ORIGINAL RESEARCH article
Front. Vet. Sci.
Sec. Veterinary Pharmacology and Toxicology
Aloe Vera Alleviates Glyphosate-Based Herbicide Hepatotoxicity in Rats via Anti-inflammatory and Antioxidant Actions
Provisionally accepted- 1Department of Pathology, Faculty of Veterinary Medicine, Assiut University, Assiut University, Asyut, Egypt
- 2Forensic Medicine and Toxicology, Faculty of Veterinary Medicine, Assiut University, Assiut University, Asyut, Egypt
- 3Department of Anatomy and Embryology, Faculty of Veterinary Medicine, Assiut University, Assiut University, Asyut, Egypt
- 4Chemistry Department, Faculty of Science, Assiut University, Assiut University, Asyut, Egypt
- 5Department of Medical Biosciences, College of Veterinary Medicine, Qassim University, Buraydah, Saudi Arabia
- 6Department of Forensic Medicine and Toxicology, Faculty of Veterinary Medicine, Assiut University, Asyut, Egypt
Select one of your emails
You have multiple emails registered with Frontiers:
Notify me on publication
Please enter your email address:
If you already have an account, please login
You don't have a Frontiers account ? You can register here
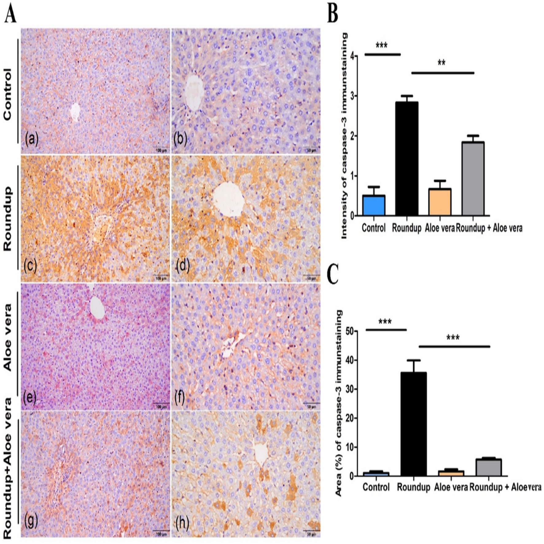
Glyphosate-Based Herbicide (GBHs) are widely used worldwide, this study investigated the ameliorative effect of Aloe Vera against GBHs hepatic toxicity in rats via anti-inflammatory and antioxidant Actions, with a focus on DNA damage and apoptosis. Twenty-four Sprague-Dawley rats were randomly classified into four groups: Group I, represented as a control. In group II, rats were administered 500 mg/kg of Roundup herbicide as one of GBHs. In Group III, rats were administered 200 mg/kg of Aloe Vera, and finally, in Group IV, rats were co-administered with 500 mg/kg of Roundup and 200 mg/kg of Aloe Vera, orally, three times a week for six weeks. Rats exposed to GBH showed significant oxidative stress, evidenced by elevated malondialdehyde (MDA) and decrease the reduced glutathione (GSH) levels, alongside increased the inflammatory markers (TNF-α and IL-1β). Liver function enzymes (ALT, AST, LDH) were markedly elevated, and comet assay results revealed substantial DNA fragmentation in hepatocytes. Histopathological findings and immunohistochemical overexpression of caspase-3 confirmed the liver pathological lesions and apoptosis, respectively. Co-administration of Aloe Vera with GBH significantly alleviated the biochemical, histopathological, and apoptotic alterations, but it did not fully reverse the DNA damage. These findings suggest that Aloe Vera may offer partial hepatoprotection against GBH toxicity through its antioxidant and anti-inflammatory properties.
Keywords: aloe vera, glyphosate-based herbicide, Hepatotoxicity, DNA Damage, Apoptosis
Received: 08 Oct 2025; Accepted: 13 Nov 2025.
Copyright: © 2025 Hamad, Sharkawy, Ibrahim, Osman, Aljohani and Kamaly. This is an open-access article distributed under the terms of the Creative Commons Attribution License (CC BY). The use, distribution or reproduction in other forums is permitted, provided the original author(s) or licensor are credited and that the original publication in this journal is cited, in accordance with accepted academic practice. No use, distribution or reproduction is permitted which does not comply with these terms.
* Correspondence:
Abdullah Aljohani, jhny@qu.edu.sa
Heba F. Kamaly, hebafawzy907@aun.edu.eg
Disclaimer: All claims expressed in this article are solely those of the authors and do not necessarily represent those of their affiliated organizations, or those of the publisher, the editors and the reviewers. Any product that may be evaluated in this article or claim that may be made by its manufacturer is not guaranteed or endorsed by the publisher.
