CASE REPORT article
Front. Vet. Sci.
Sec. Veterinary Imaging
This article is part of the Research TopicRecent Advances in the Management of Cardiac Disease in Companion AnimalsView all 4 articles
Case Report: Concurrent atrial and ventricular septal defect in a young Sphynx cat
Provisionally accepted- 1Departement of Veterinary Medical Imaging, College of Veterinary Medicine, Jeonbuk national University, Iksan, Republic of Korea
- 2Biosafety Research Institute and College of Veterinary Medicine, Jeonbuk National University - Specialized Campus, Iksan-si, Republic of Korea
- 3Sungsim Animal Medical Center, Daejeon, Republic of Korea
Select one of your emails
You have multiple emails registered with Frontiers:
Notify me on publication
Please enter your email address:
If you already have an account, please login
You don't have a Frontiers account ? You can register here
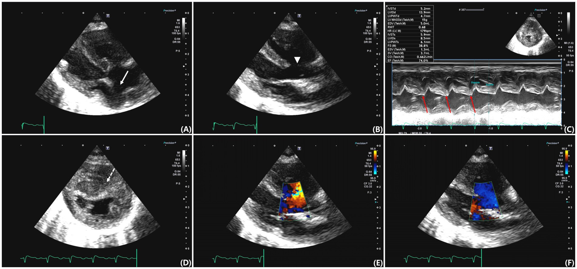
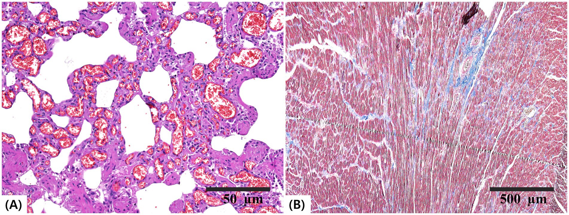
Concurrent atrial septal defect (ASD) and ventricular septal defect (VSD) are rare in cats. A 7-month-old intact female Sphynx cat was presented for evaluation of respiratory distress and exercise intolerance. Thoracic radiographs showed generalized cardiomegaly and pulmonary infiltrates, consistent with cardiogenic pulmonary edema. Transthoracic echocardiography revealed an ostium secundum–type ASD and a perimembranous VSD, with structurally normal atrioventricular valves and annuli. These features supported the diagnosis of concurrent ASD and VSD, rather than an atrioventricular septal defect. Color Doppler echocardiography and agitated saline contrast studies confirmed bidirectional shunting at both defect sites. Additionally, echocardiographic findings were consistent with pulmonary hypertension. As Eisenmenger syndrome was suspected and the owner declined invasive intervention, surgical repair was not performed. Initial treatment with furosemide and supplemental oxygen led to clinical improvement. The owner later discontinued diuretics; however, the cat remained asymptomatic for several months. Cyanosis and erythrocytosis developed approximately 8 months after initial presentation. Follow-up thoracic imaging and Doppler echocardiography demonstrated reduced cardiac silhouette size without recurrent pulmonary edema, right-sided chamber enlargement with right ventricular hypertrophy, and decreased pulmonary-to-systemic flow ratio, consistent with progression of Eisenmenger physiology. Medical management with phlebotomy, sildenafil, clopidogrel, and oxygen supplementation provided temporary stabilization; however, the cat eventually died approximately 1 year after diagnosis, likely due to disease progression and inconsistent therapeutic compliance. Postmortem examination confirmed both septal defects and marked right ventricular hypertrophy, consistent with the ante-mortem imaging findings. Histopathological examination revealed pulmonary vascular remodeling and myocardial fibrosis, indicative of chronic pulmonary hypertension. This report represents the first documented case of concurrent ASD and VSD with Eisenmenger physiology in a cat, with long-term clinical follow-up and postmortem confirmation.
Keywords: congenital heart disease, Atrial septal defect, Ventricular septal defect, case report, Echocardiography, Eisenmenger syndrome, shunt
Received: 12 Aug 2025; Accepted: 27 Oct 2025.
Copyright: © 2025 Lee, Oh, Oh, Kim, Park, Lee and Yoon. This is an open-access article distributed under the terms of the Creative Commons Attribution License (CC BY). The use, distribution or reproduction in other forums is permitted, provided the original author(s) or licensor are credited and that the original publication in this journal is cited, in accordance with accepted academic practice. No use, distribution or reproduction is permitted which does not comply with these terms.
* Correspondence: Hakyoung Yoon, knighttt7240@gmail.com
Disclaimer: All claims expressed in this article are solely those of the authors and do not necessarily represent those of their affiliated organizations, or those of the publisher, the editors and the reviewers. Any product that may be evaluated in this article or claim that may be made by its manufacturer is not guaranteed or endorsed by the publisher.
