ORIGINAL RESEARCH article
Front. Oncol.
Sec. Neuro-Oncology and Neurosurgical Oncology
This article is part of the Research TopicInnovative Strategies in Overcoming Glioblastoma: Advancements in Treatment and ResearchView all 11 articles
Wallerian Degeneration of the Corticospinal Tract Following Multimodal High-grade Glioma Treatment: A Case Series and Recommendations for Radiotherapy Planning
Provisionally accepted- 1Department of Radiation Oncology, Hospital Sirio Libanes, São Paulo, São Paulo, Brazil
- 2Federal University of Amazonas, Manaus, Amazonas, Brazil
- 3Universidade do Vale do Sapucaí, Pouso Alegre, Minas Gerais, Brazil
- 4Department of Radiology, Hospital Sirio Libanes, São Paulo, São Paulo, Brazil
- 5Department of Neuro-Oncology, Hospital Sirio Libanes, SAO PAULO, Brazil
- 6Department of Oncology, Hospital Sirio Libanes, São Paulo, São Paulo, Brazil
- 7Department of Radiation Oncology, University of Texas MD Anderson Cancer Center, Houston, Texas, United States
- 8Department of Radiation Oncology, Queen's University, Kingston, Ontario, Canada
- 9Department of Neurosurgery, Hospital Sirio Libanes, São Paulo, São Paulo, Brazil
Select one of your emails
You have multiple emails registered with Frontiers:
Notify me on publication
Please enter your email address:
If you already have an account, please login
You don't have a Frontiers account ? You can register here
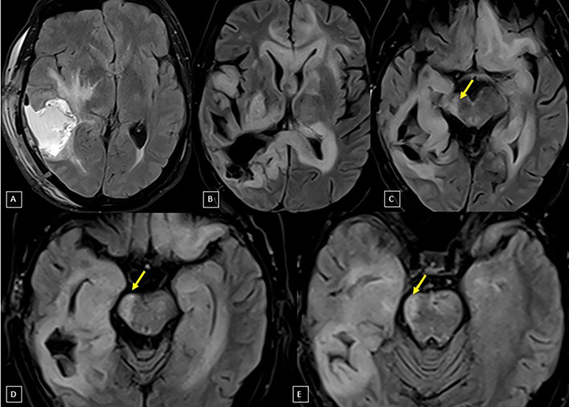
Introduction Wallerian Degeneration of the Corticospinal Tract (WDCT) is a scarcely reported complication of multimodal treatment for high-grade gliomas, which, despite its potential clinical impact, may lead to severe motor dysfunction and impair quality of life. Methodology This retrospective case series describes 13 adult patients with high-grade gliomas treated between 2018 and 2023 who developed imaging findings consistent with WDCT after receiving multimodal treatment. Clinical and radiological data were collected from medical records; a standardized imaging follow-up or functional scoring system was not applied. Tractography was retrospectively available for two cases, enabling its incorporation into radiotherapy planning system for CST precise delineation and corresponding dose estimation. Results WDCT was identified in 13 out of 192 high-grade glioma patients (6.8%). Diagnosis was based on T2/FLAIR hyperintensity along the ipsilateral CST with compatible clinical symptoms. Three cases developed WDCT after reirradiation, and seven (53.8%) had received bevacizumab prior to diagnosis: two during disease progression, two for the treatment of radionecrosis, and three as prophylaxis. Clinical symptomatology was detailed to 11 patients, 72.7% presented with hemiparesis, and 36.4% had seizures. In two cases, retrospective dose-volume analysis revealed CST mean doses ranging from 25.81 Gy to 42.83 Gy. Conclusions This retrospective series highlights WDCT as a potentially underrecognized complication in glioma patients undergoing multimodal treatment. While etiology is likely multifactorial, radiotherapy may play a contributing role. CST delineation, when tractography is available, may support individualized treatment planning, enable better assessment of dose exposure, and help identify patients at higher risk of motor decline. Further prospective studies are warranted to define dose thresholds and assess functional outcomes.
Keywords: high-grade glioma, corticospinal tract, Wallerian Degeneration, Radiotherapy, Motor dysfunction
Received: 02 Apr 2025; Accepted: 03 Oct 2025.
Copyright: © 2025 Santos, Rodrigues, Gibram, Brunelli, Campos, Mancini, Feher, Marta, Hanna, Chung, Moraes and Maldaun. This is an open-access article distributed under the terms of the Creative Commons Attribution License (CC BY). The use, distribution or reproduction in other forums is permitted, provided the original author(s) or licensor are credited and that the original publication in this journal is cited, in accordance with accepted academic practice. No use, distribution or reproduction is permitted which does not comply with these terms.
* Correspondence: Monica D'Alma Costa Santos, monicadalmacosta@gmail.com
Disclaimer: All claims expressed in this article are solely those of the authors and do not necessarily represent those of their affiliated organizations, or those of the publisher, the editors and the reviewers. Any product that may be evaluated in this article or claim that may be made by its manufacturer is not guaranteed or endorsed by the publisher.
