ORIGINAL RESEARCH article
Front. Cell. Infect. Microbiol.
Sec. Clinical and Diagnostic Microbiology and Immunology
This article is part of the Research TopicMicrobiota, Antibiotic Resistance, and Host-Microbe Interactions: A Comprehensive Exploration of Infectious Disease DynamicsView all 6 articles
Clinical Characteristics of Treponema denticola-Associated Lung Abscess Diagnosed by Metagenomic Next-Generation Sequencing: a case series analysis
Provisionally accepted- 1Department of Pulmonary and Critical Care Medicine, Regional Medical Center for National Institute of Respiratory Disease, Sir Run Run Shaw Hospital, School of Medicine, Zhejiang University, Hangzhou, China
- 2Department of Pulmonary and Critical Care Medicine, the First Division Hospital of Xinjiang Production and Construction Corps, Akesu, China
- 3Guangzhou University of Chinese Medicine, Guangzhou, China
- 4Department of Hyperbaric Oxygen Medicine and Rehabilitation , General Hospital of Southern Theater Command of PLA., Guangzhou, China
- 5Clinical Laboratory, Sir Run Run Shaw Hospital, Hangzhou, China
- 6Zhejiang Provincial Engineering Research Center of Innovative Instruments for Precise Pathogen Detection, Hangzhou, China
- 7Department of Pathology, Sir Run Run Shaw Hospital, Zhejiang University School of Medicine, Hangzhou, China
Select one of your emails
You have multiple emails registered with Frontiers:
Notify me on publication
Please enter your email address:
If you already have an account, please login
You don't have a Frontiers account ? You can register here
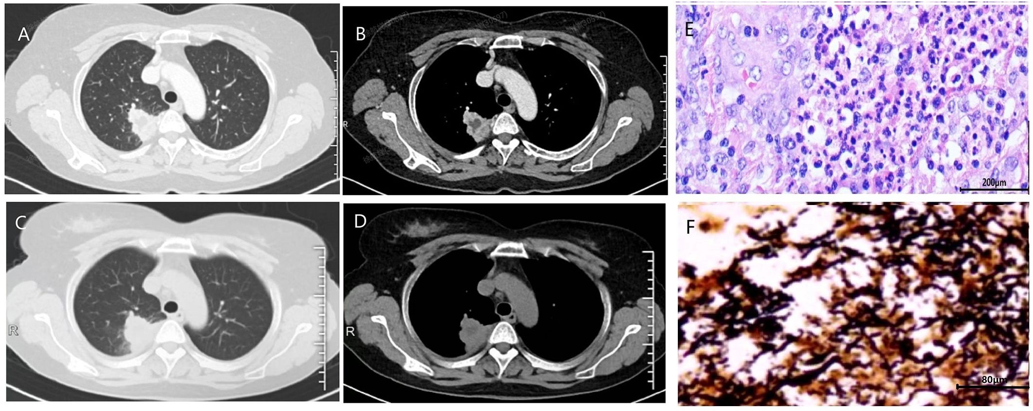
Introduction: Treponema denticola is an oral anaerobic bacterium commonly associated with periodontitis, but its role in lower respiratory tract infections (e.g., lung abscess) has long been overlooked. For bacteria that grow anaerobically, traditional culture methods exhibit low detection rates, which directly lead to the mis-diagnosis of anaerobic infection. With the ultilization of metagenomic next-generation sequencing (mNGS) in clinical practice, we studied the clinical features and treatment strategies of T. denticola-associated lung abscess. Methods: A retrospective analysis was conducted on patients confirmed with T. denticola lung abscess by mNGS from October 2023 to October 2024. Routine aerobic bacterial culture and stains were used. Histopathological analysis and Warthin-Starry silver staining was completed on samples from lung tissue. A literature review was performed using PubMed and CNKI (up to June 2025). Results: Seven patients were diagnosed with T. denticola lung abscess under mNGS. The cohort predominantly comprised elderly males (mean age 62.3 years), all of whom had underlying oral diseases. Clinical manifestations featured chronic cough (mean symptom duration 3.6 months) and frequent hemoptysis (85.7%), with notably mild systemic inflammation (only one febrile case). Characteristic CT findings included mass-like lesions with necrosis (100%) and cavitation (71.4%), without air-fluid levels. Conventional cultures were overwhelmingly negative, whereas mNGS detected T. denticola in all seven cases. Among the seven patients, one showed clinical improvement after two months of amoxicillin-clavulanate therapy, and another responded well to seven months of doxycycline treatment. The remaining five patients initially treated with levofloxacin or moxifloxacin demonstrated poor responses, with three cases ultimately requiring surgical resection of the lesions. Discussion: T. denticola lung abscess is most commonly seen in individuals with poor oral hygiene. It presents as an indolent, chronic course and a high incidence of hemoptysis. Typical CT findings include a mass-like lesion with cavitation but no air–fluid level. Traditional microbiological detection often yield false negative results, making mNGS a critical diagnostic tool. First-line therapy should include β-lactams or tetracyclines, and surgery is warranted for refractory cases or massive hemoptysis.
Keywords: Treponema denticola, Lung Abscess, Clinical Characteristics, metagenomic next-generation sequencing, case series
Received: 19 Aug 2025; Accepted: 27 Oct 2025.
Copyright: © 2025 Xu, Xu, Gu, Wang, Liao, Zhou, Wu, Tao and Fu. This is an open-access article distributed under the terms of the Creative Commons Attribution License (CC BY). The use, distribution or reproduction in other forums is permitted, provided the original author(s) or licensor are credited and that the original publication in this journal is cited, in accordance with accepted academic practice. No use, distribution or reproduction is permitted which does not comply with these terms.
* Correspondence:
Ran Tao, 406007335@qq.com
Ying Fu, 3314029@zju.edu.cn
Disclaimer: All claims expressed in this article are solely those of the authors and do not necessarily represent those of their affiliated organizations, or those of the publisher, the editors and the reviewers. Any product that may be evaluated in this article or claim that may be made by its manufacturer is not guaranteed or endorsed by the publisher.
