ORIGINAL RESEARCH article
Front. Microbiol.
Sec. Infectious Agents and Disease
This article is part of the Research TopicZoonotic Diseases: Epidemiology, Multi-omics, and Host-pathogen Interactions Vol IIView all 14 articles
Host Range Expansion of Leucobacter holotrichiae: First Evidence of Mammalian Infection and Comparative Genomic Insights
Provisionally accepted- Shihezi University, Shihezi, China
Select one of your emails
You have multiple emails registered with Frontiers:
Notify me on publication
Please enter your email address:
If you already have an account, please login
You don't have a Frontiers account ? You can register here
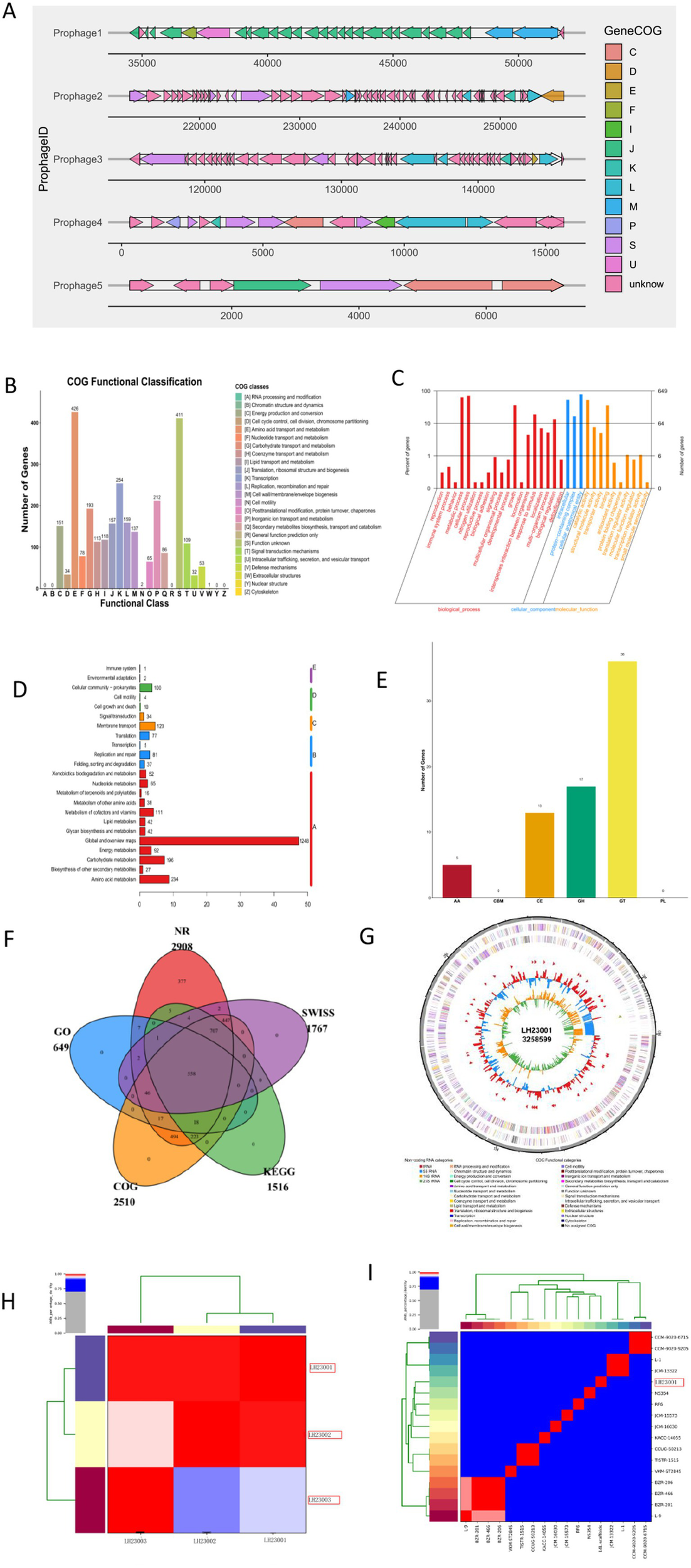
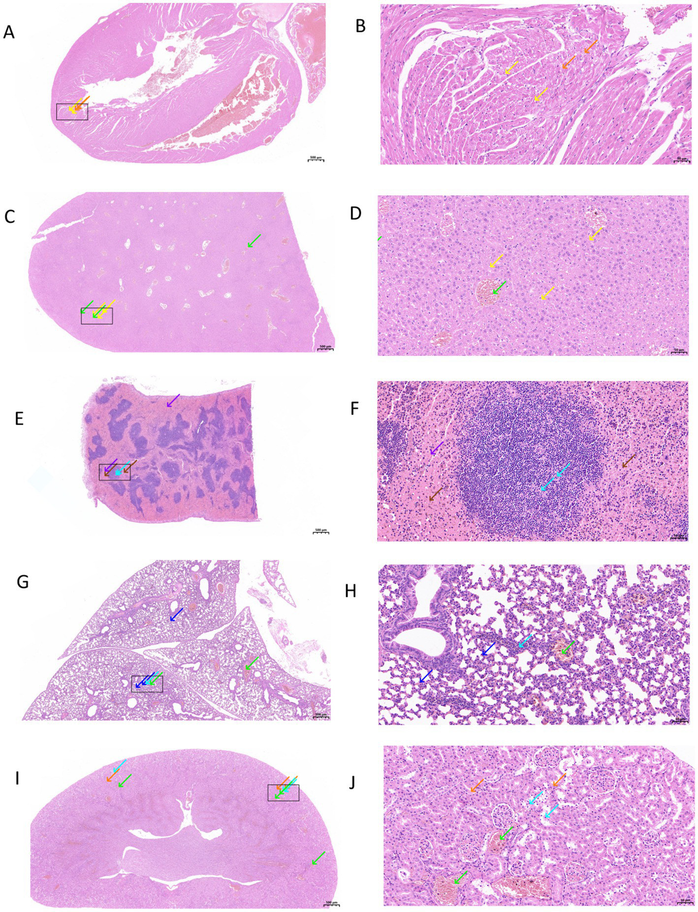
Leucobacter holotrichiae has previously been identified exclusively in insect hosts, with no reports of its presence in mammals. This study is the first to report the isolation of three L. holotrichiae strains (LH23001, LH23002, and LH23003) from mixed cultures of bovine actinomycotic abscesses in a large-scale dairy farm in Xinjiang, China. Phenotypic analysis revealed that these Gram-positive bacilli are non-spore-forming, non-flagellated, non-hemolytic, non-motile, and capable of biofilm formation. The isolates formed transparent membranous white colonies on modified Gao's medium and could grow in BHI liquid medium containing 9% NaCl. Phylogenetic analysis based on 16S rRNA gene sequences and average nucleotide identity (ANI) further confirmed that these strains are most closely related to L. holotrichiae, with all strains exhibiting strong biofilm-forming ability. Intraperitoneal infection experiments in mice showed that infection induced pathological changes in multiple tissues: vacuolar degeneration of cardiomyocytes, mild steatosis of hepatocytes, focal necrosis of a small number of lymphocytes in the white pulp of the spleen, extensive granulocyte infiltration in the alveolar walls of lung tissue, and mild edema of renal tubular epithelial cells in the renal cortex. Whole-genome sequencing results indicated that the genome size of these strains ranges from 3.63 to 3.68 Mb with a GC content of 66.8%–67.2%. They carry multiple antimicrobial resistance genes and virulence factors, and five complete prophages were predicted. Functional annotation results showed that the strains have annotated information in databases including NR, GO, eggNOG, Swiss-Prot, CAZy, CARD, and VFDB. This study expands the known host range of L. holotrichiae, systematically analyzes its biological characteristics and genomic features, and provides a theoretical basis for future research on this bacterium.
Keywords: Leucobacter holotrichiae, isolation and identification, Microbiological characterization, Antimicrobial susceptibility, Biofilm formation, Murine infection model, Bovine actinomycosis, Whole-genome sequencing
Received: 02 Oct 2025; Accepted: 24 Nov 2025.
Copyright: © 2025 LI, Qi, Cao, Qi, Xiao, Zhang, Jiao, Zhou, Cai, Du and Li. This is an open-access article distributed under the terms of the Creative Commons Attribution License (CC BY). The use, distribution or reproduction in other forums is permitted, provided the original author(s) or licensor are credited and that the original publication in this journal is cited, in accordance with accepted academic practice. No use, distribution or reproduction is permitted which does not comply with these terms.
* Correspondence:
YaYin Qi
ChenCheng Xiao
Disclaimer: All claims expressed in this article are solely those of the authors and do not necessarily represent those of their affiliated organizations, or those of the publisher, the editors and the reviewers. Any product that may be evaluated in this article or claim that may be made by its manufacturer is not guaranteed or endorsed by the publisher.
