CASE REPORT article
Front. Oncol.
Sec. Genitourinary Oncology
Synchronous Angiomyolipoma with Epithelial Cysts and Clear Cell Renal Cell Carcinoma: A Case Report
Provisionally accepted- 1Qinghai University, Xining, Qinghai Province, China
- 2Affiliated Hospital of Qinghai University, Xining, Qinghai Province, China
- 3Meishan People's Hospital, Meishan, China
Select one of your emails
You have multiple emails registered with Frontiers:
Notify me on publication
Please enter your email address:
If you already have an account, please login
You don't have a Frontiers account ? You can register here
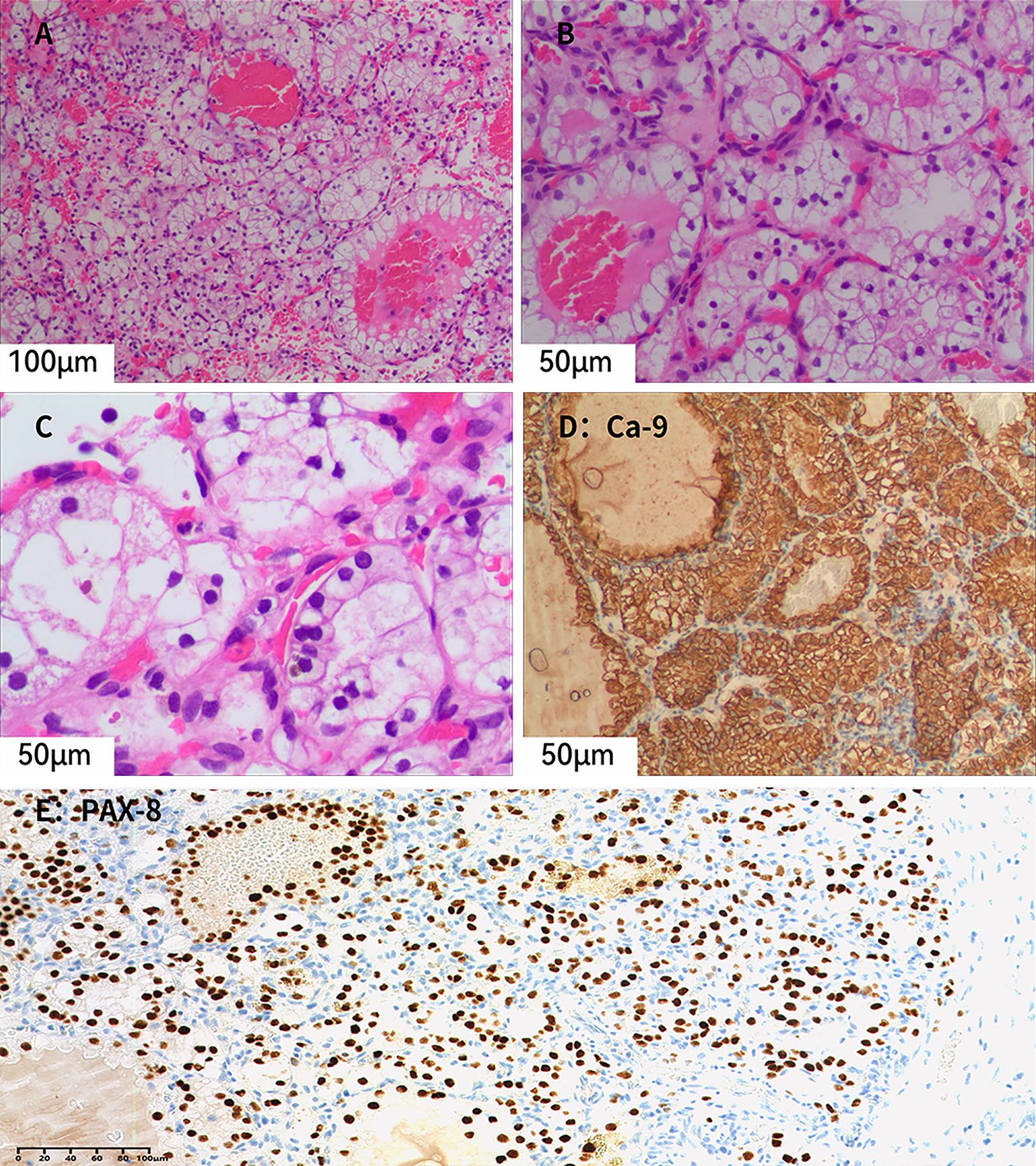
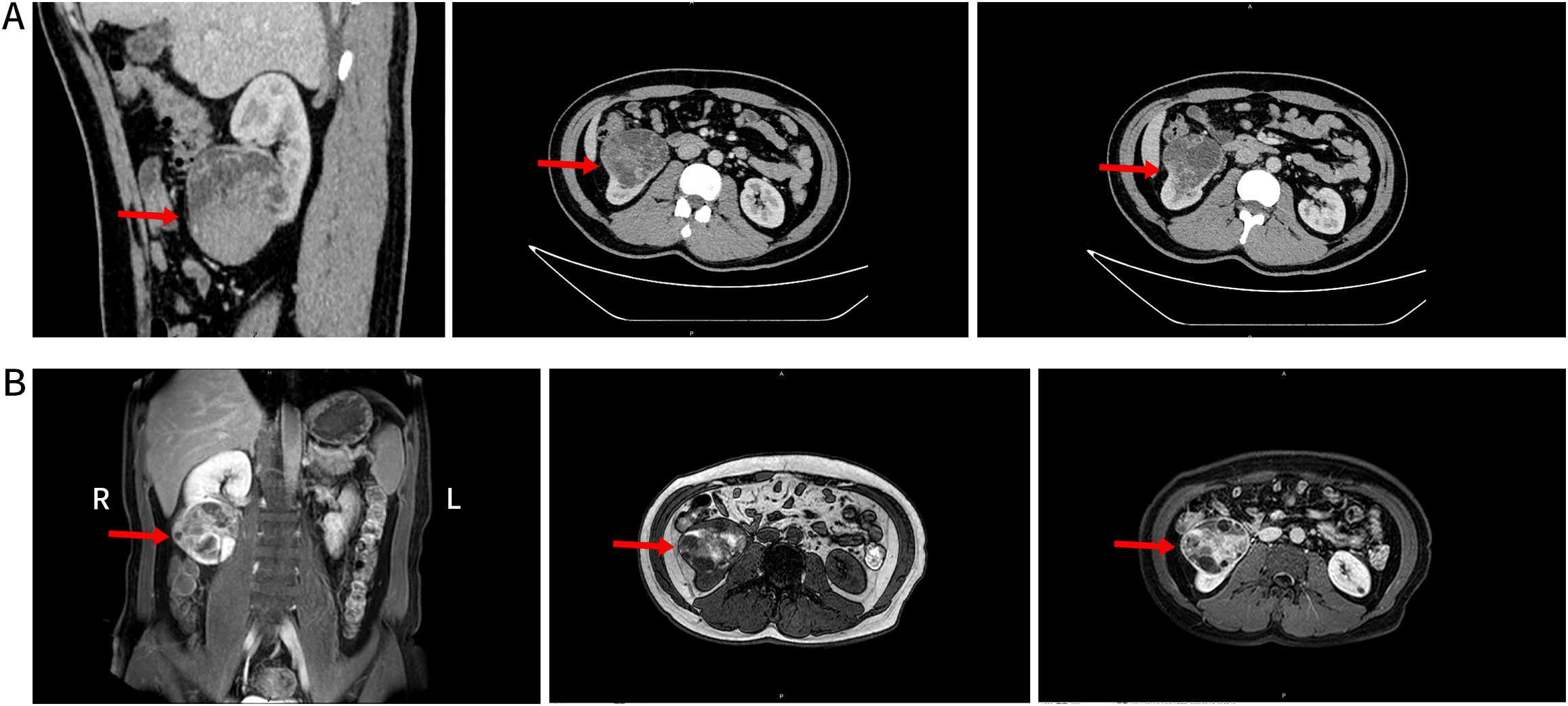
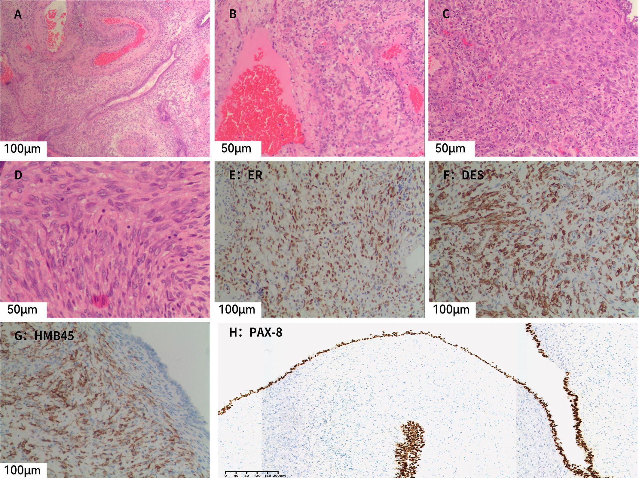
Background: Angiomyolipoma with Epithelial Cysts (AMLEC) is a rare renal tumor that has been established as a separate pathological entity in recent years. Existing literature has focused on its histological origin, molecular features, and imaging characteristics. To our knowledge, this is the first reported case of AMLEC coexisting with clear cell renal cell carcinoma (ccRCC). Case presentation: A 37-year-old male presented with lumbar pain and persistent gross hematuria. Imaging revealed tumor rupture with hemorrhage, initially suggestive of cystic renal cell carcinoma. However, postoperative pathology and immunohistochemistry confirmed a diagnosis of AMLEC combined with ccRCC. Conclusion: AMLEC is a rare subtype of angiomyolipoma (AML) that typically lacks adipose tissue, with an epithelial component likely derived from dilated renal tubules. Its unique histological features and immunohistochemical staining are key to pathological diagnosis. This report also reviews prior cases of AMLEC and synchronous renal tumors, offering a valuable reference for clinical diagnosis and management.
Keywords: Angiomyolipoma with epithelial cysts, Clear cell renal cell carcinoma, Angiomyolipoma, Epithelial cysts, Cystic renal cell carcinoma, Renal synchronous tumors
Received: 25 Apr 2025; Accepted: 25 Nov 2025.
Copyright: © 2025 Wang, Ren, Qiang, Li, Ren, Chen, Gong and Zhang. This is an open-access article distributed under the terms of the Creative Commons Attribution License (CC BY). The use, distribution or reproduction in other forums is permitted, provided the original author(s) or licensor are credited and that the original publication in this journal is cited, in accordance with accepted academic practice. No use, distribution or reproduction is permitted which does not comply with these terms.
* Correspondence: Chengde Ren
Disclaimer: All claims expressed in this article are solely those of the authors and do not necessarily represent those of their affiliated organizations, or those of the publisher, the editors and the reviewers. Any product that may be evaluated in this article or claim that may be made by its manufacturer is not guaranteed or endorsed by the publisher.
