CASE REPORT article
Front. Immunol.
Sec. Cancer Immunity and Immunotherapy
This article is part of the Research TopicBlending Pathology and Immunology - New FrontiersView all 8 articles
A Case of Superficial Spreading Malignant Melanoma with Sentinel Lymph Node Metastasis Misdiagnosed as "Pigmented Nevus"
Provisionally accepted- 1Shanghai Pudong New Area Gongli Hospital, Shanghai, China
- 2Ningxia Medical University, Yinchuan, China
- 3University of Shanghai for Science and Technology, Shanghai, China
- 4Shanghai Dermatology Hospital, Shanghai, China
Select one of your emails
You have multiple emails registered with Frontiers:
Notify me on publication
Please enter your email address:
If you already have an account, please login
You don't have a Frontiers account ? You can register here
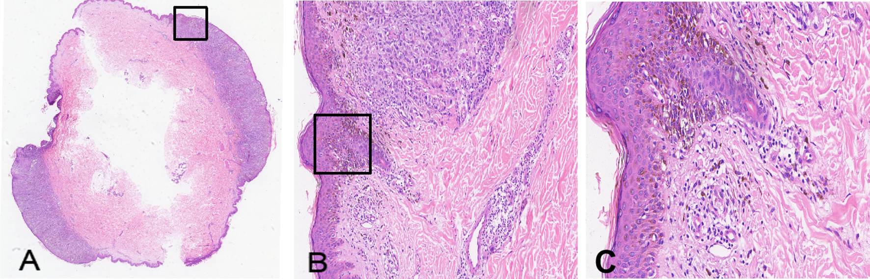
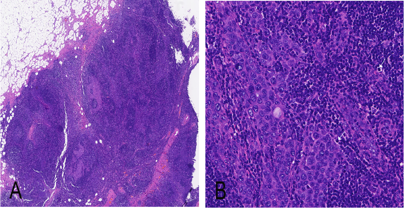
A 45-year-old woman presented with a black hemispherical plaque on her right lower leg that had developed three years ago without an obvious cause. The lesion gradually enlarged without pain or pruritus. After excision, histopathological examination revealed atypical Spitz nevus. At a dermatology specialty hospital, pathological review suggested superficial spreading melanoma. Immunohistochemistry revealed diffusely positivity for S100, Melan-A, Ki-67, P16, Sox-10 and HMB45. Molecular pathological testing revealed mutations in the TERT promoter and BRAF and CDKN2A/B genes. Extended tumor resection with an intraoperative sentinel lymph node biopsy identified SN2/2. Dissection of the right inguinal lymph nodes revealed melanoma metastasis in 10 of 14 lymph nodes, with Immunolohistochemistry showing diffusely positivity for Sox-10 and Melan-A. The final diagnosis was superficially spreading malignant melanoma with regional lymph node metastasis. Postoperative adjuvant therapy included systemic chemotherapy and targeted therapy. No recurrence was observed during the 2-year follow-up period.
Keywords: Atypical Spitz nevus, Cutaneous malignant melanoma, Immunohistochemistry, Misdiagnosed, Molecular genetic analysis
Received: 20 Sep 2025; Accepted: 02 Feb 2026.
Copyright: © 2026 Bu, Guo, Feng and Liu. This is an open-access article distributed under the terms of the Creative Commons Attribution License (CC BY). The use, distribution or reproduction in other forums is permitted, provided the original author(s) or licensor are credited and that the original publication in this journal is cited, in accordance with accepted academic practice. No use, distribution or reproduction is permitted which does not comply with these terms.
* Correspondence: Yeqiang Liu
Disclaimer: All claims expressed in this article are solely those of the authors and do not necessarily represent those of their affiliated organizations, or those of the publisher, the editors and the reviewers. Any product that may be evaluated in this article or claim that may be made by its manufacturer is not guaranteed or endorsed by the publisher.
