CASE REPORT article
Front. Oncol.
Sec. Cancer Imaging and Image-directed Interventions
This article is part of the Research TopicInnovative Approaches in Pediatric Surgical Oncology Volume IIView all 10 articles
Extra skeletal ewing's sarcoma of mediastinum: clinical experience and literature review
Provisionally accepted- Affiliated Hospital of Zunyi Medical University, Zunyi, China
Select one of your emails
You have multiple emails registered with Frontiers:
Notify me on publication
Please enter your email address:
If you already have an account, please login
You don't have a Frontiers account ? You can register here
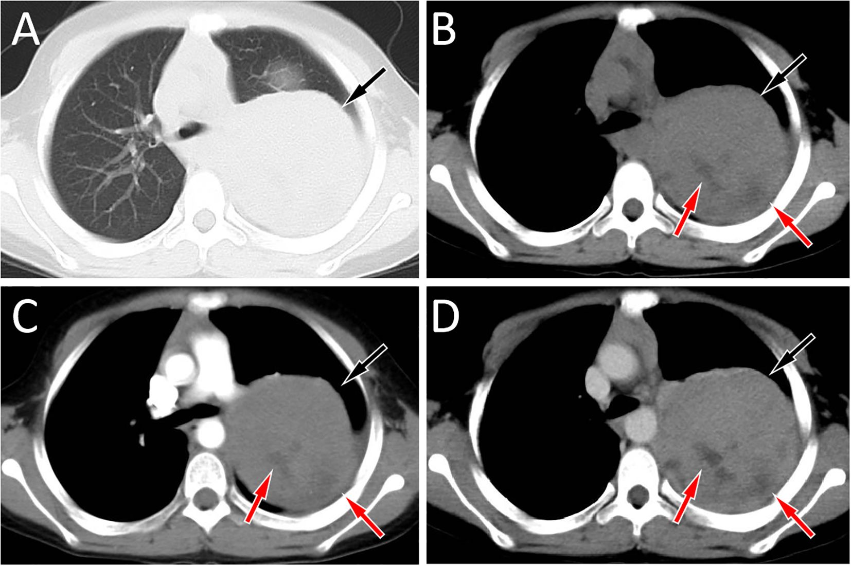
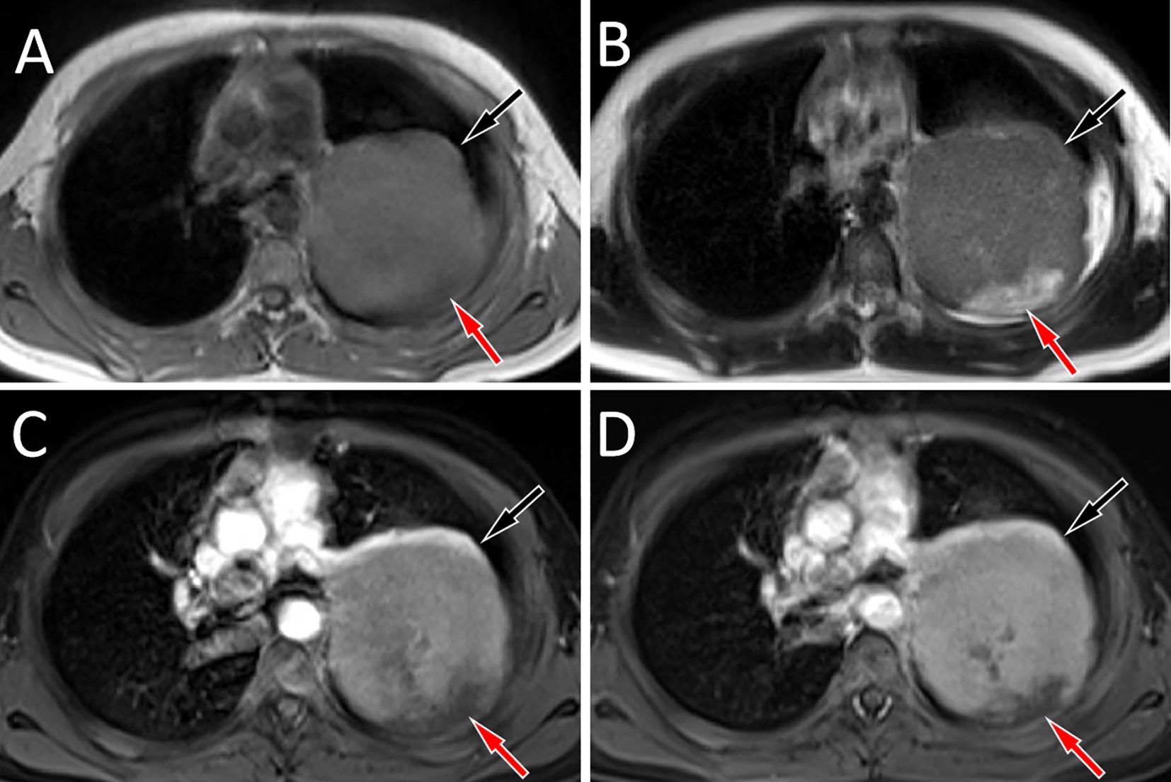
Extraskeletal Ewing sarcoma (EES) is a malignant tumor that arises in soft tissues outside the skeleton. It commonly involves the paravertebral regions, the lower extremities, and the chest wall, with mediastinal involvement being less frequent. Here, we report an 11-year-old male with pathologically confirmed EES occurring in the mediastinum. Chest computed tomography (CT) showed a large soft tissue density mass on his left posterior mediastinum, containing internal low-density cystic necrotic areas. The solid component was isointense to muscle on T1-weighted imaging (T1WI) and mildly hyperintense on T2-weighted imaging (T2WI), whereas the cystic components were hyperintense on T2WI and variably hyperintense on T1WI. On contrast-enhanced CT and T1WI, the mass demonstrated heterogeneous, progressive enhancement, suggesting the possibility of malignant tumor. A needle biopsy confirmed the diagnosis of EES. After diagnosis, the patient received systemic chemotherapy followed by surgical resection of the tumor. We also conducted a systematic review of the published literature on mediastinal EES, summarizing its clinical and imaging features, with the aim of increasing understanding of this rare disease.
Keywords: Ewing's sarcoma, Mediastinum, computed tomography, Magnetic resonanceimaging, Imaging study
Received: 28 Mar 2025; Accepted: 27 Oct 2025.
Copyright: © 2025 Hu, Zhao, Yu and Pan. This is an open-access article distributed under the terms of the Creative Commons Attribution License (CC BY). The use, distribution or reproduction in other forums is permitted, provided the original author(s) or licensor are credited and that the original publication in this journal is cited, in accordance with accepted academic practice. No use, distribution or reproduction is permitted which does not comply with these terms.
* Correspondence:
Xianwen Hu, huxw56@sina.com
Dongfeng Pan, dongfeng1960@gmail.com
Disclaimer: All claims expressed in this article are solely those of the authors and do not necessarily represent those of their affiliated organizations, or those of the publisher, the editors and the reviewers. Any product that may be evaluated in this article or claim that may be made by its manufacturer is not guaranteed or endorsed by the publisher.
