CASE REPORT article
Front. Oncol.
Sec. Genitourinary Oncology
Case report: Recognition and management of SMARCA4-deficient renal cell carcinoma
Provisionally accepted- 1Department of Urology, First Affiliated Hospital of Anhui Medical University, Hefei, China
- 2Anhui Medical University, Hefei, Anhui Province, China
- 3Department of Oncology, First Affiliated Hospital of Anhui Medical University, Hefei, Anhui Province, China
- 4Department of Pathology, First Affiliated Hospital of Anhui Medical University, Hefei, Anhui Province, China
Select one of your emails
You have multiple emails registered with Frontiers:
Notify me on publication
Please enter your email address:
If you already have an account, please login
You don't have a Frontiers account ? You can register here
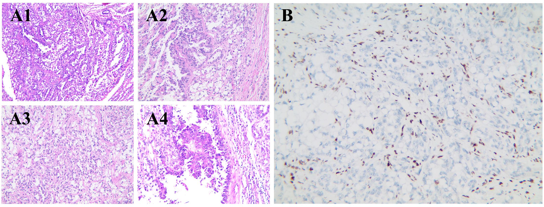
SMARCA4-deficient tumors represent a highly aggressive subtype of malignancy defined by the loss of SMARCA4 expression, and are associated with rapid progression and poor prognosis. We report the first documented case of SMARCA4-deficient renal cell carcinoma (RCC) in an adult (pT3aN1M1, Stage IV), characterized by sarcomatoid and rhabdomyoblastic differentiation, aggressive clinical behavior, and resistance to standard systemic therapies. This case provides a comprehensive analysis of clinical, pathological, imaging, and genetic findings, offering insights to refine diagnostic, therapeutic, and preventive strategies for this rare malignancy.
Keywords: SMARCA4-deficient tumor, Renal cell carcinoma, Sarcomatoid differentiation, Rhabdomyoblastic differentiation, germline mutation
Received: 19 Apr 2025; Accepted: 30 Oct 2025.
Copyright: © 2025 Wang, Yin, Xu, Tai, Cheng, Chang, Fu and Zhou. This is an open-access article distributed under the terms of the Creative Commons Attribution License (CC BY). The use, distribution or reproduction in other forums is permitted, provided the original author(s) or licensor are credited and that the original publication in this journal is cited, in accordance with accepted academic practice. No use, distribution or reproduction is permitted which does not comply with these terms.
* Correspondence:
Yao Fu, yao_fu@aliyun.com
Jun Zhou, urodoctorzhou@163.com
Disclaimer: All claims expressed in this article are solely those of the authors and do not necessarily represent those of their affiliated organizations, or those of the publisher, the editors and the reviewers. Any product that may be evaluated in this article or claim that may be made by its manufacturer is not guaranteed or endorsed by the publisher.
