CASE REPORT article
Front. Oncol.
Sec. Gynecological Oncology
This article is part of the Research TopicDeep Learning for Medical Imaging ApplicationsView all 17 articles
High-Intensity Focused Ultrasound (HIFU) as a Combined Approach for the Treatment of Recurrent Low-Grade Endometrial Stromal Sarcoma: A Case Report and Literature Review
Provisionally accepted- 1Zhuhai City Hospital of Integrated Traditional Chinese and Western Medicine, Zhuhai, Guangdong Province, China
- 2Faculty of Chinese Medicine, Macau University of Science and Technology, Macau, Macau Region, China
- 3Zhuhai People's Hospital, Zhuhai, Guangdong Province, China
Select one of your emails
You have multiple emails registered with Frontiers:
Notify me on publication
Please enter your email address:
If you already have an account, please login
You don't have a Frontiers account ? You can register here
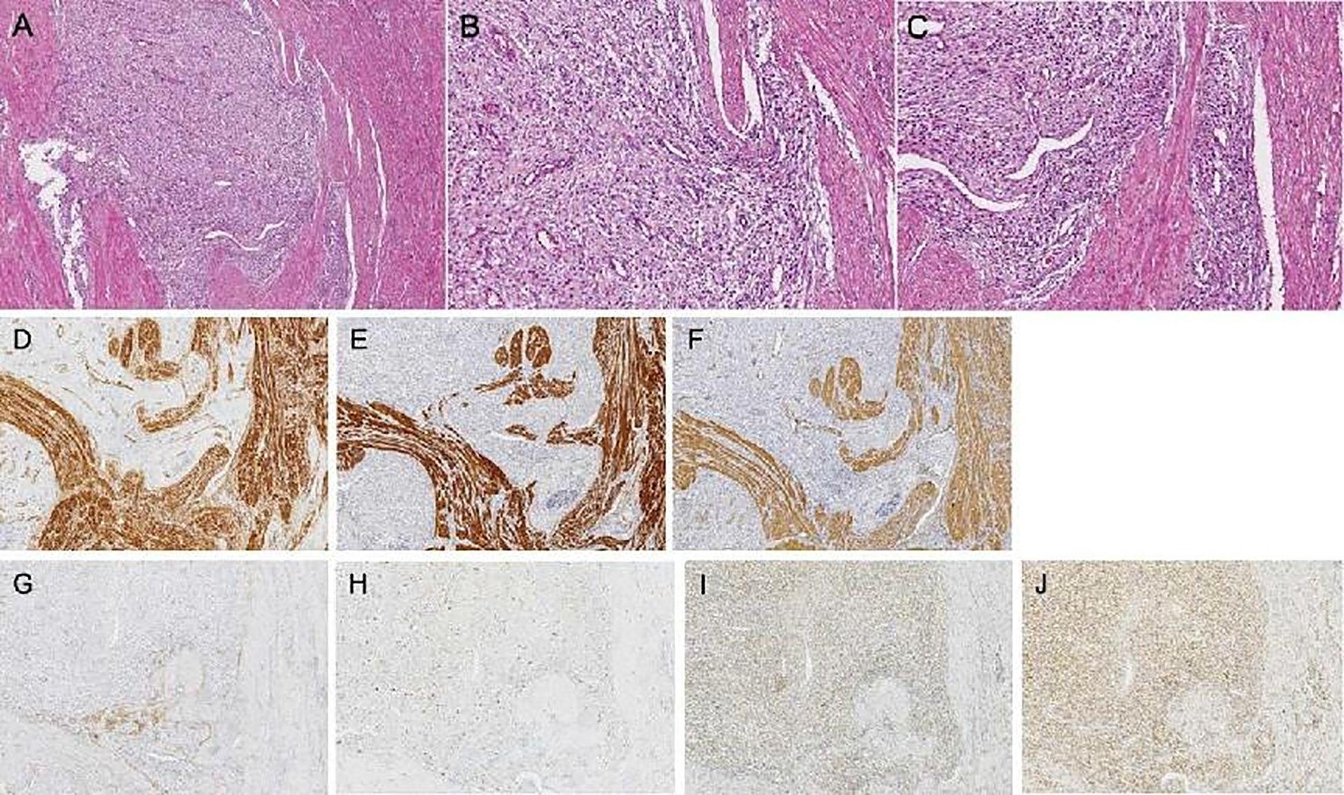
Background Surgery is the primary treatment for Endometrial Stromal Sarcoma (ESS), however, a substantial proportion of patients with ESS experience recurrence or metastasis. Currently, surgery and local ablation are the main treatments for recurrent ESS followed by chemotherapy, radiotherapy, immunotherapy, targeted therapy, and anti-estrogen therapy. Surgery and local ablation are invasive treatments and may carry risks such as intestinal damage and the risk of massive bleeding from tumor rupture. For patients who refuse or are unable to undergo surgery and local ablation, conservative treatment is not effective, and there is currently no definitive effective non-invasive or combined treatment plan. Case presentation This report presents a case of a patient with recurrent endometrial stromal sarcoma who refused surgical and local ablation treatments. After receiving HIFU treatment combined with chemotherapy, the progression of the tumor was effectively inhibited, the tumor volume significantly reduced, and liver function was restored during the HIFU period, providing an opportunity for chemotherapy. Conclusions HIFU combined with chemotherapy may provide a new treatment strategy for patients with recurrent, metastatic endometrial stromal sarcoma, or those who are unsuitable for surgery, local ablation, or those with poor baseline status unable to tolerate intensive chemotherapy.
Keywords: LGESS, HIFU, tumor recurrence, combination therapy, case report
Received: 26 Dec 2024; Accepted: 10 Nov 2025.
Copyright: © 2025 Chen, Shang, Shen, Wang, Cao, Yan, Xiao, Chen, Huang and Kang. This is an open-access article distributed under the terms of the Creative Commons Attribution License (CC BY). The use, distribution or reproduction in other forums is permitted, provided the original author(s) or licensor are credited and that the original publication in this journal is cited, in accordance with accepted academic practice. No use, distribution or reproduction is permitted which does not comply with these terms.
* Correspondence: Min Kang, drkm0327@163.com
Disclaimer: All claims expressed in this article are solely those of the authors and do not necessarily represent those of their affiliated organizations, or those of the publisher, the editors and the reviewers. Any product that may be evaluated in this article or claim that may be made by its manufacturer is not guaranteed or endorsed by the publisher.
