CASE REPORT article
Front. Immunol.
Sec. Cancer Immunity and Immunotherapy
Case Report: Secondary Myelodysplastic Syndrome Following Autologous Stem Cell Transplantation in a Patient with POEMS Syndrome
Provisionally accepted- 1Zhejiang Chinese Medical University, Hangzhou, China
- 2Zhejiang Provincial Hospital of Chinese Medicine, Hangzhou, China
Select one of your emails
You have multiple emails registered with Frontiers:
Notify me on publication
Please enter your email address:
If you already have an account, please login
You don't have a Frontiers account ? You can register here
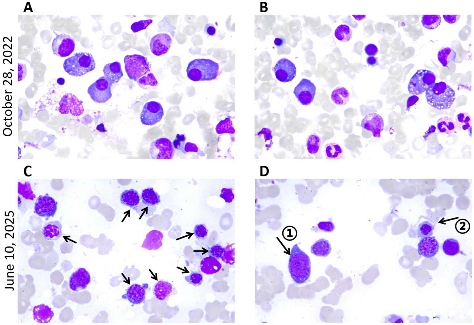
Abstract. This article reports a rare case of a patient with POEMS syndrome who developed secondary myelodysplastic syndrome (MDS) two years after undergoing autologous stem cell transplantation (ASCT). The patient was initially misdiagnosed with chronic inflammatory demyelinating polyneuropathy (CIDP) due to symptoms of limb numbness and weakness. Two years later, the diagnosis was corrected to POEMS syndrome. After induction therapy with the lenalidomide-dexamethasone (RD) regimen, ASCT is performed and partial remission is achieved. And lenalidomide was used for maintenance therapy. Over a year later, he was infected with SARS-CoV-2 and subsequently developed pancytopenia. Bone marrow routine revealed increased myeloblasts with multilineage dysplasia, and next-generation sequencing (NGS) found a TP53 mutation, leading to the diagnosis of secondary MDS. The pathogenesis of secondary MDS in POEMS syndrome is discussed from three aspects: cytotoxic therapy, genetic predisposition, and SARS-CoV-2 infection. This case underscores the importance of prolonged surveillance for secondary myeloid neoplasms (sMN) in POEMS patients and suggests that early genomic profiling and individualized treatment may improve outcomes.
Keywords: POEMS Syndrome, myelodysplastic syndrome, autologous stem celltransplantation, secondary myeloid neoplasms, TP53 mutation, SARS-CoV-2, Casereport
Received: 23 Sep 2025; Accepted: 31 Oct 2025.
Copyright: © 2025 Le, Dong, Tan, Ye, Chen and Liu. This is an open-access article distributed under the terms of the Creative Commons Attribution License (CC BY). The use, distribution or reproduction in other forums is permitted, provided the original author(s) or licensor are credited and that the original publication in this journal is cited, in accordance with accepted academic practice. No use, distribution or reproduction is permitted which does not comply with these terms.
* Correspondence: Shuyan Liu, catmi7903@163.com
Disclaimer: All claims expressed in this article are solely those of the authors and do not necessarily represent those of their affiliated organizations, or those of the publisher, the editors and the reviewers. Any product that may be evaluated in this article or claim that may be made by its manufacturer is not guaranteed or endorsed by the publisher.
