ORIGINAL RESEARCH article
Front. Immunol.
Sec. Inflammation
This article is part of the Research TopicUnderstanding Chronic Inflammation: Mechanisms Behind its PersistenceView all 17 articles
miRNA expression profile as a potential tool for discrimination between bacterial and interstitial cystitis
Provisionally accepted- 1Institute of Cell Biology, Faculty of Medicine, University of Ljubljana, Ljubljana, Slovenia
- 2Institute of Pathology, Faculty of Medicine, University of Ljubljana, Ljubljana, Slovenia
Select one of your emails
You have multiple emails registered with Frontiers:
Notify me on publication
Please enter your email address:
If you already have an account, please login
You don't have a Frontiers account ? You can register here
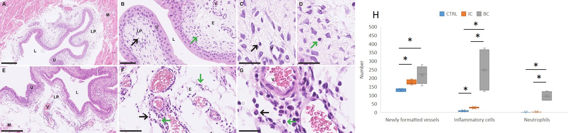
Introduction: Interstitial cystitis (IC) is an aseptic chronic bladder inflammation of unknown aetiology and poorly understood pathophysiology with symptoms resembling bacterial cystitis (BC). There is limited data about the contribution of regulatory microRNAs (miRNAs) in IC. The study aimed to identify differences in miRNA expression between mouse models of IC and BC to find potential miRNAs that would distinguish between the two types of cystitis and to evaluate the use of the mouse model of IC as a tool to study the pathogenic mechanisms of IC in humans. Methods: Two mouse models were utilized: cyclophosphamide was used for induction of chronic aseptic cystitis, and uropathogenic E.coli for induction of acute bacterial cystitis. Potential regulatory miRNAs were selected based on publicly available human IC datasets and validated in mice. Quantitative PCR and RNA isolated from formalin-fixed, paraffin-embedded mouse bladder tissue were used. An enrichment analysis of the target mRNAs of the validated miRNAs was performed to suggest the differences in the possible mechanisms of inflammation between the IC and BC. Results: We observed differential expression of 20 of the 33 selected miRNAs in IC and BC compared to the control group, with 11 miRNAs showing the same trend of expression between mouse and human IC. There are 8 common reporter-assay (RA) validated targets (performed by others) of these miRNAs in mouse and human. Histopathological analysis of mouse IC and BC urinary bladders, miRNA expression analysis, and expression of their validated targets revealed significant differences between the urinary bladders of BC and IC mouse models. We identified miR-301a-3p as a possible marker of discrimination between two types of cystitis and its target gene, nuclear factor-κB (NF-κB) suppressing factor (NKRF). Conclusion: Our results show that miRNA expression and its RA-validated targets, and enriched signalling pathways, differ between the two types of cystitis and might depend on the type of bladder inflammation. The mouse model of IC has some similarities with human IC, confirming that it is a useful tool to identify novel potentially discriminatory biomarkers between BC and IC, such as miR-301a-3p, and also potential therapeutic targets for IC (e.g., NKRF and NF-κB).
Keywords: Bacterial cystitis, Expression, Inflammation, interstitial cystitis, microRNA, pathway analysis, reporter assay-validated targets, Urinary Bladder
Received: 03 Nov 2025; Accepted: 14 Jan 2026.
Copyright: © 2026 Peskar, Nika, Erman and Bostjancic. This is an open-access article distributed under the terms of the Creative Commons Attribution License (CC BY). The use, distribution or reproduction in other forums is permitted, provided the original author(s) or licensor are credited and that the original publication in this journal is cited, in accordance with accepted academic practice. No use, distribution or reproduction is permitted which does not comply with these terms.
* Correspondence:
Andreja Erman
Emanuela Bostjancic
Disclaimer: All claims expressed in this article are solely those of the authors and do not necessarily represent those of their affiliated organizations, or those of the publisher, the editors and the reviewers. Any product that may be evaluated in this article or claim that may be made by its manufacturer is not guaranteed or endorsed by the publisher.