ORIGINAL RESEARCH article
Front. Vet. Sci.
Sec. Animal Reproduction - Theriogenology
This article is part of the Research TopicBiomarker Identification and Novel Therapies in Equine MedicineView all 4 articles
Granulosa cell tumor in Arabian mares: prevalence, risk factors, clinical and histopathological findings and outcome of surgical removal
Provisionally accepted- 1Department of Clinical Sciences, College of Veterinary Medicine, Qassim University, buraydah, Saudi Arabia
- 2Department of Surgery, Anesthesiology and Radiology, University Veterinary Hospital, Qassim University, P.O. Box 6622, Buraidah, 51452, Saudi Arabia, Buraydah, Saudi Arabia
Select one of your emails
You have multiple emails registered with Frontiers:
Notify me on publication
Please enter your email address:
If you already have an account, please login
You don't have a Frontiers account ? You can register here
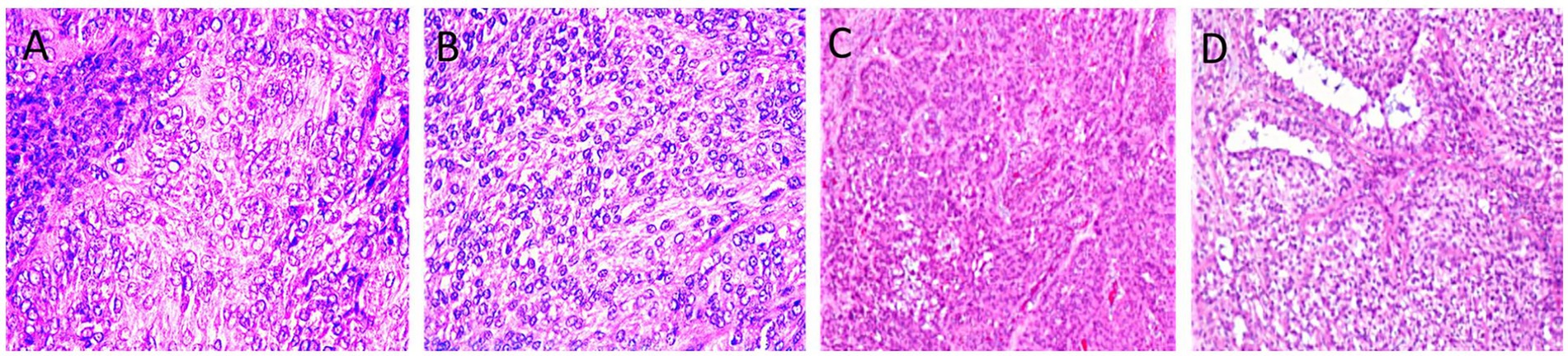
Introduction: Granulosa cell tumors (GCTs) represent the most common ovarian neoplasms in mares, yet data on their epidemiology, risk factors, and clinical outcomes in Arabian horses are limited. Understanding their prevalence and diagnostic features is crucial for improving fertility management in this breed. Methods: Clinical records from 807 Arabian mares housed on 35 stud farms in central Saudi Arabia were retrospectively reviewed to determine the prevalence of GCT and potential risk factors, including age, parity, and anabolic steroid use. Twenty-four confirmed cases were further investigated using clinical examination, ultrasonography, endocrine profiling, and histopathology. Surgical management by unilateral ovariectomy was performed in 20 mares, and postoperative fertility outcomes were documented. Results: The overall prevalence of GCT was 0.6%. Logistic regression analysis identified anabolic steroid use as a significant risk factor (Odds Ratio = 13.21, P = 0.0001). Stallion-like behavior was the most frequent clinical manifestation (58.3%), followed by anestrus (33.3%) and persistent estrus (8.3%). Ultrasonography revealed four distinct tumor morphologies, with contralateral ovarian atrophy present in 75% of cases. Histopathology classified tumors into adult type (76.5%) and juvenile type (23.5%). Preoperative testosterone concentrations were elevated and decreased postoperatively in 72.7% of mares. Ovariectomy resulted in an 80% recovery rate, with 68.8% of mares regaining fertility. Discussion: This study demonstrates that anabolic steroid administration markedly increases the risk of GCT in Arabian mares. Behavioral changes, ultrasonographic appearance, and hormonal profiles remain key diagnostic indicators, while histopathology confirms tumor classification. Surgical excision proved effective, with favorable fertility outcomes in most mares. These findings underscore the importance of early diagnosis and highlight the need for judicious use of anabolic steroids in breeding programs.
Keywords: Arabian mare, Ovary, tumor, anabolic steroids, equine fertility
Received: 20 Aug 2025; Accepted: 21 Oct 2025.
Copyright: © 2025 Derar, Ali, Al-Sobayil and Refaai. This is an open-access article distributed under the terms of the Creative Commons Attribution License (CC BY). The use, distribution or reproduction in other forums is permitted, provided the original author(s) or licensor are credited and that the original publication in this journal is cited, in accordance with accepted academic practice. No use, distribution or reproduction is permitted which does not comply with these terms.
* Correspondence: Derar Derar, dr.mohammad@qu.edu.sa
Disclaimer: All claims expressed in this article are solely those of the authors and do not necessarily represent those of their affiliated organizations, or those of the publisher, the editors and the reviewers. Any product that may be evaluated in this article or claim that may be made by its manufacturer is not guaranteed or endorsed by the publisher.
