S. salamandra larvae and one Rana temporaria post-metamorph) were collected from a freshwater spring and examined for common pathogens. All individuals tested negative for chytrid fungi and ranaviruses by qPCR. However, histological examination of the gill tissue revealed the presence of I. multifiliis trophonts in three of the salamander metamorphs and the frog post-metamorph. In addition, larvae of fourty-two amphibians from other localities in Catalonia resulted negative. The observed trophonts matched morphological features described in teleost infections, including their characteristic macronucleus and surface ciliation. Our results further validate the previous molecular detection and experimental evidence suggesting the parasite's potential for cross-taxa infection and raise concerns about the overlooked potential prevalence of I. multifiliis in wild amphibians. Given the increasing impact of climate change and habitat alteration on global freshwater ecosystems, this study highlights the importance of including I. multifiliis in amphibian disease monitoring programs.
Keywords: Ichthyophthirius, Salamandra, drought, amphibian, Spain, Aquatic ecology, Disease
Received: 09 Aug 2025; Accepted: 29 Sep 2025.
Copyright: © 2025 Poonlaphdecha, Martínez-Silvestre, Collado Conde, Budó Ricart, Suwannarat and Ribas Salvador. This is an open-access article distributed under the terms of the Creative Commons Attribution License (CC BY). The use, distribution or reproduction in other forums is permitted, provided the original author(s) or licensor are credited and that the original publication in this journal is cited, in accordance with accepted academic practice. No use, distribution or reproduction is permitted which does not comply with these terms.
* Correspondence: Alexis Ribas Salvador, aribas@ub.edu
Disclaimer: All claims expressed in this article are solely those of the authors and do not necessarily represent those of their affiliated organizations, or those of the publisher, the editors and the reviewers. Any product that may be evaluated in this article or claim that may be made by its manufacturer is not guaranteed or endorsed by the publisher.
