ORIGINAL RESEARCH article
Front. Immunol.
Sec. Inflammation
This article is part of the Research Topicm6A modification in immune cell-regulated inflammatory diseasesView all 7 articles
Identification of FTO as a key m6A demethylase linking immune dysregulation to sepsis pathogenesis
Provisionally accepted- 1Department of Emergency, China-Japan Friendship Hospital, Beijing, China
- 2Institute of Clinical Medical Sciences, China-Japan Friendship Hospital, Beijing, China
- 3China-Japan Friendship Hospital, Chinese Academy of Medical Sciences & Peking Union Medical College, Beijing, China
- 4Department of Pharmacy, The First Affiliated Hospital of Zhengzhou University, Zhengzhou Henan, China
- 5Beijing University of Chinese Medicine, School of Clinical Medicine, China-Japan Friendship Hospital, Beijing, China
Select one of your emails
You have multiple emails registered with Frontiers:
Notify me on publication
Please enter your email address:
If you already have an account, please login
You don't have a Frontiers account ? You can register here
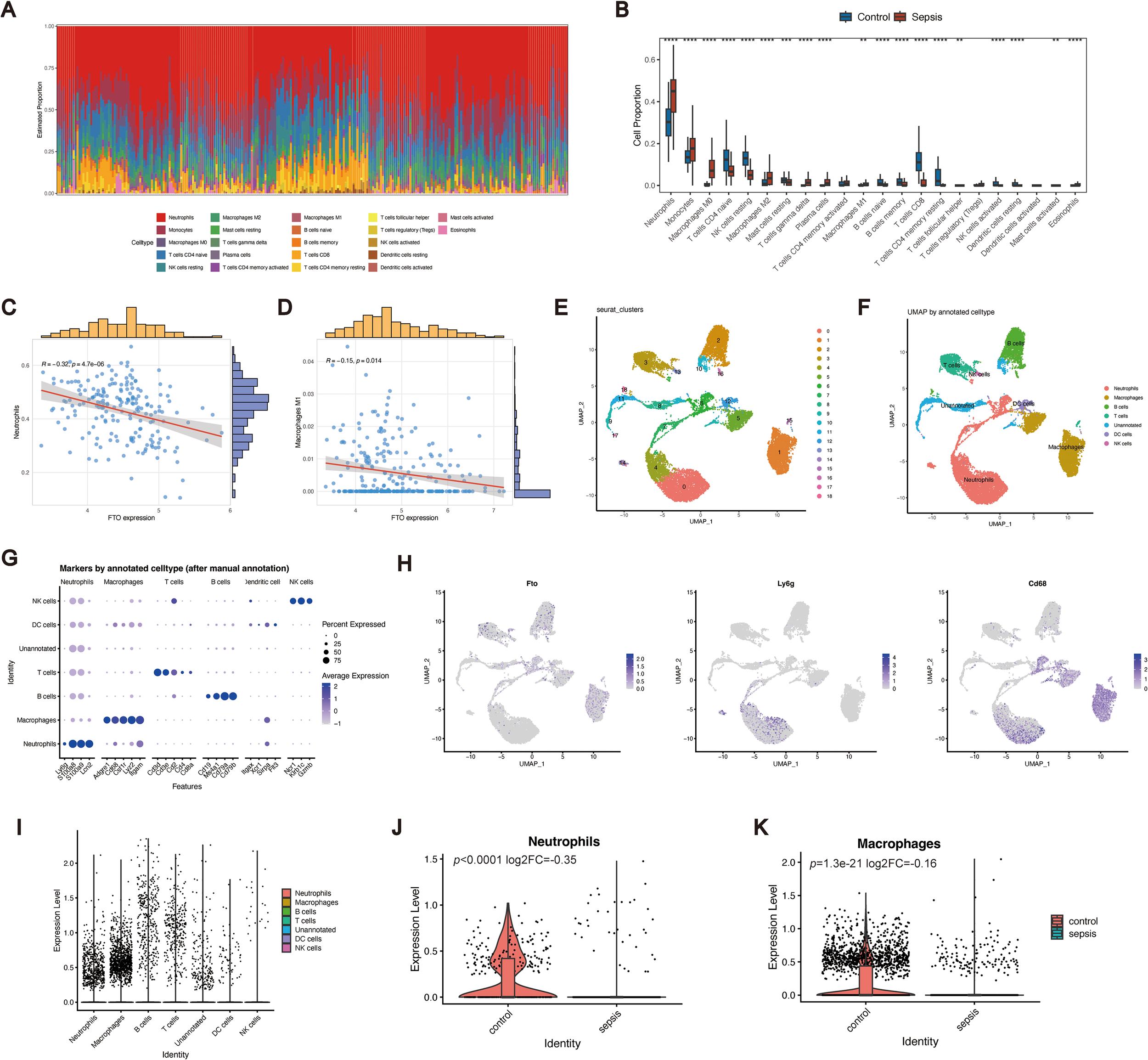
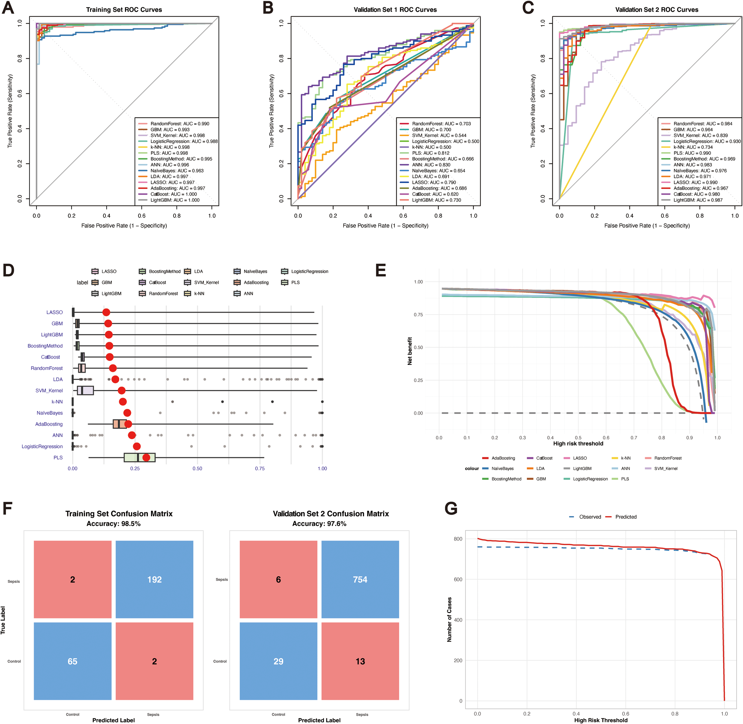
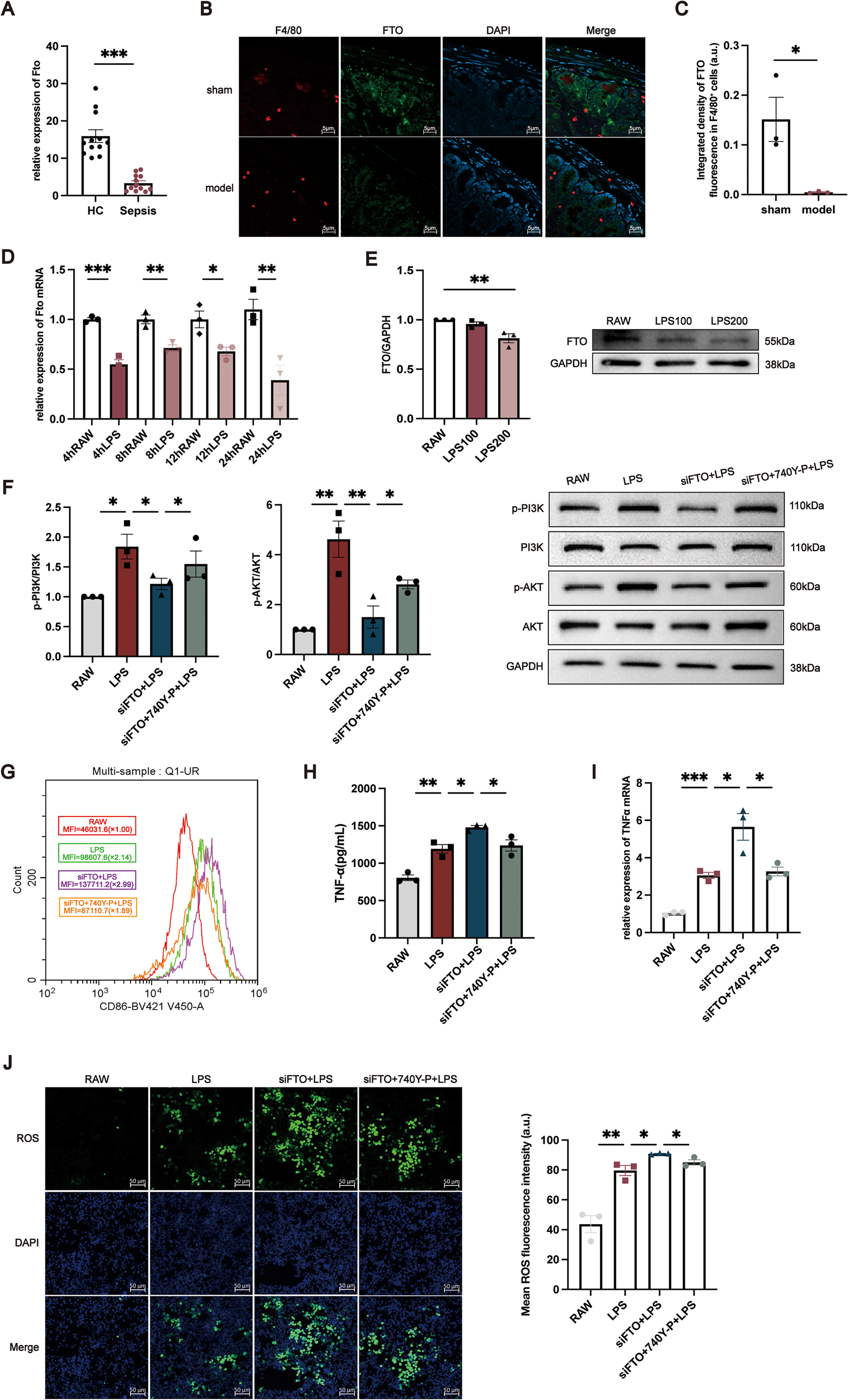
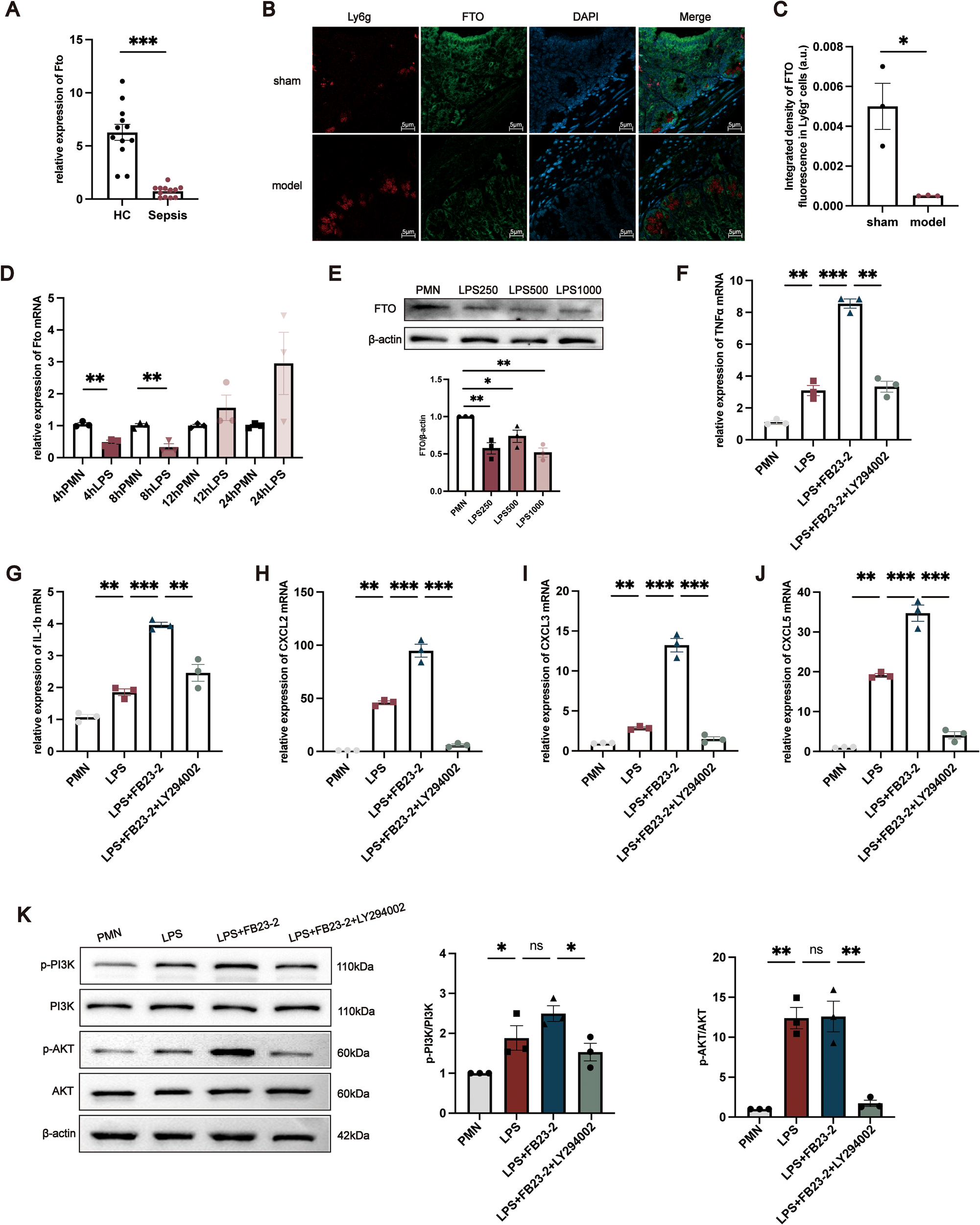
Sepsis is a life-threatening disorder characterized by multiple organ dysfunction caused by dysregulated host responses to infection. The present study aimed to identify potential diagnostic biomarkers for sepsis and elucidate their molecular mechanisms through comprehensive bioinformatics and experimental analyses. Five publicly available transcriptomic datasets (GSE13904, GSE26440, GSE28750, GSE95233, and GSE57065) containing sepsis and healthy control samples were utilized in the study. After quality control and normalization, the samples were divided into training and validation cohorts. Fourteen machine learning algorithms were applied to the training cohort to identify robust diagnostic biomarkers, and their predictive performance was subsequently verified in the validation cohorts. Single-cell RNA sequencing (scRNA-seq) data were further analyzed to determine the cellular distribution of the identified regulators among immune cell subsets. In total, the least absolute shrinkage and selection operator (LASSO) model exhibited the best performance in the validation set, demonstrating high reliability. Through consensus feature selection across multiple models, the m6A methylation regulator fat mass and obesity-associated protein (FTO) was identified as a key biomarker. scRNA-seq analysis revealed that FTO was primarily expressed in neutrophils and macrophages. Its expression levels were markedly altered in peripheral blood mononuclear cells (PBMCs) and neutrophils from sepsis patients compared with healthy controls, which was consistent with the findings in in vitro macrophage and neutrophil models. Functional experiments demonstrated that FTO promotes macrophage polarization toward the pro-inflammatory M1 phenotype and enhances neutrophil inflammatory and chemotactic responses, highlighting its critical role in orchestrating inflammatory regulation during sepsis. In conclusion, FTO, identified through consensus machine learning approaches, could serve as a potential diagnostic biomarker and m6A methylation regulator for sepsis. The discovery of FTO and its downstream targets provides new insights into sepsis pathogenesis and may offer a foundation for developing novel therapeutic strategies.
Keywords: FTO, M1 macrophages, N6-Methyladenosine, Neutrophils, Sepsis
Received: 28 Nov 2025; Accepted: 02 Feb 2026.
Copyright: © 2026 Jiao, Lian, Zhang, Gao, Geng, Deng, Wang, Deng, Xiao and Zhang. This is an open-access article distributed under the terms of the Creative Commons Attribution License (CC BY). The use, distribution or reproduction in other forums is permitted, provided the original author(s) or licensor are credited and that the original publication in this journal is cited, in accordance with accepted academic practice. No use, distribution or reproduction is permitted which does not comply with these terms.
* Correspondence:
Cheng Xiao
Guoqiang Zhang
Disclaimer: All claims expressed in this article are solely those of the authors and do not necessarily represent those of their affiliated organizations, or those of the publisher, the editors and the reviewers. Any product that may be evaluated in this article or claim that may be made by its manufacturer is not guaranteed or endorsed by the publisher.
