MINI REVIEW article
Front. Immunol.
Sec. Viral Immunology
This article is part of the Research TopicTreatment of Viral Infections Following Hematopoietic Stem Cell TransplantationView all 3 articles
Intrathecal rituximab for the treatment of Epstein-Barr virus associated encephalitis
Provisionally accepted- Fred Hutchinson Cancer Center, Seattle, United States
Select one of your emails
You have multiple emails registered with Frontiers:
Notify me on publication
Please enter your email address:
If you already have an account, please login
You don't have a Frontiers account ? You can register here
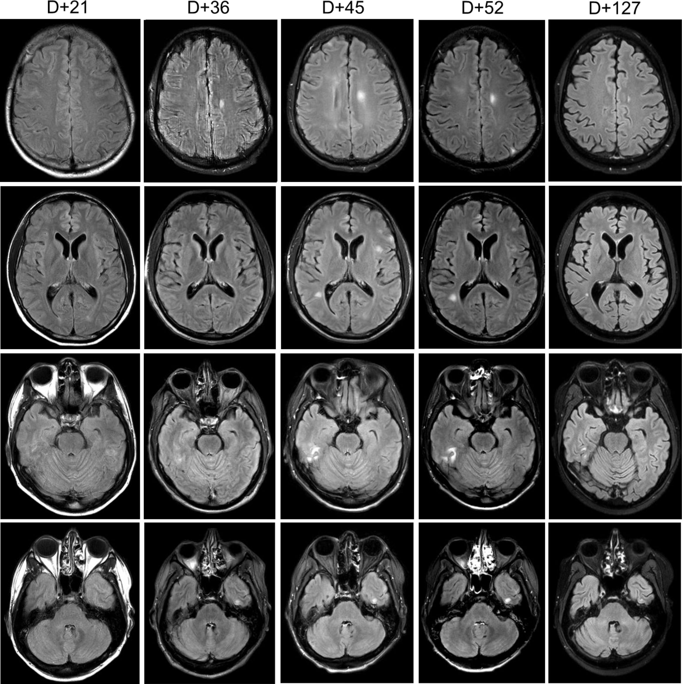
Epstein-Barr virus (EBV) associated encephalitis is seen in patients who have undergone allogeneic hematopoietic stem cell transplant and can be associated with significant morbidity and mortality. The mainstay of treatment has been antiviral therapy with nucleoside analogues and reduction of immunosuppression. Here we describe an adult patient diagnosed with refractory EBV-associated encephalitis within 30 days post-allogeneic transplant successfully treated with intrathecal rituximab, which to our knowledge is the first case treated in this manner.
Keywords: EBV encephalitis, Allogeneic transplant, Rituxan, Immunosupperssion, Intratecal
Received: 04 Nov 2025; Accepted: 24 Nov 2025.
Copyright: © 2025 Chapuis, Orozco and Milano. This is an open-access article distributed under the terms of the Creative Commons Attribution License (CC BY). The use, distribution or reproduction in other forums is permitted, provided the original author(s) or licensor are credited and that the original publication in this journal is cited, in accordance with accepted academic practice. No use, distribution or reproduction is permitted which does not comply with these terms.
* Correspondence: Filippo Milano
Disclaimer: All claims expressed in this article are solely those of the authors and do not necessarily represent those of their affiliated organizations, or those of the publisher, the editors and the reviewers. Any product that may be evaluated in this article or claim that may be made by its manufacturer is not guaranteed or endorsed by the publisher.
