CASE REPORT article
Front. Immunol.
Sec. Autoimmune and Autoinflammatory Disorders : Autoimmune Disorders
Pulmonary Light Chain Deposition Disease Secondary to Sjögren disease: A Case Report
Provisionally accepted- 1Department of Respiratory and Critical Care Medicine, Peking Union Medical College Hospital, Chinese Academy of Medical Sciences & Peking Union Medical College, Beijing, China
- 2Chinese Academy of Medical Sciences & Peking Union Medical College, Beijing, China
- 3Department of Hematology, Peking Union Medical College Hospital, Chinese Academy of Medical Sciences & Peking Union Medical College, Beijng, China
- 4Department of Pathology, Peking Union Medical College Hospital, Chinese Academy of Medical Sciences & Peking Union Medical College, Beijing, China
Select one of your emails
You have multiple emails registered with Frontiers:
Notify me on publication
Please enter your email address:
If you already have an account, please login
You don't have a Frontiers account ? You can register here
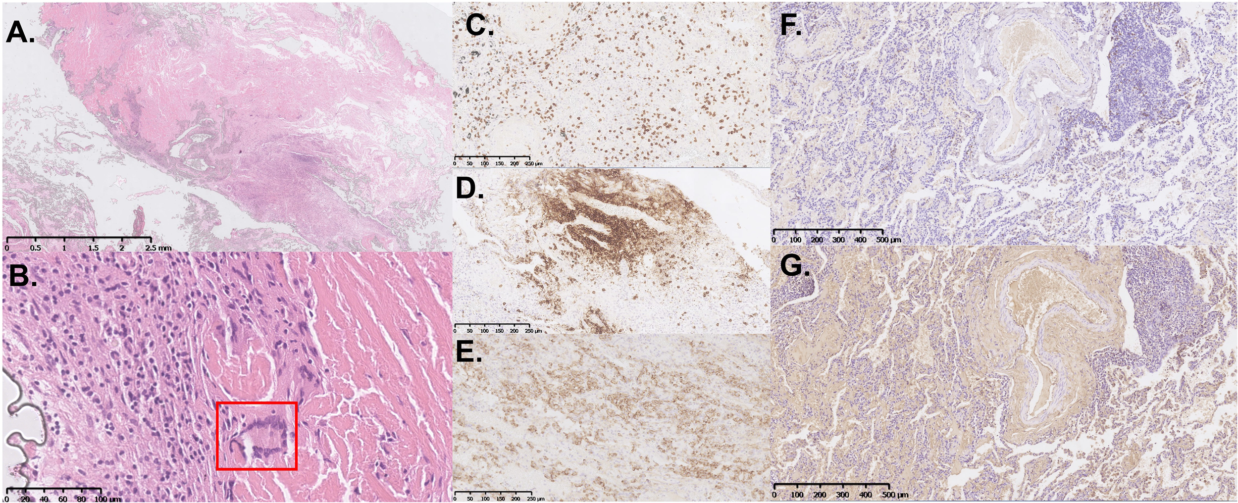
Pulmonary light chain deposition disease (PLCDD) is a rare disorder characterized by the deposition of immunoglobulin light chains in the lungs, often associated with lymphoplasmacytic proliferative and autoimmune disease such as primary Sjögren disease (pSjD). Due to its rarity, there is currently no established definitive management of PLCDD. In this case report, we present the clinical presentation of a 42-year-old female with a history of pSjD who experienced recurrent hemoptysis over a period of 3 years. Radiological and pathological assessments confirmed pulmonary involvement of light chain deposition disease. Despite initial failure of glucocorticoids and immunosuppressive agents in targeting pSjD, subsequent combination therapy with bortezomib and dexamethasone (BD) resulting in significant clinical and radiological improvement. The successful use of this combination treatment in PLCDD represents a significant breakthrough, highlighting the potential effectiveness of targeted therapies for PLCDD secondary to autoimmune disease.
Keywords: bortezomib3, case report7, hemoptysis4, light chain deposition disease2, pulmonary cysts5, pulmonary nodules6, Sjögren disease 1
Received: 16 Nov 2025; Accepted: 30 Jan 2026.
Copyright: © 2026 Xu, Wang, Zhou, Zhang, Zhang, Peng, Feng and Shi. This is an open-access article distributed under the terms of the Creative Commons Attribution License (CC BY). The use, distribution or reproduction in other forums is permitted, provided the original author(s) or licensor are credited and that the original publication in this journal is cited, in accordance with accepted academic practice. No use, distribution or reproduction is permitted which does not comply with these terms.
* Correspondence: Juhong Shi
Disclaimer: All claims expressed in this article are solely those of the authors and do not necessarily represent those of their affiliated organizations, or those of the publisher, the editors and the reviewers. Any product that may be evaluated in this article or claim that may be made by its manufacturer is not guaranteed or endorsed by the publisher.
