ORIGINAL RESEARCH article
Front. Vet. Sci.
Sec. Parasitology
This article is part of the Research TopicPhylogenetic insights into apicomplexan parasites of veterinary and wild life importance: Advancing sustainable livestock managementView all 6 articles
First-generation merozoites of caprine Eimeria christenseni are capable to invade and egress primary host endothelial cells in vitro
Provisionally accepted- 1Egas Moniz Center for Interdisciplinary Research (CiiEM); Egas Moniz School of Health & Science, Caparica, Almada, Portugal
- 2Institute of Parasitology, Faculty of Veterinary Medicine, Justus Liebig University Giessen, Giessen, Germany
- 3Universidad de Las Palmas de Gran Canaria Facultad de Veterinaria, Arucas, Las Palmas, Spain
- 4Department of Animal Pathology, Faculty of Veterinary Medicine, University of Las Palmas de Gran Canaria, Arucas, Spain
- 5CIBAV Research Group, Veterinary Medicine School, Faculty of Agrarian Sciences, University of Antioquia, Medellín, Colombia
- 6Justus-Liebig-Universitat Giesen Institut fur Parasitologie, Giessen, Germany
Select one of your emails
You have multiple emails registered with Frontiers:
Notify me on publication
Please enter your email address:
If you already have an account, please login
You don't have a Frontiers account ? You can register here
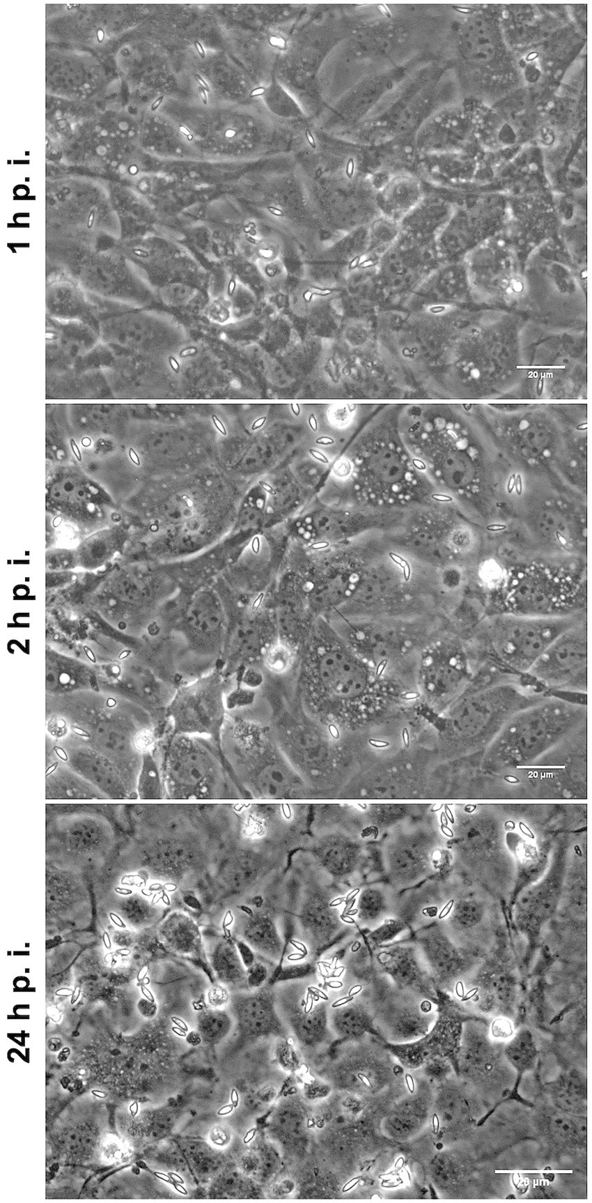
The caprine Eimeria christenseni species belongs to the phylogenetic clade of pathogenic ruminant Eimeria replicating within endothelial cells of central lymph capillaries of the ileum villi in vivo. Investigations on E. christenseni-host endothelial cell interactions, including cell invasion, egress, apoptosis, senescence, cell cycle, cytoskeleton, cell metabolism and endothelium-derived innate immune reactions are possible to achieve through permissive in vitro culture systems. Therefore, we here established a suitable in vitro E. christenseni (strain GC) culture system by using primary bovine umbilical vein endothelial cells (BUVEC) for development of first generation macromeronts. After 18-22 days post infection (p. i.), intracellular sporozoites developed into fully mature E. christenseni-macromeronts releasing viable merozoites I. Interestingly, two different types of E. christenseni-merozoites I were observed, i. e. thinner-and thicker merozoites I. The thinner ones were more active, presented typical gliding motility and were found intracellularly shortly after their release, while the thicker ones were less active and invasive to BUVEC. Thinner E. christenseni merozoites I actively invaded and egressed host cells by breaching the plasma membrane without host cell lysis, a phenomenon exclusively reported so far for apicomplexan sporozoites of Plasmodium yoelii and Eimeria bovis. Additionally, intracellular E. christenseni merozoites I were monitored over time (up to 30 days) thereby revealing no further development into meront II stages. Further research are needed to assess whether primary endothelial cells of caprine origin might be suitable for completion of entire E. christenseni life cycle in vitro. This novel in vitro system will contribute not only for further studies on Eimeria-derived invasion-and egress strategies, endothelial cell-derived innate immune reactions, but also for merozoites I-and antigen production requested for vaccination strategies as already reported for other ruminant Eimeria species.
Keywords: Eimeria christenseni, merozoite I, primary endothelial cells, host cell active invasion andhost cell egress, active invasion
Received: 02 Oct 2025; Accepted: 14 Nov 2025.
Copyright: © 2025 Silva, Ruiz, Barba, López-Osorio, Molina, Molina, Taubert and Hermosilla. This is an open-access article distributed under the terms of the Creative Commons Attribution License (CC BY). The use, distribution or reproduction in other forums is permitted, provided the original author(s) or licensor are credited and that the original publication in this journal is cited, in accordance with accepted academic practice. No use, distribution or reproduction is permitted which does not comply with these terms.
* Correspondence:
Liliana M. R. Silva, liliana.silva@vetmed.uni-giessen.de
Emilio Barba, emiliobarbasan93@gmail.com
Carlos Hermosilla, carlos.r.hermosilla@vetmed.uni-giessen.de
Disclaimer: All claims expressed in this article are solely those of the authors and do not necessarily represent those of their affiliated organizations, or those of the publisher, the editors and the reviewers. Any product that may be evaluated in this article or claim that may be made by its manufacturer is not guaranteed or endorsed by the publisher.
