ORIGINAL RESEARCH article
Front. Neurosci.
Sec. Brain Imaging Methods
This article is part of the Research TopicInnovations in neonatal and infant neuroimaging: multi-modal approaches, and developmental insightsView all articles
Skull stripping tools in pediatric T2-weighted MRI scans: A retrospective evaluation of segmentation performance
Provisionally accepted- Hannover Medical School, Hanover, Germany
Select one of your emails
You have multiple emails registered with Frontiers:
Notify me on publication
Please enter your email address:
If you already have an account, please login
You don't have a Frontiers account ? You can register here
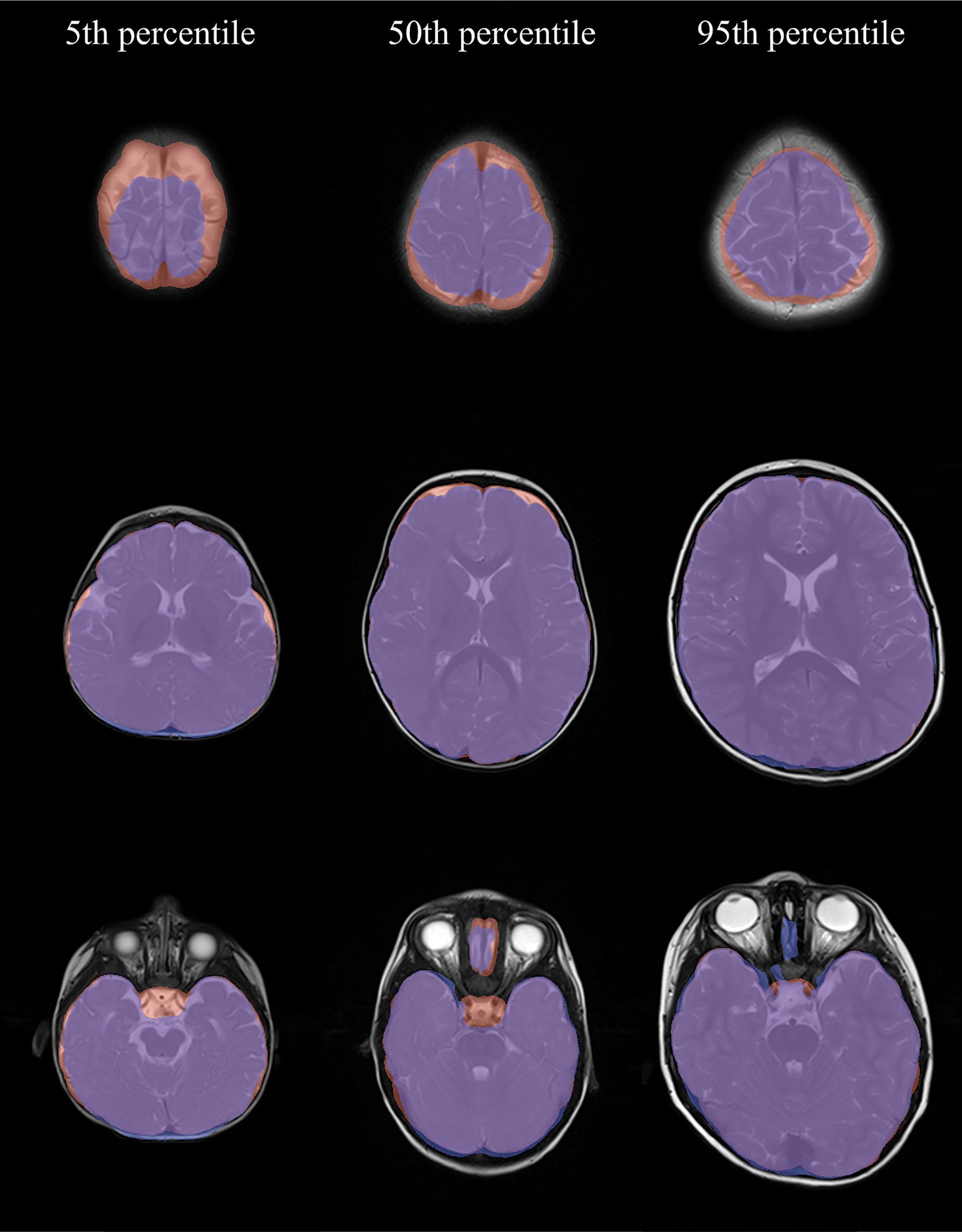
Introduction: For brain maturity assessment of infants aged above six months, T2-weighted MRI scans are recommended. Prior to automated brain tissue analysis, skull stripping is typically applied. However, most skull stripping tools neither focus on T2-weighted scans nor on pediatric cohorts. Here, we present the evaluation results of seven common skull stripping tools in a comparably large pediatric cohort. Methods: This study is based on 199 T2-weighted scans of children under the age of five years retrospectively acquired from the clinical routine at Hannover Medical School. We established a manually labeled ground truth under quality control of a senior neuroradiologist specialized in pediatric neuroradiology and evaluated seven skull stripping tools (BET, ROBEX, HD-BET, HD-BET-fast, SynthStrip, SynthStrip-noCSF and d-SynthStrip). Segmentation performance (Dice score, 95th percentile Hausdorff distance, sensitivity, specificity) and computation time were assessed on non-preprocessed and preprocessed scans (zero padding, contrast enhancement, artifact removal and normalization) as well as in different brain regions. For the best performing model, we manually assessed the top and bottom quartile of segmentations with respect to the integrity of different anatomical brain structures. Results: Only BET, HD-BET, HD-BET-fast profited from data preprocessing. Considering this, all models had median Dice scores between 0.88 and 0.96, with SynthStrip performing best. All models segmented most accurately in the middle axial slices of the brain. Voxel-resampling lowered the performance of all models, except ROBEX. Mean computing times ranged from 2 sec. (BET) to 132 sec. (HD-BET) with SynthStrip requiring 7 sec. per scan. SynthStrip was prone to not entirely including the Sinus sagittalis superior, the upper Cerebrum, the temporal pole, the Cerebellum and the Chiasma opticum / pituitary gland. In contrast, the petrous bone and the skull in the middle axial slices have often been partly included. Discussion: Due to its robustness and quick computation time, we recommend SynthStrip for skull stripping of pediatric T2-weighted MRI scans. We attribute the observed segmentation errors to the partial volume effect, which should be addressed in future research. Limitations of our study include the monocentric setting, the exclusion of pathological cases and the skewed age distribution in our cohort.
Keywords: Evaluation, Skull stripping, Magnetic Resonance Imaging, T2-weighted, Pediatrics, Dice score, Retrospective Studies
Received: 29 Sep 2025; Accepted: 02 Dec 2025.
Copyright: © 2025 Schulz, Dragendorf, Wendt, Schomakers, Bültmann and Wolff. This is an open-access article distributed under the terms of the Creative Commons Attribution License (CC BY). The use, distribution or reproduction in other forums is permitted, provided the original author(s) or licensor are credited and that the original publication in this journal is cited, in accordance with accepted academic practice. No use, distribution or reproduction is permitted which does not comply with these terms.
* Correspondence: Adrian Schulz
Disclaimer: All claims expressed in this article are solely those of the authors and do not necessarily represent those of their affiliated organizations, or those of the publisher, the editors and the reviewers. Any product that may be evaluated in this article or claim that may be made by its manufacturer is not guaranteed or endorsed by the publisher.
