Your new experience awaits. Try the new design now and help us make it even better

CASE REPORT article

Front. Oncol., 16 October 2025

Sec. Radiation Oncology

Volume 15 - 2025 | https://doi.org/10.3389/fonc.2025.1557291

This article is part of the Research TopicCase Reports in Radiation Oncology: 2025View all 32 articles

Case Report: Therapeutic effect of hypofractionated radiotherapy using HyperArc for giant cavernous sinus hemangiomas

Mengqi Yang&#x;Mengqi Yang1†Zhaoming Peng&#x;Zhaoming Peng1†Xin Li&#x;Xin Li1†Baodong ChenBaodong Chen2Feng Peng*Feng Peng1*Yajie Liu*Yajie Liu1*
  • 1Department of Radiation Oncology, Peking University Shenzhen Hospital, Shenzhen, China
  • 2Department of Neurosurgery, Peking University Shenzhen Hospital, Shenzhen, China

Background: Cavernous sinus hemangiomas (CSH) are considered benign vascular skull base tumors. Surgical therapy is the primary treatment due to the neurological deficits resulting from the compressive effects of the mass. However, patients with tumors located in critical areas or those with large tumor volume, surgical resection may be difficult or even unfeasible.

Case Description: We report the case of a female patient with a 10-year history of progressive right orbital swelling and visual impairment. Imaging revealed a giant CSH with a tumor volume of 144 cm³. The patient underwent limited debulking surgery one year prior, with substantial residual tumor burden and persistent right facial swelling, particularly in the periorbital region.

Intervention: The patient subsequently received hyperarc-based hypofractionated radiotherapy, delivered at a dose of 30 Gy in 10 fractions (3 Gy per fraction), followed by clinicoradiologic assessments at 6-month intervals.

Outcome: Radiologic evaluation at 6 months post-radiotherapy demonstrated a 69% reduction in tumor volume. Significant improvement in facial swelling and restoration of facial symmetry were observed. However, right-sided ptosis and vision loss persisted, likely due to irreversible optic nerve damage. A transient alopecia noted at 2 months post-treatment resolved completely by the 6-month follow-up. No acute or late radiation-related toxicities were reported during a 13-month follow-up period.

Conclusion: The treatment achieved marked tumor regression and clinical improvement with an excellent safety profile. Hypofractionated radiotherapy may be serve as an alternative effective approach in these unresectable lesions with a favorable safety profile.

Introduction

Cavernous sinus hemangiomas (CSH) are well-defined neoplasms that originate within the dural inuses, typically located in the intracranial extradural space. The orbital apex and superior orbital fissure are commonly affected sites. Due to the complex anatomy of this region and the associated risks, surgical management of CSH remains highly challenging. Although surgery is still considered the gold standard, radiosurgery has emerged as a valid option for treating residual tumors (1). Several studies have demonstrated favorable responses of small and medium-sized CSH to gamma knife radiosurgery (GKRS) (2). For giant CSH (>4 cm), GKRS may also serve as an effective alternative treatment modality (3). There are no reports in the global literature documenting the use of primary hypofractionated radiotherapy for giant CSH.

HyperArc (HA), delivered via the Varian TrueBeam linear accelerator, is a novel non-coplanar multi-arc radiotherapy technique that has shown considerable promise in the treatment of head and neck tumors as well as intracranial metastases (4). The HyperArc planning system enables safe dose escalation while achieving optimal target coverage. Several studies have highlighted its ability to significantly improve target dose uniformity, generate sharp dose gradients outside the target, and minimize radiation exposure to organs at risk (OARs), including the lens, retina, and optic nerve (57). These advantages contribute to a decreased incidence of radiation-induced adverse effects such as vision loss, blindness, and corneal ulceration during radiotherapy (RT).

Here, we present a case of a giant CSH treated with hypofractionated radiotherapy using HA technology. In our case, extensive surgical resection posed a substantial risk of damaging peripheral organs such as the eyes and appendages. Therefore, the patient underwent hypofractionated HA-based radiotherapy following palliative debulking surgery. Despite the tumor remained radiographically visible after treatment, the radiotherapy successfully arrested tumor growth, restored facial symmetry, and improved the patient’s quality of life.

Case report

In 2013, a 20-year-old female with no significant past medical history presented with progressive swelling of the right eye and gradual visual decline. The patient denied ocular pain, facial numbness, or other neurological deficits. The first medical consultation and imaging evaluation took place in 2015. The initial magnetic resonance imaging (MRI) (Supplementary Figure 1) revealed circumscribed retro-orbital mass located posterior to the right globe. The mass compressed the right eyeball anteriorly and encased the optic nerve, leading to disruption of both the optic nerve and surrounding extraocular muscles. On T1-weighted images (T1WI), the lesion appeared isointense relative to adjacent muscles, while T2-weighted images (T2WI) demonstrated heterogeneous hyperintensity with clustered components. Mild, heterogeneous contrast enhancement was observed. The mass extended into the cavernous sinus, posterior longitudinal fissure, right cerebellar tentorium, and subcutaneous temporal soft tissues, raising a preliminary radiologic impression of a giant cavernous sinus hemangioma (CSH). The patient had not received any treatment at that time. The patient experienced progressive worsening of proptosis and right-sided facial swelling. A repeat MRI in 2019 confirmed significant enlargement of the lesion with persistence of the same anatomical involvement (Supplementary Figure 2).

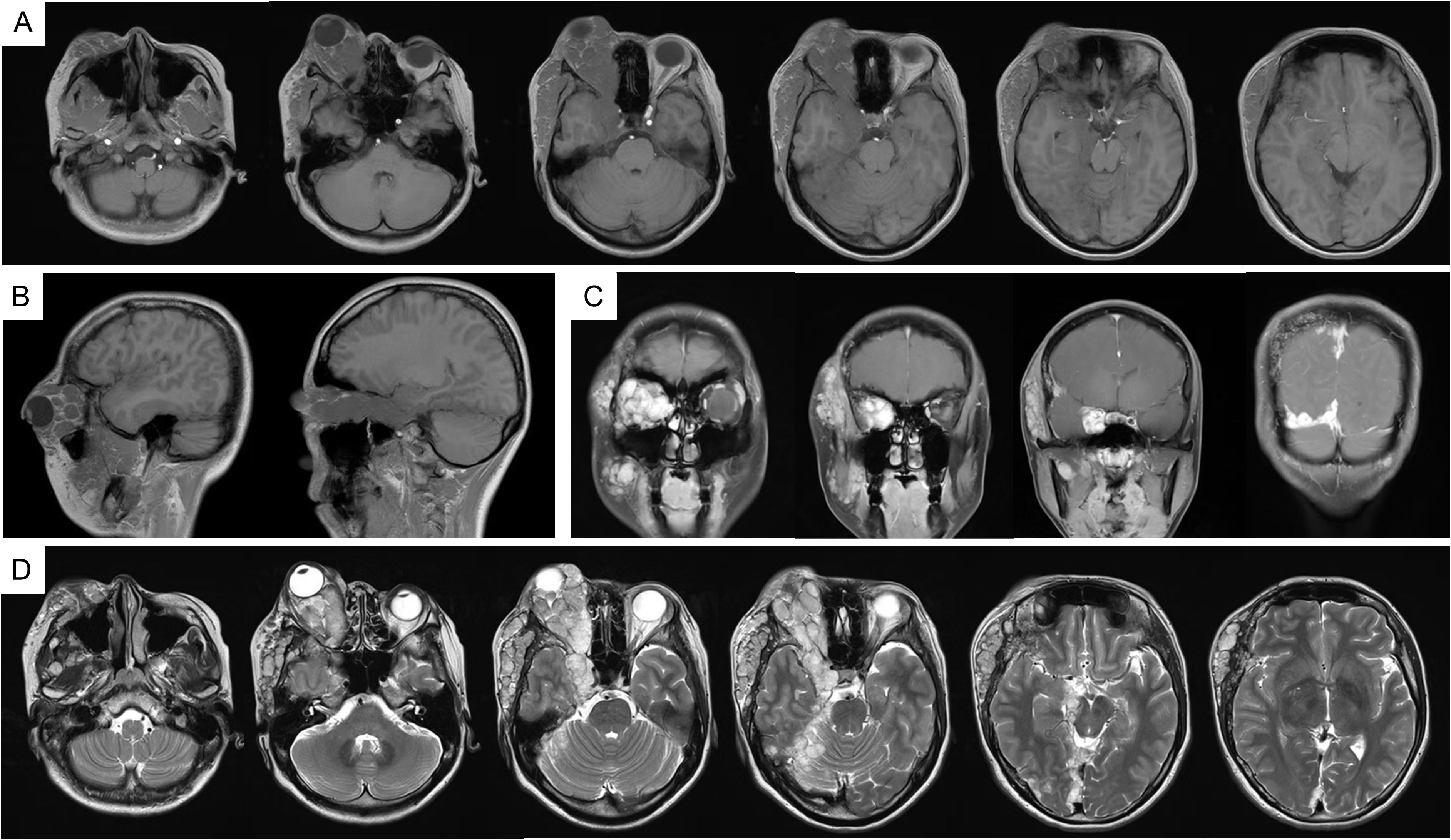
In 2023, due to worsening symptoms and brainstem compression (Figure 1), palliative surgical resection was performed. Multiple tumor nodules beneath the temporal muscle and intraorbital lesions were partially removed. Postoperative histopathological analysis confirmed the diagnosis of hemangioma, characterized by dilated vascular channels lined by a single layer of endothelial cells without atypia, consistent with a cavernous subtype. This pathological confirmation established the final diagnosis, thereby excluding other radiologically plausible differential diagnoses such as meningioma (which typically shows dural attachment and uniform enhancement), schwannoma (which often arises from cranial nerves with distinct borders), or arteriovenous malformation/hemangioblastoma (usually associated with flow voids or feeding vessels). At four months post-surgery, follow-up MRI (Figure 2) showed partial improvement of right cerebral edema, though a substantial intracranial tumor burden persisted.

Figure 1
A series of MRI images showing various views of the human brain. Panel A features axial views, highlighting different brain sections horizontally. Panel B presents sagittal views, providing a side perspective. Panel C offers coronal views, displaying a frontal cross-section. Panel D includes additional axial images showing variations in tissue contrasts and structures. Each section reveals specific brain anatomy and potential abnormalities.

Figure 1. MRI imaging in 2023. (A) T1WI; (B) T1WI-C coronal view; (C) T1WI-C sagittal view; (D) T2WI-TSE. MRI, magnetic resonance imaging; T1WI, T1-weighted image; T2WI, T2-weighted image; T1WI-C, T1WI with contrast; T2-FLAIR, T2-fluid attenuated inversion recovery.

Figure 2
MRI scans showing various sections of a human brain, labeled A to E. The images display transverse and sagittal views with varying contrasts and details, highlighting anatomical structures and potential abnormalities. Each row represents a different set of images with specific diagnostic focuses.

Figure 2. MRI imaging after the palliative surgery. (A) T1WI; (B) T1WI-C coronal view; (C) T1WI-C sagittal view; (D) T1WI-C; (E) T2WI-TSE.

Given the residual disease and progressive natural history, postoperative radiotherapy was recommended. Hypofractionated radiotherapy using HA technology was selected to minimize radiation dose to organs at risk (OARs), including the cornea, optic nerves, and other critical structures within the cavernous sinus (Table 1). Compared with volumetric modulated arc therapy (VMAT), the HA treatment plan demonstrated superior conformity, steeper dose fall-off, and improved homogeneity, with favorable indices including conformity index (CI), gradient index (GI), and homogeneity index (HI) (Table 2). Gross tumor volume (GTV) and planning target volume (PTV) were shown in Figure 3A. The spatial dose distribution differences between HA and VMAT are illustrated in Figures 3B, C.

Table 1
www.frontiersin.org

Table 1. The maximum and mean dose (cGy) of OARs.

Table 2
www.frontiersin.org

Table 2. The calculations of radiation dosimetry (the calculation formulas of dosimetric parameters are shown in Supplementary Materials and methods).

Figure 3
Panel A shows diagnostic images of a head in frontal and lateral views with outlined regions. Panel B displays color-mapped CT scans of the head in axial, coronal, and sagittal planes, indicating radiation therapy planning. Panel C is a dose-volume histogram graph comparing two techniques, VMAT and HA, with multiple colored lines representing different anatomical structures and their response to varying radiation doses measured in cGy.

Figure 3. Treatment plan and spatial dose distribution comparison. (A) red: GTV, blue: PTV; (B) HA; (C) VMAT; (D) DVH. GTV, gross tumor volume; PTV, planning target volume; HA, HyperArc; VMAT, volumetric-modulated arc therapy; DVH, dose volume histogram.

In fact, the patient tolerated the radiotherapy well and experienced no significant adverse effects during treatment. At two months post-radiotherapy, marked improvement in right facial swelling was observed. MRI confirmed a reduction in both subcutaneous soft tissue swelling and cerebral hemisphere edema (Supplementary Figure 3). Follow-up evaluations were conducted every six months. At six months post-radiotherapy, imaging showed no evidence of disease progression (Supplementary Figure 4). Encouragingly, there was 69% and 79% volume reduction at six and thirteen months. The patient’s facial symmetry has been restored and there has been no evidence of tumor progression (Figure 4), signifying the effectiveness and tolerability of the treatment. Unfortunately, the patient has persistent ptosis of the right eyelid and unrestored vision due to irreparable neurological damage. Postoperative hypofractionated HA radiotherapy was administered for the patient to address the remaining tumor and prevent further progression. The clinical timeline of this patient was illustrated in Figure 5.

Figure 4
MRI scans showing multiple brain slices. Panel A displays a single axial view. Panels B and C feature sagittal and coronal views. Panel D includes several axial progression images, and Panel E shows different axial slices from varying levels. The images display clear anatomical structures and variations across the sections.

Figure 4. MRI imaging at 13 months follow up radiology. (A) T1WI; (B) T1WI-C coronal view; (C) T1WI-C sagittal view; (D) T1WI-C; (E) T2WI-TSE.

Figure 5
Timeline showing a medical history from 2013 to 2024. In 2013, symptom onset with swelling of the right eye. Between 2015 and 2019, there was a radiological evaluation but no treatment. In March 2023, palliative surgery occurred. By August 2023, hyperarc-based hypofractionated radiotherapy was administered. Follow-ups are scheduled every six months in 2024.

Figure 5. The clinical timeline of this patient.

Discussion

The primary treatment approach for large and giant CSH is surgical intervention, including radical or extensive resection. However, the rate of complete resection remains low, and postoperative deterioration in cranial nerve function is relatively common (810). Adjuvant radiotherapy is often administered following surgery to maximize the eradication of residual lesions. The optimal treatment strategy for large and giant CSH remains under debate. There has been a growing trend to consider radiosurgery as the primary treatment modality for CSH, particularly in the case of small to medium-sized lesions. Several studies have demonstrated favorable outcomes in terms of tumor shrinkage and sustained long-term control in CSH patients treated with GKRS (1113). One study reported that large-volume CSHs could be safely treated with hypofractionated GKRS, achieving remarkable volumetric reductions over a short period (3). This suggested that radiosurgery alone may be a viable alternative to surgical intervention. In summary, radiotherapy remains a crucial modality for achieving local control and preventing recurrence in the management of CSH; however, its efficacy for giant lesions remains uncertain, posing a challenge in defining optimal treatment regimens.

In head and neck radiotherapy, VMAT is commonly employed as the standard technique (14). In the present case, the tumor’s invasion into the orbit, cavernous sinus and intracranial required a treatment plan with a high degree of target conformity and a steep dose gradient. The tumor’s proximity to vital structures, such as the eyeball, posed significant challenges in balancing effective tumor coverage with sparing of OARs. As showed in Figure 5, the comparison of radiotherapy plans for HA and VMAT exhibited significant differences in spatial dose distributions. The isodose lines for the HA plan exhibited superior closure compared to VMAT. The calculations suggested that HA outperformed VMAT in terms of CI, GI and HI. Notably, HA resulted in lower radiation doses to critical OARs, providing enhanced protection for structures such as the cornea, retina, optic nerve, parotid and brainstem. This reduction in radiation exposure is crucial in minimizing the risk of treatment-related complications. Published studies have also demonstrated HA plans generated a lower dose to the OARs and the normal tissue (15, 16). In our opinion, HA played a pivotal role in reducing adverse reactions during the radiotherapy course.

Indeed, the patient experienced no notable side effects during the entire course of radiotherapy. Unfortunately, her vision could not be restored after treatment. The persistent ptosis of the right eyelid and visual loss are likely due to irreversible damage to the optic apparatus and cranial nerves III to VI caused by the tumor itself. At the 13-month follow-up, the tumor volume had reduced by 69%. The patient exhibited no new neurological deficits, and no radiation-induced side effects were observed on MRI. The lesions of our patient were located in the retro-orbital space, right masseter muscle, cavernous sinus region, posterior longitudinal fissure of the brain, and the right cerebellar tentorium. GKRS or higher prescription dose for such large region would pose a risk for OARs and further cause any severe complications. The hypofractionated radiotherapy was considered as a treatment option in view of the giant size of the lesion.

A single dose of 3 Gy was unlikely to cause significant damage to surrounding OARs. The total dose of 30 Gy remained below the tolerance thresholds for most intracranial organs. Importantly, the relatively low cumulative dose allows for the possibility of future radiotherapy in the event of tumor recurrence. Due to the size and extent of the lesions, complete eradication through surgery or radiotherapy alone remains challenging. Thus, there is a high risk of future recurrence. Treatment planning should not only address the current disease status but also anticipate long-term management. It is also important to consider potential therapeutic options should the disease progress. In the future, genetic profiling of oncogenic and other relevant genes may help elucidate the molecular mechanisms underlying CSH pathogenesis. This evaluation could also inform potential gene therapy applications, including the endovascular in situ delivery of chemotherapeutics (17). Regardless, given the limited previous reports on treatment strategies for this giant condition, our approach provides valuable clinical insight. The success observed in this case contributes meaningful data and may guide clinicians facing similar therapeutic challenges.

Limitations

Although our study highlights the safety and efficacy of HA−based hypofractionated radiotherapy for intracranial lesions, certain limitations remain. The most significant limitation is that the report is based on a single case of giant CSH with a follow-up duration of only 13 months. Longer-term follow-up is essential to assess the durability and full efficacy of this treatment approach. Additionally, findings from a single case cannot provide definitive evidence that HA achieves superior local control or survival benefits. Larger studies with extended follow-up are necessary to validate these preliminary observations.

Conclusion

Giant CSH presents a significant challenge, particularly when intracranial structures are involved. Given the absence of an established optimal treatment strategy, there remains an urgent need for more effective therapeutic options. In this case, a combination of palliative debulking surgery followed by hypofractionated HA radiotherapy was employed. Our findings suggest that this strategy was effective in achieving tumor control and improving patient outcomes. Furthermore, HA demonstrated superior target coverage and better sparing of critical structures, indicating its potential clinical advantage. However, further studies are needed to confirm these findings in a larger patient cohort.

Data availability statement

The original contributions presented in the study are included in the article/Supplementary Material. Further inquiries can be directed to the corresponding authors.

Ethics statement

Written informed consent was obtained from the individual(s) for the publication of any potentially identifiable images or data included in this article. Written informed consent was obtained from the participant/patient(s) for the publication of this case report.

Author contributions

MY: Writing – original draft, Data curation, Formal Analysis, Funding acquisition, Investigation, Writing – review & editing. ZP: Data curation, Writing – original draft. XL: Data curation, Writing – original draft. BC: Data curation, Writing – original draft. FP: Data curation, Writing – original draft, Writing – review & editing. YL: Writing – original draft, Writing – review & editing, Data curation.

Funding

The author(s) declare financial support was received for the research and/or publication of this article. This study was supported by Shenzhen Science and Technology Innovation Commission Project (JCYJ20220531093612027), Shenzhen City San Ming project (SZSM202211036), Shenzhen High-level Hospital Construction Fund and Peking University Shenzhen Hospital Scientific Research Fund.

Conflict of interest

The authors declare that the research was conducted in the absence of any commercial or financial relationships that could be construed as a potential conflict of interest.

Generative AI statement

The author(s) declare that no Generative AI was used in the creation of this manuscript.

Any alternative text (alt text) provided alongside figures in this article has been generated by Frontiers with the support of artificial intelligence and reasonable efforts have been made to ensure accuracy, including review by the authors wherever possible. If you identify any issues, please contact us.

Publisher’s note

All claims expressed in this article are solely those of the authors and do not necessarily represent those of their affiliated organizations, or those of the publisher, the editors and the reviewers. Any product that may be evaluated in this article, or claim that may be made by its manufacturer, is not guaranteed or endorsed by the publisher.

Supplementary material

The Supplementary Material for this article can be found online at: https://www.frontiersin.org/articles/10.3389/fonc.2025.1557291/full#supplementary-material

References

1. Padilla-Lichtenberger F, Massa DS, Plou P, Campero A, and Ajler P. Surgical management of a superior orbital fissure cavernous hemangioma. Neurol India. (2022) 70:992–5. doi: 10.4103/0028-3886.349630

PubMed Abstract | Crossref Full Text | Google Scholar

2. Tripathi M, Batish A, Kumar N, Ahuja CK, Oinam AS, Kaur R, et al. Safety and efficacy of single-fraction gamma knife radiosurgery for benign confined cavernous sinus tumors: our experience and literature review. Neurosurgical review. (2020) 43:27–40. doi: 10.1007/s10143-018-0975-8

PubMed Abstract | Crossref Full Text | Google Scholar

3. Tripathi M, Singla R, Madan R, Batish A, Ahuja CK, Tewari MK, et al. Primary hypofractionated gamma knife radiosurgery for giant cavernous sinus hemangiomas. Neurol India. (2021) 69:724–8. doi: 10.4103/0028-3886.317234

PubMed Abstract | Crossref Full Text | Google Scholar

4. Li W, Lou F, Zhai L, Piao M, Zhu Y, Liu S, et al. HyperArc radiotherapy for recurrent synovial sarcoma of infratemporal fossa: a rare case report and review of the literature. AME Case Rep. (2024) 8:104. doi: 10.21037/acr-24-88

PubMed Abstract | Crossref Full Text | Google Scholar

5. Ohira S, Sagawa T, Ueda Y, Inui S, Masaoka A, Akino Y, et al. Effect of collimator angle on HyperArc stereotactic radiosurgery planning for single and multiple brain metastases. Med dosimetry. (2020) 45:85–91. doi: 10.1016/j.meddos.2019.07.004

PubMed Abstract | Crossref Full Text | Google Scholar

6. Ruggieri R, Naccarato S, Mazzola R, Ricchetti F, Corradini S, Fiorentino A, et al. Linac-based radiosurgery for multiple brain metastases: Comparison between two mono-isocenter techniques with multiple non-coplanar arcs. Radiotherapy Oncol. (2019) 132:70–8. doi: 10.1016/j.radonc.2018.11.014

PubMed Abstract | Crossref Full Text | Google Scholar

7. Vergalasova I, Liu H, Alonso-Basanta M, Dong L, Li J, Nie K, et al. Multi-institutional dosimetric evaluation of modern day stereotactic radiosurgery (SRS) treatment options for multiple brain metastases. Front Oncol. (2019) 9:483. doi: 10.3389/fonc.2019.00483

PubMed Abstract | Crossref Full Text | Google Scholar

8. Srinivas D, Sarma P, Shukla D, Bhat D, Pandey P, Somanna S, et al. Multimodality management of cavernous sinus hemangiomas-an institutional experience. J neurological Surg Part B Skull base. (2017) 78:399–407. doi: 10.1055/s-0037-1602790

PubMed Abstract | Crossref Full Text | Google Scholar

9. Yin Y-H, Yu X-G, Xu B-N, Zhou D-B, Bu B, and Chen X-L. Surgical management of large and giant cavernous sinus hemangiomas. J Clin Neurosci. (2013) 20:128–33. doi: 10.1016/j.jocn.2012.01.050

PubMed Abstract | Crossref Full Text | Google Scholar

10. Guez D, Last D, Daniels D, Sharabi S, Nass D, Nissim O, et al. Radiation-induced vascular malformations in the brain, mimicking tumor in MRI-based treatment response assessment maps (TRAMs). Clin Trans Radiat Oncol. (2019) 15:1–6. doi: 10.1016/j.ctro.2018.11.004

PubMed Abstract | Crossref Full Text | Google Scholar

11. Ivanov P, Chernov M, Hayashi M, Nakaya K, Izawa M, Murata N, et al. Low-dose gamma knife radiosurgery for cavernous sinus hemangioma: report of 3 cases and literature review. Minimally invasive neurosurgery: MIN. (2008) 51:140–6. doi: 10.1055/s-2008-1065346

PubMed Abstract | Crossref Full Text | Google Scholar

12. Chou C-W, Wu H-M, Huang C-I, Chung W-Y, Guo W-Y, Shih Y-H, et al. Gamma knife surgery for cavernous hemangiomas in the cavernous sinus. Neurosurgery. (2010) 67:611–6. doi: 10.1227/01.Neu.0000378026.23116.E6

PubMed Abstract | Crossref Full Text | Google Scholar

13. Tripathi M, Rekhapalli R, Batish A, Kumar N, Oinam AS, Ahuja CK, et al. Safety and efficacy of primary multisession dose fractionated gamma knife radiosurgery for jugular paragangliomas. World neurosurgery. (2019) 131:e136–e48. doi: 10.1016/j.wneu.2019.07.090

PubMed Abstract | Crossref Full Text | Google Scholar

14. Wolff HA, Wagner DM, Christiansen H, Hess CF, and Vorwerk H. Single fraction radiosurgery using Rapid Arc for treatment of intracranial targets. Radiat Oncol (London England). (2010) 5:77. doi: 10.1186/1748-717x-5-77

PubMed Abstract | Crossref Full Text | Google Scholar

15. Park J, Park B, and Kim J. Dosimetric comparison between the hyperArc and conventional VMAT in cervical spine stereotactic radiosurgery. J cilinc medcine. (2024) 13:5497. doi: 10.3390/jcm13185497

PubMed Abstract | Crossref Full Text | Google Scholar

16. Pan M, Xu W, Sun L, Wang C, Dong S, Guan Y, et al. Dosimetric quality of HyperArc in boost radiotherapy for single glioblastoma: comparison with CyberKnife and manual VMAT. Radiat Oncol. (2023) 18:8. doi: 10.1186/s13014-022-02150-y

PubMed Abstract | Crossref Full Text | Google Scholar

17. McAvoy M, Ratner B, Ferreira MJ, and Levitt MR. Gene therapy for intracranial aneurysms: systemic review. J neurointerv Surg. (2024) 17:859–63. doi: 10.1136/jnis-2024-021843

PubMed Abstract | Crossref Full Text | Google Scholar

Keywords: hemangioma, hypofractionated radiotherapy, HyperArc, complications, disease control

Citation: Yang M, Peng Z, Li X, Chen B, Peng F and Liu Y (2025) Case Report: Therapeutic effect of hypofractionated radiotherapy using HyperArc for giant cavernous sinus hemangiomas. Front. Oncol. 15:1557291. doi: 10.3389/fonc.2025.1557291

Received: 25 February 2025; Accepted: 06 October 2025;
Published: 16 October 2025.

Edited by:

Tao Song, Zhejiang Provincial People’s Hospital, China

Reviewed by:

Anuraag Punukollu, Andhra Medical College, India
Baldomero Gonzalez-Virla, Instituto Mexicano del Seguro Social, Mexico

Copyright © 2025 Yang, Peng, Li, Chen, Peng and Liu. This is an open-access article distributed under the terms of the Creative Commons Attribution License (CC BY). The use, distribution or reproduction in other forums is permitted, provided the original author(s) and the copyright owner(s) are credited and that the original publication in this journal is cited, in accordance with accepted academic practice. No use, distribution or reproduction is permitted which does not comply with these terms.

*Correspondence: Feng Peng, cGVuZ2ZlbmdiamR4c3p5eUAxNjMuY29t; Yajie Liu, YW50aGVhMTk2NkAxNjMuY29t

These authors have contributed equally to this work

Disclaimer: All claims expressed in this article are solely those of the authors and do not necessarily represent those of their affiliated organizations, or those of the publisher, the editors and the reviewers. Any product that may be evaluated in this article or claim that may be made by its manufacturer is not guaranteed or endorsed by the publisher.