CASE REPORT article
Front. Vet. Sci.
Sec. Oncology in Veterinary Medicine
This article is part of the Research TopicPrecision Diagnosis and Targeted Therapies in Companion Animal OncologyView all 4 articles
Clinicopathological findings of a cutaneous mast cell tumor in a young domestic meerkat (Suricata suricatta)
Provisionally accepted- 1Private Veterinary Laboratory - MyLav, Milan, Italy
- 2Department of Comparative Biomedicine and Food Science (BCA), University of Padova, Padova, Italy
- 3Clinica Veterinaria Casalpalocco SRL, Rome, Italy
Select one of your emails
You have multiple emails registered with Frontiers:
Notify me on publication
Please enter your email address:
If you already have an account, please login
You don't have a Frontiers account ? You can register here
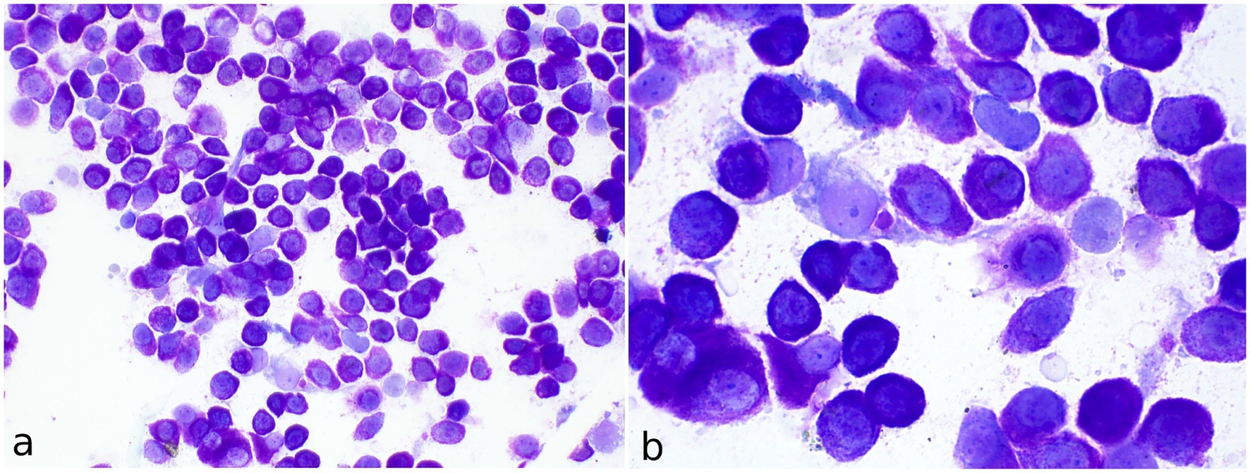
A 10-month-old female domestic meerkat (Suricata suricatta) was presented with a cutaneous nodule in the left axillary region. The animal was clinically healthy and radiographs showed no evidence of involvement of visceral organs. Based on fine-needle aspirate that revealed numerous well-differentiated mast cells, a mast cell tumor was suspected. Surgical excision was performed and the mass submitted for histologic examination. Histopathological findings showed a round cell tumor, with marked cellular atypia and moderate mitotic activity; Giemsa special staining revealed a large number of fine cytoplasmic metachromatic granules. Histological and histochemical findings confirmed the cytological suspicion of a mast cell tumor. Based on prognostic factors used in the canine species, immunohistochemistry with antibodies against Ki67 (a marker of cellular proliferation) and CD117 (a KIT receptor localization marker) revealed that 90% of the neoplastic population was positive for CD117 (with a membranous staining pattern), and the Ki67 index was 28. The patient did not show local recurrence and sign of distant metastases at the 10 months follow-up. Based on literature search no previous reports of mast cell tumour in meerkats were retrieved. Therefore, this case highlights a previously undocumented presentation of mast cell tumor in this PAGE \* Arabic \* MERGEFORMAT 4 This is a provisional file, not the final typeset article species, contributing to the expanding knowledge of neoplastic conditions in exotic companion animals.
Keywords: cytology, Exotic pet, Histochemical staining, Histology, Skin
Received: 16 Sep 2025; Accepted: 19 Nov 2025.
Copyright: © 2025 Castaman, Orlandi, Baldin, Massaro, Ridolfi and Zambelli. This is an open-access article distributed under the terms of the Creative Commons Attribution License (CC BY). The use, distribution or reproduction in other forums is permitted, provided the original author(s) or licensor are credited and that the original publication in this journal is cited, in accordance with accepted academic practice. No use, distribution or reproduction is permitted which does not comply with these terms.
* Correspondence: Martina Baldin, martina.baldin.2@phd.unipd.it
Disclaimer: All claims expressed in this article are solely those of the authors and do not necessarily represent those of their affiliated organizations, or those of the publisher, the editors and the reviewers. Any product that may be evaluated in this article or claim that may be made by its manufacturer is not guaranteed or endorsed by the publisher.
