CASE REPORT article
Front. Vet. Sci.
Sec. Veterinary Clinical, Anatomical, and Comparative Pathology
Case Report: Congenital gingival angiomatosis in a newborn lamb
Provisionally accepted- 1University of León, León, Spain
- 2Instituto de Ganaderia de Montana, Vega de Infanzones, Spain
Select one of your emails
You have multiple emails registered with Frontiers:
Notify me on publication
Please enter your email address:
If you already have an account, please login
You don't have a Frontiers account ? You can register here
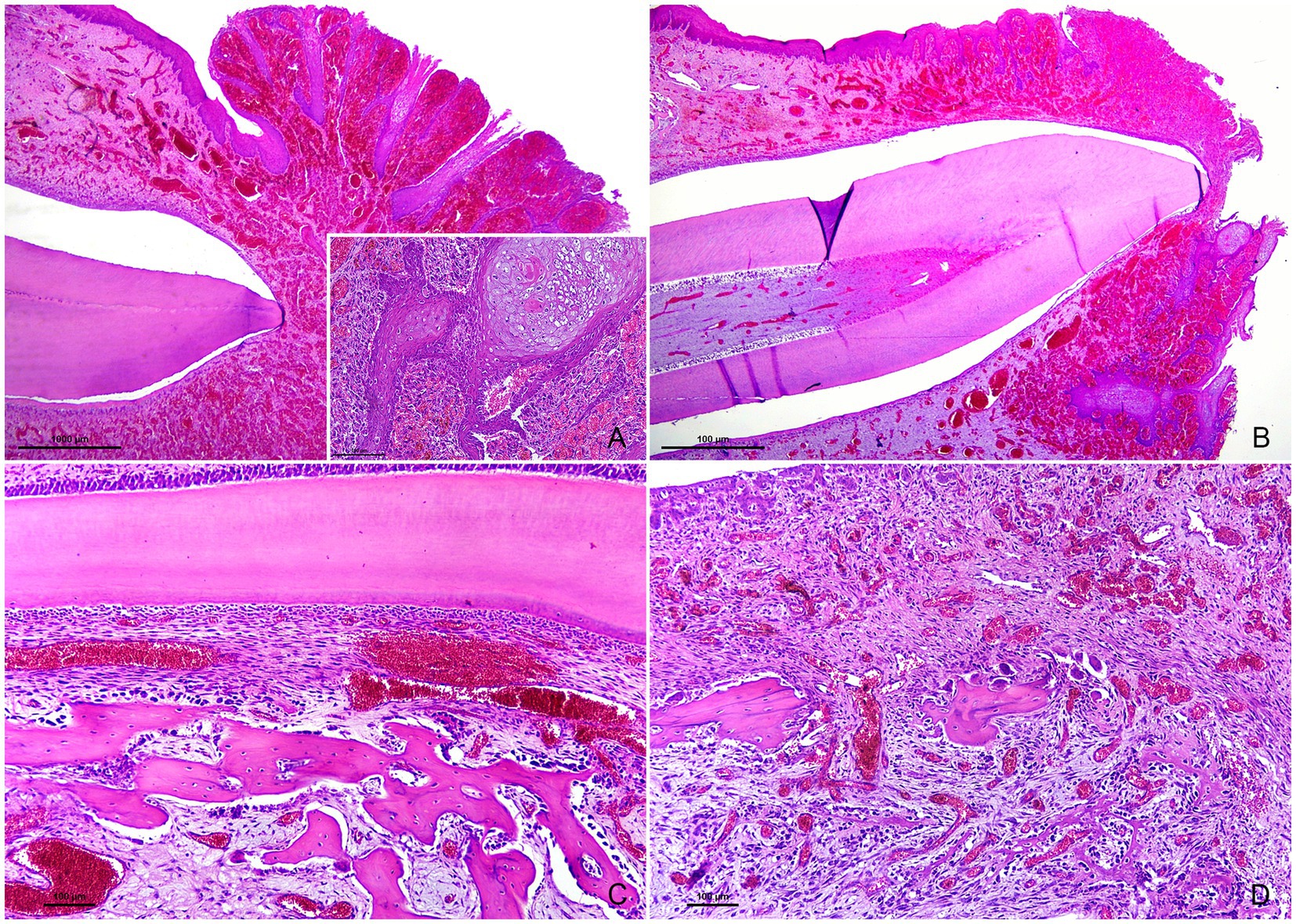
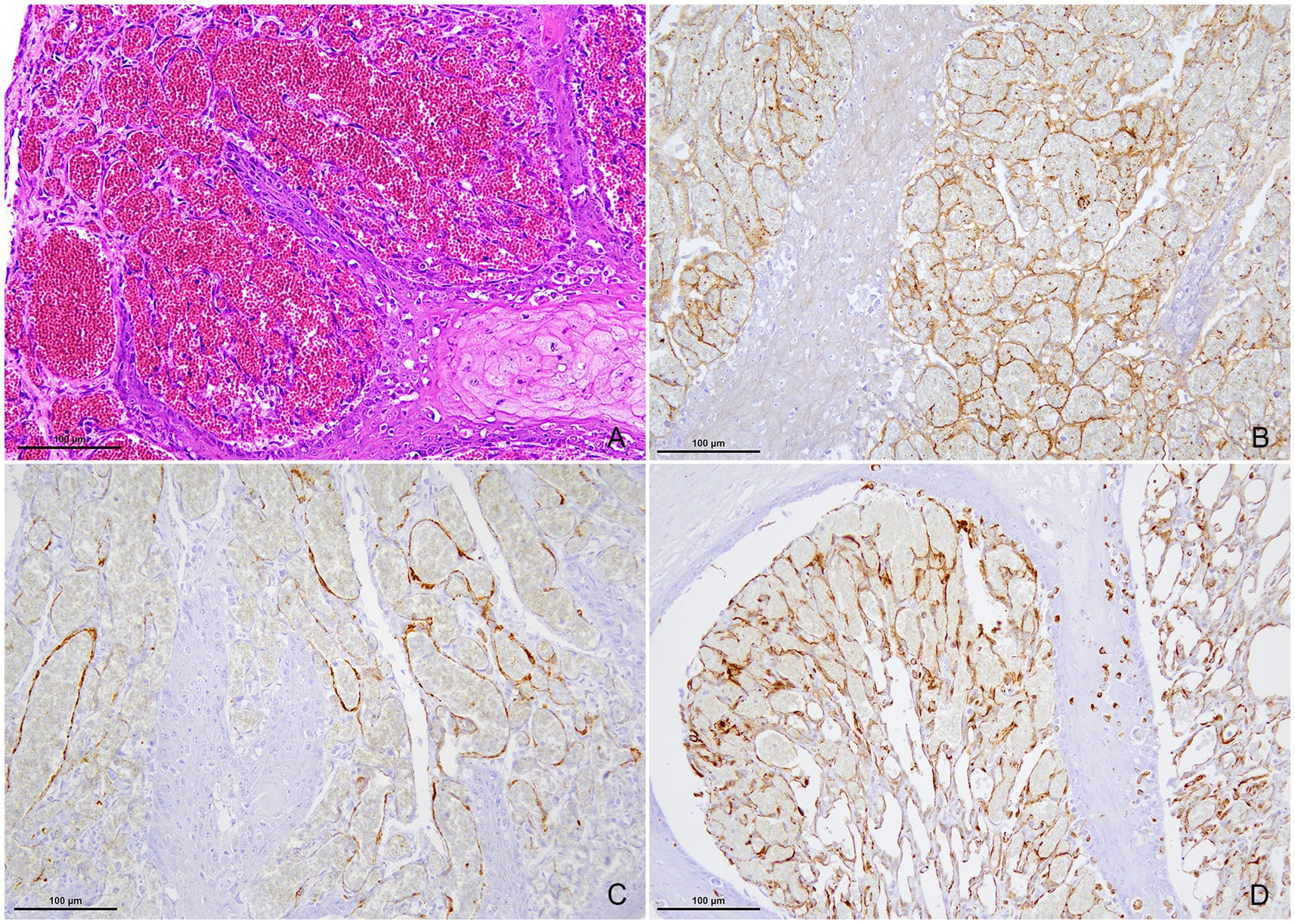
Proliferative vascular disorders are rare congenital tumor-like lesions that arise from anomalies in blood vessel development. A newborn Assaf lamb presented with a diffuse, multinodular, dark-red overgrowth of the periodontal gingiva, accompanied by refusal to suckle. The animal developed diarrhea and died two days after birth. Necropsy was performed, and histopathological examination of the oral lesions revealed a marked expansion of the gingival stroma by multiple, closely packed, small-to medium-sized vascular channels. These were lined by a single layer of von Willebrand factor-and vimentin-positive endothelial cells and were partially surrounded by alpha smooth muscle actin (α-SMA)- and vimentin-positive spindle cells, consistent with well-differentiated capillaries and post-capillary venules. Taken together, these findings were consistent with a diffuse vascular gingival hamartomatosis/angiomatosis. The congenital nature and distribution of the lesions are supportive of a malformation of the periodontal vasculature.
Keywords: lamb, Gingiva, vascular malformation, Hamartoma, Angiomatosis
Received: 09 Sep 2025; Accepted: 04 Nov 2025.
Copyright: © 2025 Zapico, Pérez, Criado Boyero, Mendívil, Silva, Benavides, Ferreras and Espinosa. This is an open-access article distributed under the terms of the Creative Commons Attribution License (CC BY). The use, distribution or reproduction in other forums is permitted, provided the original author(s) or licensor are credited and that the original publication in this journal is cited, in accordance with accepted academic practice. No use, distribution or reproduction is permitted which does not comply with these terms.
* Correspondence: David Zapico, dzapis00@estudiantes.unileon.es
Disclaimer: All claims expressed in this article are solely those of the authors and do not necessarily represent those of their affiliated organizations, or those of the publisher, the editors and the reviewers. Any product that may be evaluated in this article or claim that may be made by its manufacturer is not guaranteed or endorsed by the publisher.
