ORIGINAL RESEARCH article
Front. Cell. Infect. Microbiol.
Sec. Bacteria and Host
The Emergence and Spread of blaNDM-1, blaKPC-2, mcr-10 Genes, and the tmexCD2-toprJ2 Gene Cluster in Extensively Drug-Resistant Clinical Raoultella ornithinolytica
Provisionally accepted- 1The First Affiliated Hospital of Zhengzhou University, Zhengzhou, China
- 2Puyang Oilfield General Hospital, Puyang, China
- 3The First Affiliated Hospital of Zhejiang University School of Medicine, Hangzhou, China
Select one of your emails
You have multiple emails registered with Frontiers:
Notify me on publication
Please enter your email address:
If you already have an account, please login
You don't have a Frontiers account ? You can register here
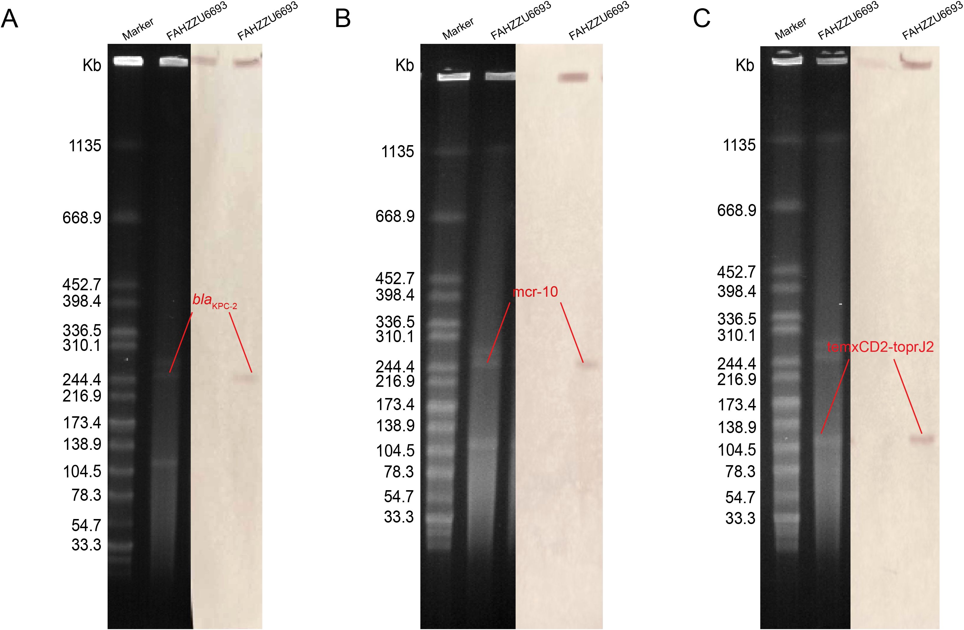
Background Raoultella ornithinolytica is an infrequent opportunistic pathogen capable of causing multi-site infections and frequently harboring a broad array of resistance determinants, thereby complicating antimicrobial therapy. Here we report the genomic characterization of the extensively drug-resistant strain FAHZZU6693, which concurrently harbours blaNDM-1, blaKPC-2, mcr-10 genes and tmexCD2-toprJ2 resistance cluster. Methods Matrix-assisted laser desorption/ionisation time-of-flight mass spectrometry (MALDI-TOF MS) and average nucleotide identity (ANI) were employed to confirm the species identity as R. ornithinolytica. Antimicrobial susceptibility testing (AST) delineated the corresponding antimicrobial phenotypes. S1 nuclease pulsed-field gel electrophoresis (S1-PFGE), Southern blotting and whole-genome sequencing (WGS) elucidated the isolate's complete molecular architecture. Results Globally, R. ornithinolytica strains harboring related resistance genes exhibit diverse geographical distribution. Strain FAHZZU6693 is resistant to most antibiotics, except amikacin and chloramphenicol. The blaNDM-1, blaKPC-2, mcr-10 genes and the tmexCD2-toprJ2 cluster in this strain are plasmid-borne. These occur in conserved genetic contexts: xerC-mcr-10-ISEc36-ISEc27-ISEcl1 and umuC-IS881-tmexC2-tmexD2-toprJ2-umuC. Further analysis indicates that the insertion sequence ISEc27 and the gene element umuC play a crucial role in the dissemination of the mcr-10 gene and the tmexCD2-toprJ2 gene cluster. Conclusions This study combines database analysis to comprehensively describe the distribution of R. ornithinolytica strains carrying the target genes and characterizes the genomic features of a clinically Multi-drug resistant strain, providing a theoretical foundation for preventing the spread of such bacteria.
Keywords: Raoultella ornithinolytica, BlaNDM-1, blaKPC-2, mcr-10, TMexCD2-TOprJ2
Received: 29 Jul 2025; Accepted: 24 Oct 2025.
Copyright: © 2025 Ye, Rao, Fang, Ye, Chen, Li, Shen, Jia and Guo. This is an open-access article distributed under the terms of the Creative Commons Attribution License (CC BY). The use, distribution or reproduction in other forums is permitted, provided the original author(s) or licensor are credited and that the original publication in this journal is cited, in accordance with accepted academic practice. No use, distribution or reproduction is permitted which does not comply with these terms.
* Correspondence: Xiaobing Guo, gxbing928@zzu.edu.cn
Disclaimer: All claims expressed in this article are solely those of the authors and do not necessarily represent those of their affiliated organizations, or those of the publisher, the editors and the reviewers. Any product that may be evaluated in this article or claim that may be made by its manufacturer is not guaranteed or endorsed by the publisher.
