CASE REPORT article
Front. Oncol.
Sec. Genitourinary Oncology
This article is part of the Research TopicGenomic Discoveries and Pharmaceutical Development in Urologic Tumors - Volume IIView all 10 articles
A case report and literature review: An intra-abdominal epithelioid neoplasm with EWSR1::CREB fusions originating from the kidney
Provisionally accepted- 1Zhejiang Hospital, Hangzhou, China
- 2First Affiliated Hospital of Zhengzhou University, Zhengzhou, Henan Province, China
Select one of your emails
You have multiple emails registered with Frontiers:
Notify me on publication
Please enter your email address:
If you already have an account, please login
You don't have a Frontiers account ? You can register here
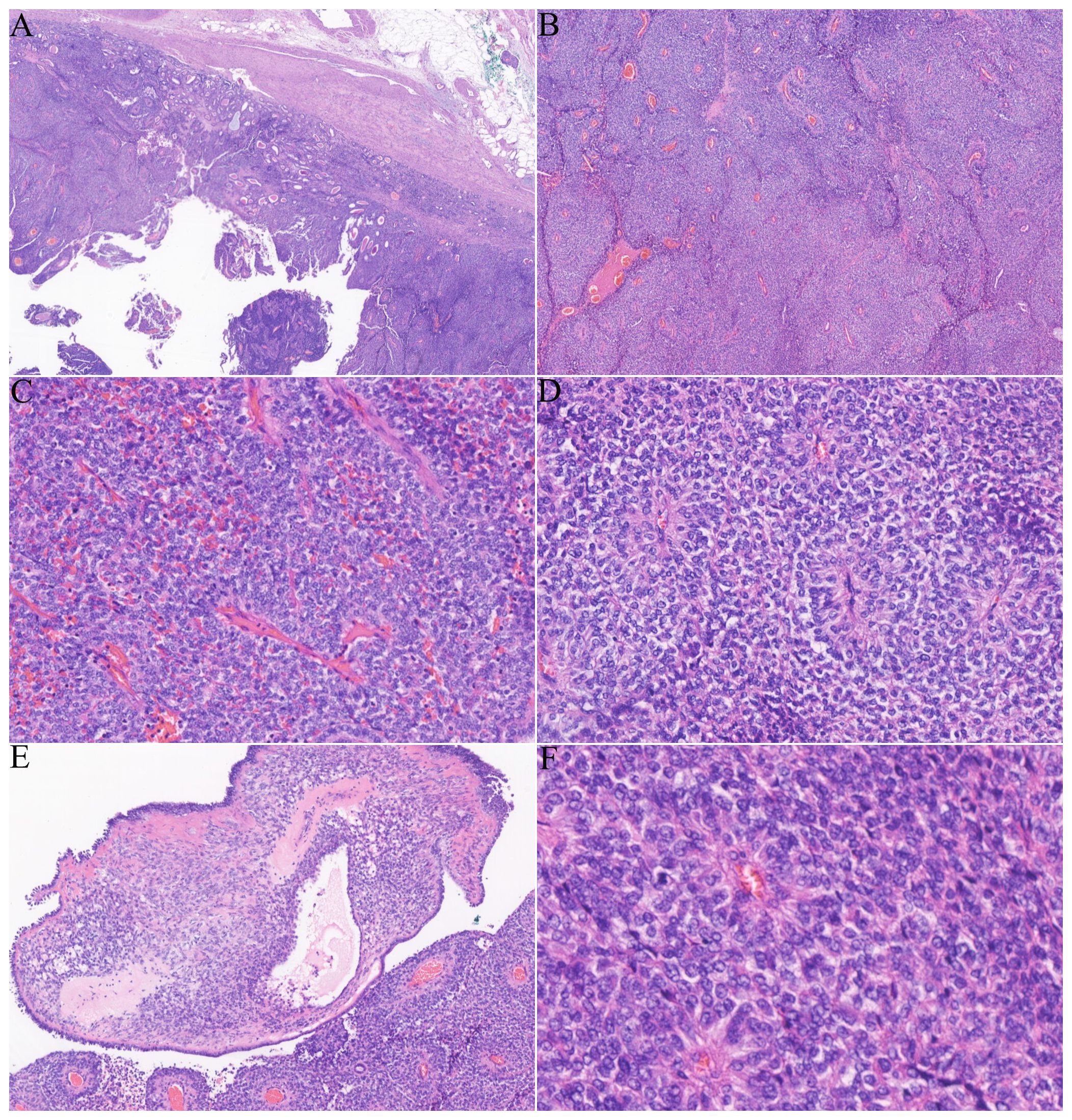
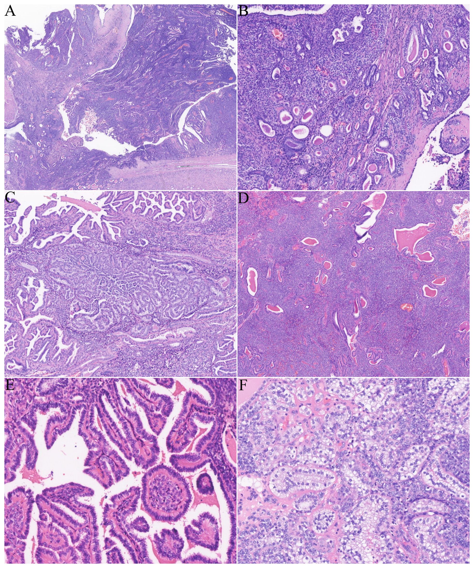
Background: EWSR1::CREB fusion is a newly identified group of aggressive tumors with epithelioid morphology and multiple growth patterns. These tumors are often located in the abdominal cavity and frequently show cytokeratin expression immunohistochemically. This invasive epithelioid soft tissue tumor has a remarkable preference for mesothelial-lined cavities, with rare extension into intra-abdominal organs such as the kidney. Given its rarity, early diagnosis and treatment are crucial. Currently, the diagnosis and treatment of this disease pose significant challenges. Case demonstration: A 36-year-old male patient with no significant past medical history was admitted with a mass in the left kidney. Computed tomography showed a mass in the lower left kidney near the renal portal, and chromophobe carcinoma was suspected. The patient subsequently underwent a partial nephrectomy. The case was initially diagnosed as a malignant tumor with epithelial and mesenchymal components. RNA sequencing and FISH of the kidney mass confirmed the diagnosis of intra-abdominal epithelioid neoplasms with EWSR1::CREB fusions originating from the kidney. The patient did not undergo any adjuvant therapy and has been followed up for 7 months. He is currently in good condition. Conclusion: Intra-abdominal epithelioid neoplasm with EWSR1::CREB fusions originating from the kidney is rare. The remarkable morphological features of the case presented here further confirm the significant morphological heterogeneity of tumors characterized by EWSR1::CREB fusion and expand the morphological spectrum of malignant epithelioid tumors with EWSR1::CREM rearrangements originating from the kidney. Additionally, neoplasm cells encircled native renal tubules, demonstrating an infiltrating growth pattern, and the renal tubules proliferated significantly, which may lead to misdiagnosis as other tumors that exhibit biphasic morphology.
Keywords: EWSR1::CREB fusion, Intra-abdominal, epithelioid neoplasm, Kidney, Clinicopathological features
Received: 02 Apr 2025; Accepted: 27 Oct 2025.
Copyright: © 2025 Zheng, Liu, Yang, Liu and Wei. This is an open-access article distributed under the terms of the Creative Commons Attribution License (CC BY). The use, distribution or reproduction in other forums is permitted, provided the original author(s) or licensor are credited and that the original publication in this journal is cited, in accordance with accepted academic practice. No use, distribution or reproduction is permitted which does not comply with these terms.
* Correspondence: Jianguo Wei, mickmouse88@163.com
Disclaimer: All claims expressed in this article are solely those of the authors and do not necessarily represent those of their affiliated organizations, or those of the publisher, the editors and the reviewers. Any product that may be evaluated in this article or claim that may be made by its manufacturer is not guaranteed or endorsed by the publisher.
