ORIGINAL RESEARCH article
Front. Cell. Infect. Microbiol.
Sec. Parasite and Host
Potential effect of Commiphora myrrha resin on Eimeria labbeana-like-induced oxidative stress in Columba livia domestica
Provisionally accepted- 1King Saud University, Riyadh, Saudi Arabia
- 2Heinrich-Heine-Universitat Dusseldorf, Düsseldorf, Germany
Select one of your emails
You have multiple emails registered with Frontiers:
Notify me on publication
Please enter your email address:
If you already have an account, please login
You don't have a Frontiers account ? You can register here
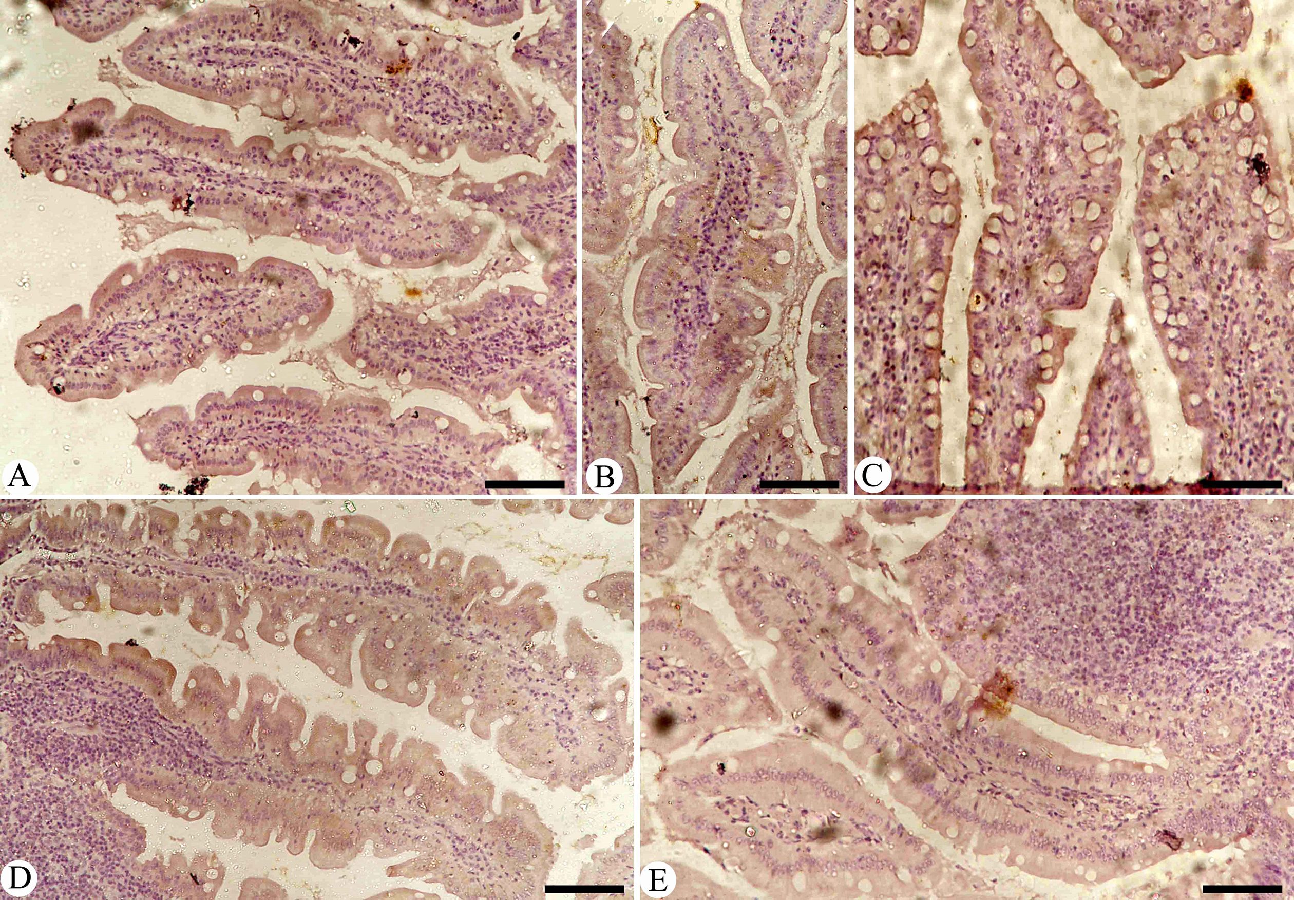
Background: Eimeria infection in pigeons induces severe oxidative stress in intestinal tissues, disrupting the balance between oxidant and antioxidant systems and leading to cellular and physiological damage. The resin of Commiphora myrrha has long been recognized in traditional medicine for its therapeutic potential. Purpose: This study evaluated the protective effect of methanolic C. myrrha resin extract (MYE) against oxidative stress and cellular injury induced by Eimeria labbeana-like infection in pigeons. Methods: Twenty-five pigeons (300–380 g) were divided into five groups (G1–G5). Following infection, birds were treated daily with MYE. On day 8 post-infection, intestinal tissues were collected to assess oxidative stress markers, antioxidant enzyme activities, and inducible nitric oxide synthase (iNOS) expression via immunohistochemistry. Results: Infection with E. labbeana-like markedly elevated intestinal levels of nitric oxide (NO), malondialdehyde (MDA), and hydrogen peroxide (H₂O₂), indicating enhanced oxidative stress. MYE administration significantly reduced these markers compared to infected controls. Concurrently, MYE enhanced antioxidant defense by increasing catalase (CAT), superoxide dismutase (SOD), and reduced glutathione (GSH) activities. Moreover, MYE modulated iNOS expression, suggesting regulation of inflammation-associated oxidative pathways. Conclusion: Methanolic extract of C. myrrha resin effectively mitigated oxidative and related intestinal issues induced by E. labbeana-like infection in pigeon intestines. These findings highlight its potential as a natural source of antioxidant and anticoccidial agents for managing avian coccidiosis.
Keywords: Coccidiosis, pigeons, Natural treatment, Myrrh resin, Oxidative Stress, IHC study
Received: 13 Oct 2025; Accepted: 24 Oct 2025.
Copyright: © 2025 Abdel-Gaber, Albasyouni, Santourlidis, Al Quraishy and Al-shaebi. This is an open-access article distributed under the terms of the Creative Commons Attribution License (CC BY). The use, distribution or reproduction in other forums is permitted, provided the original author(s) or licensor are credited and that the original publication in this journal is cited, in accordance with accepted academic practice. No use, distribution or reproduction is permitted which does not comply with these terms.
* Correspondence: Rewaida Abdel-Gaber, rabdelgaber.c@ksu.edu.sa
Disclaimer: All claims expressed in this article are solely those of the authors and do not necessarily represent those of their affiliated organizations, or those of the publisher, the editors and the reviewers. Any product that may be evaluated in this article or claim that may be made by its manufacturer is not guaranteed or endorsed by the publisher.
