ORIGINAL RESEARCH article
Front. Vet. Sci.
Sec. Parasitology
This article is part of the Research TopicPhylogenetic insights into apicomplexan parasites of veterinary and wild life importance: Advancing sustainable livestock managementView all 4 articles
Behavioral and pharmacological effects of phytochemicals in Cinnamomum verum bark extract for prevention of experimental murine coccidiosis
Provisionally accepted- 1College of Science, King Saud University, Riyadh, Saudi Arabia
 - 2King Saud University, Riyadh, Saudi Arabia
 - 3Princess Nourah bint Abdulrahman University, Riyadh, Saudi Arabia
 - 4Nanchang University Jiangxi Medical College, Nanchang, China
 
Select one of your emails
You have multiple emails registered with Frontiers:
Notify me on publication
Please enter your email address:
If you already have an account, please login
You don't have a Frontiers account ? You can register here
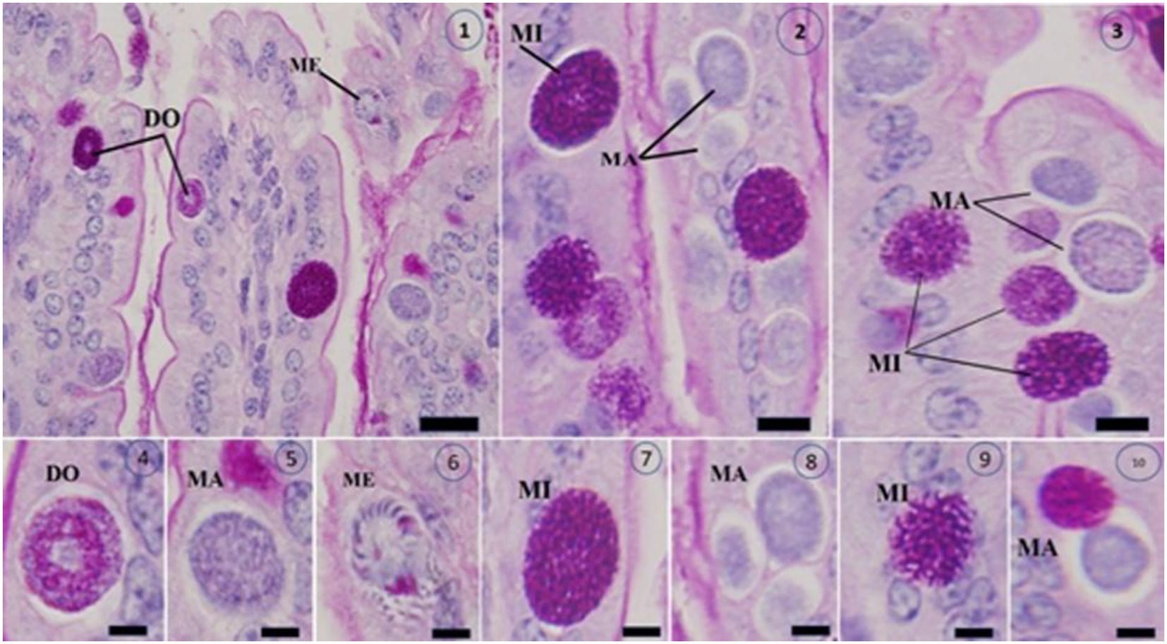
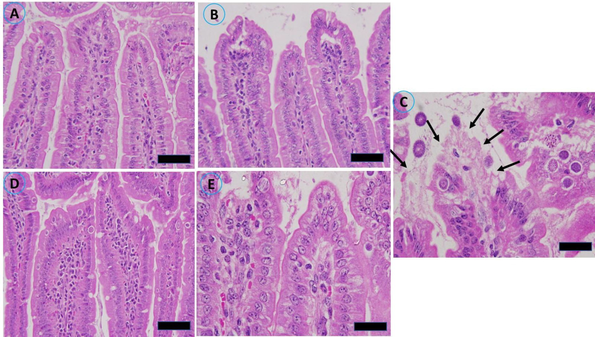
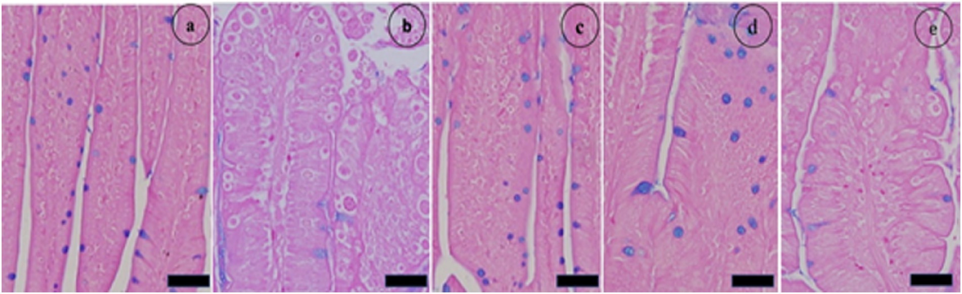
Objectives: Natural products hold significant potential in combating parasitic infections. Parasites belonging to the genus Eimeria are responsible for coccidiosis, which affects a wide variety of livestock worldwide. The emergence of drug resistance to coccidia has prompted renewed efforts to discover novel chemicals for alternative therapeutic techniques. This research was conducted to evaluate the effectiveness of Cinnamomum verum bark extract (CVBE) on behavior and the treatment of eimeriosis in mice. Methods: The study involved the examination of five groups of mice, with E. papillate sporulation oocysts (1×103) being utilized to infect three groups by experimental means. The first group was the control, the second group was administered at a dosage of 100 mg/kg of CVBE only to test toxicity, and the third was the infected positive control. The fourth group was treated daily with 100 mg/kg of CVBE, while the fifth group received 50 mg/kg of amprolium via gavage. All mice were sedated using CO₂ and subsequently dissected for sample taking. Results FT-IR analysis, conducted using a Thermo Scientific optical spectrometer, revealed that CVBE contains 18 different phytochemical components. The administration of CVBE led to a significant decrease in the number of oocysts produced in the feces. Additionally, the parasite stages exhibited morphometric changes, with decreases in the measures compared with those of the infected but not treated mice. This improvement was accompanied by large increases in the number of goblet cells, which provided additional support for the effectiveness of CVBE as anticoccidial agents. Conclusions: The findings indicate that Cinnamomum verum bark extract has effective effects in reducing the shedding of cysts, possesses anticoccidial, antioxidant, and anti-inflammatory activity against jejunum injury induced by the parasite E. papillata.
Keywords: extraction, pharmaceutical industry, antioxidant, Biological activity, Plants, Eimeriosis, Cinnamomum verum bark, FTIR
Received: 29 Sep 2025; Accepted: 03 Nov 2025.
Copyright: © 2025 Murshed, Alzaylaee, Ibrahim, Ammari, Ahmed and Al-Quraishy. This is an open-access article distributed under the terms of the Creative Commons Attribution License (CC BY). The use, distribution or reproduction in other forums is permitted, provided the original author(s) or licensor are credited and that the original publication in this journal is cited, in accordance with accepted academic practice. No use, distribution or reproduction is permitted which does not comply with these terms.
* Correspondence: Mutee  Murshed, mmurshed@ksu.edu.sa
Disclaimer: All claims expressed in this article are solely those of the authors and do not necessarily represent those of their affiliated organizations, or those of the publisher, the editors and the reviewers. Any product that may be evaluated in this article or claim that may be made by its manufacturer is not guaranteed or endorsed by the publisher.
