CASE REPORT article
Front. Oncol.
Sec. Surgical Oncology
A case report and literature review: gastric cancer with Krukenberg tumor in a patient with situs inversus totalis
Provisionally accepted- Departmentof General Surgery, Ruijin Hospital Lu Wan Branch, Shanghai Jiaotong University School of Medicine, Shanghai, China
Select one of your emails
You have multiple emails registered with Frontiers:
Notify me on publication
Please enter your email address:
If you already have an account, please login
You don't have a Frontiers account ? You can register here
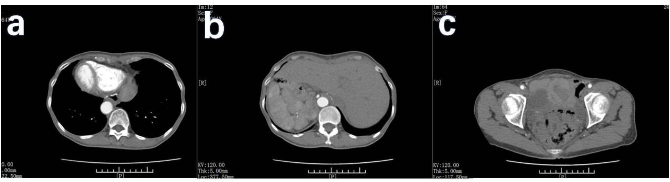
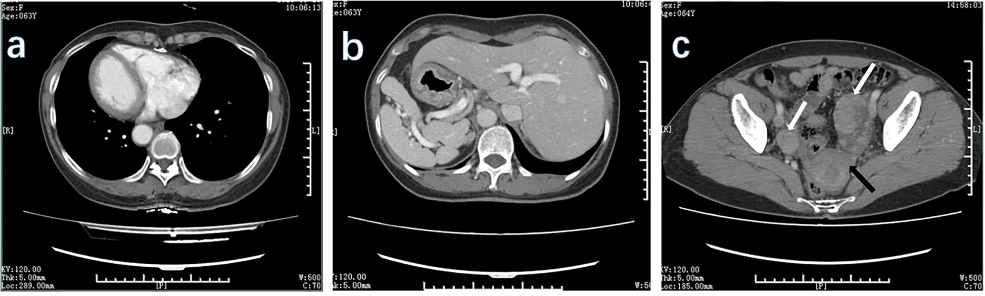
The primary modes of metastasis of gastric cancer are through the bloodstream and lymph nodes. However, in cases such as the Krukenberg tumor (KT), gastric cancer cells can spread to organs within the abdominal cavity and develop implantation metastases. This report describes the treatment process for a patient with situs inversus totalis (SIT), gastric cancer, and a KT. A 63-year-old woman with SIT presented with abnormal vaginal bleeding and was diagnosed with gastric cancer with KT. After careful evaluation, the patient underwent total gastrectomy (Roux-en-Y esophagojejunostomy, antecolic, and D2 lymph node dissection), total hysterectomy plus double adnexectomy, and appendectomy. Considering the patient's SIT, we devised a modified surgical strategy. The surgery was successful. Postoperative adjuvant chemotherapy was administered, and her current evaluation indicated stable disease. Although gastric cancer complicated by KT is rare, it occurs in some cases. Surgical treatment should be considered if both the primary and secondary lesions can be radically resected and supplemented with systemic chemotherapy. For patients with SIT, the surgical approach should be appropriately adjusted with careful preoperative evaluation to ensure procedural safety.
Keywords: gastric cancer, Krukenberg Tumor, Situs inversus totalis, case report, literature review
Received: 20 Apr 2025; Accepted: 29 Oct 2025.
Copyright: © 2025 Jin, Shen, Zhou, Shen and Yuan. This is an open-access article distributed under the terms of the Creative Commons Attribution License (CC BY). The use, distribution or reproduction in other forums is permitted, provided the original author(s) or licensor are credited and that the original publication in this journal is cited, in accordance with accepted academic practice. No use, distribution or reproduction is permitted which does not comply with these terms.
* Correspondence: Jianming Yuan, 18917866321@163.com
Disclaimer: All claims expressed in this article are solely those of the authors and do not necessarily represent those of their affiliated organizations, or those of the publisher, the editors and the reviewers. Any product that may be evaluated in this article or claim that may be made by its manufacturer is not guaranteed or endorsed by the publisher.
