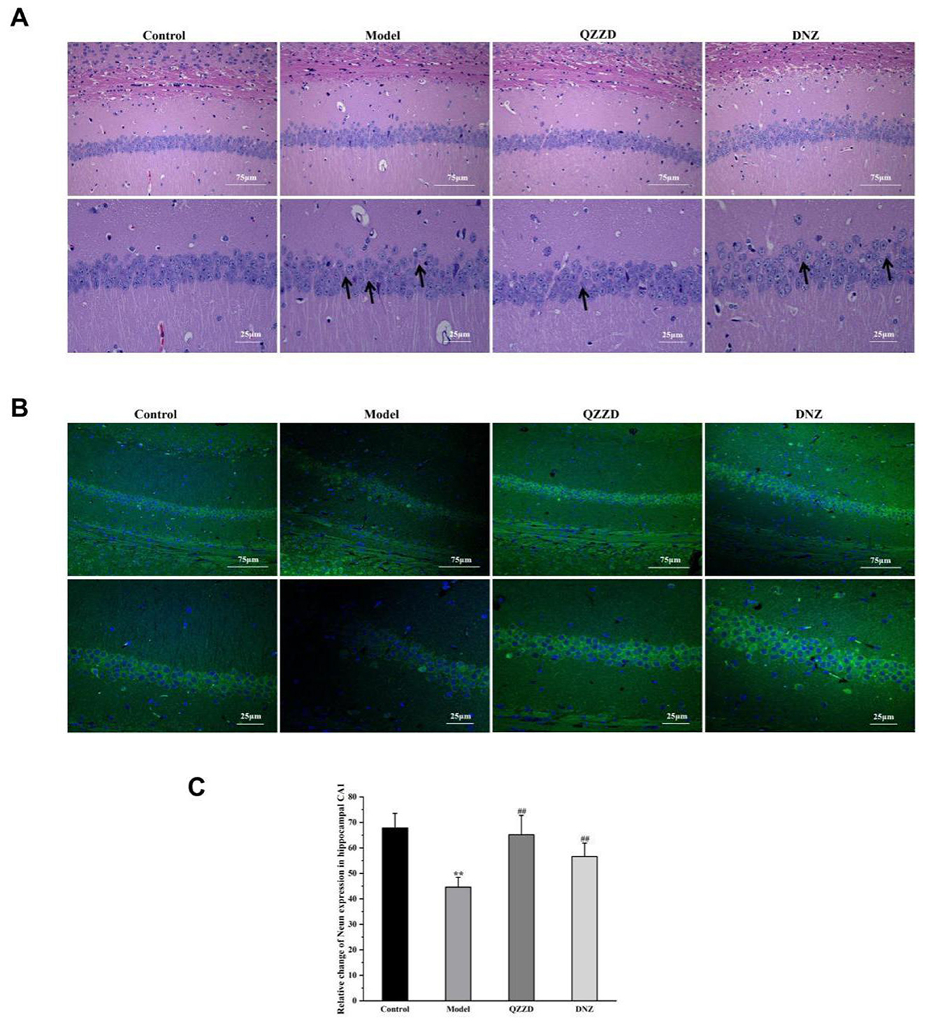
There was a mistake in Figure 10B as published. The higher magnification images in the QZZD and DNZ columns were incorrectly swapped: the image labeled QZZD belonged to the DNZ group, and the image labeled DNZ belonged to the QZZD group. The corrected Figure 10 appears below.
Figure 10

Effects of QZZD on neuronal death. (A) CA1 region of the hippocampus after HE staining [Scale bar: 75 and 25 μm (insert), n = 6]. (B) CA1 region of the hippocampus after NeuN staining [Scale bar: 75 and 25 μm (insert)]. (C) Number of NeuN-positive cells in CA1 region of the hippocampus. Values were expressed as means ± SD, n = 6 in each group. **p < 0.01, compared with the control group; ##p < 0.01, compared with the model group.
There was a mistake in Figure 11C as published. An image designated for the QZZD group was incorrectly reused in both QZZD and DNZ panels. The corrected Figure 11 appears below.
Figure 11

Effects of QZZD on expressions of Aβ, IL-6, NF-κBp65, TNFR1, p-ERK1/2 and ERK1/2 in hippocampal tissues of APP/PS1 double transgenic mice with dementia. (A) Western blotting analysis showing the protein expression levels of Aβ, IL-6, NF-κBp65, TNFR1, p-ERK1/2 and ERK1/2 in the hippocampus. (B) Quantitative analysis of Aβ, IL-6, NF-κBp65, TNFR1, p-ERK1/2, and ERK1/2 protein bands. Values are expressed as the mean ± SD, n = 6 in each group. **p < 0.01, compared with the control group; #p < 0.05, ##p < 0.01, compared with the model group. (C) Immunohistochemistry analysis showing the protein expression levels of Aβ, TNFR1, NF-κBp65, and IL-6 in the hippocampus. (D) The average optical density of Aβ, TNFR1, NF-κBp65 and IL-6 in the hippocampus. Values are expressed as the mean ± SD, n = 6 for each group. **p < 0.01, compared with the control group; #p < 0.05, ##p < 0.01, compared with the model group.
The original version of this article has been updated.
Statements
Generative AI statement
Any alternative text (alt text) provided alongside figures in this article has been generated by Frontiers with the support of artificial intelligence and reasonable efforts have been made to ensure accuracy, including review by the authors wherever possible. If you identify any issues, please contact us.
Publisher’s note
All claims expressed in this article are solely those of the authors and do not necessarily represent those of their affiliated organizations, or those of the publisher, the editors and the reviewers. Any product that may be evaluated in this article, or claim that may be made by its manufacturer, is not guaranteed or endorsed by the publisher.
Summary
Keywords
Alzheimer's disease, Qin-Zhi-Zhu-Dan Formula, TNF signaling pathway, network pharmacology, inflammatory response
Citation
Xu W, Ren B, Zhang Z, Chen C, Xu T, Liu S, Ma C, Wang X, Wang Q and Cheng F (2025) Correction: Network pharmacology analysis reveals neuroprotective effects of the Qin-Zhi-Zhu-Dan Formula in Alzheimer's disease. Front. Neurosci. 19:1752611. doi: 10.3389/fnins.2025.1752611
Received
23 November 2025
Accepted
25 November 2025
Published
04 December 2025
Volume
19 - 2025
Edited and reviewed by
Maria A. Tikhonova, Scientific Research Institute of Neurosciences and Medicine, Russia
Updates
Copyright
© 2025 Xu, Ren, Zhang, Chen, Xu, Liu, Ma, Wang, Wang and Cheng.
This is an open-access article distributed under the terms of the Creative Commons Attribution License (CC BY). The use, distribution or reproduction in other forums is permitted, provided the original author(s) and the copyright owner(s) are credited and that the original publication in this journal is cited, in accordance with accepted academic practice. No use, distribution or reproduction is permitted which does not comply with these terms.
*Correspondence: Xueqian Wang, shirlyding@163.com; Qingguo Wang, wangqg8558@163.com; Fafeng Cheng, fafengcheng@gmail.com
†These authors have contributed equally to this work and share first authorship
Disclaimer
All claims expressed in this article are solely those of the authors and do not necessarily represent those of their affiliated organizations, or those of the publisher, the editors and the reviewers. Any product that may be evaluated in this article or claim that may be made by its manufacturer is not guaranteed or endorsed by the publisher.