ORIGINAL RESEARCH article
Front. Oncol.
Sec. Neuro-Oncology and Neurosurgical Oncology
This article is part of the Research TopicAdvances in Understanding and Managing Skull Base PathologiesView all 3 articles
Multicenter Evaluation of Preoperative and Standalone Embolization in Meningiomas
Provisionally accepted- 1Huadong Hospital, Fudan University, Shanghai, China
- 2Changhai Hospital, Shanghai, China
Select one of your emails
You have multiple emails registered with Frontiers:
Notify me on publication
Please enter your email address:
If you already have an account, please login
You don't have a Frontiers account ? You can register here
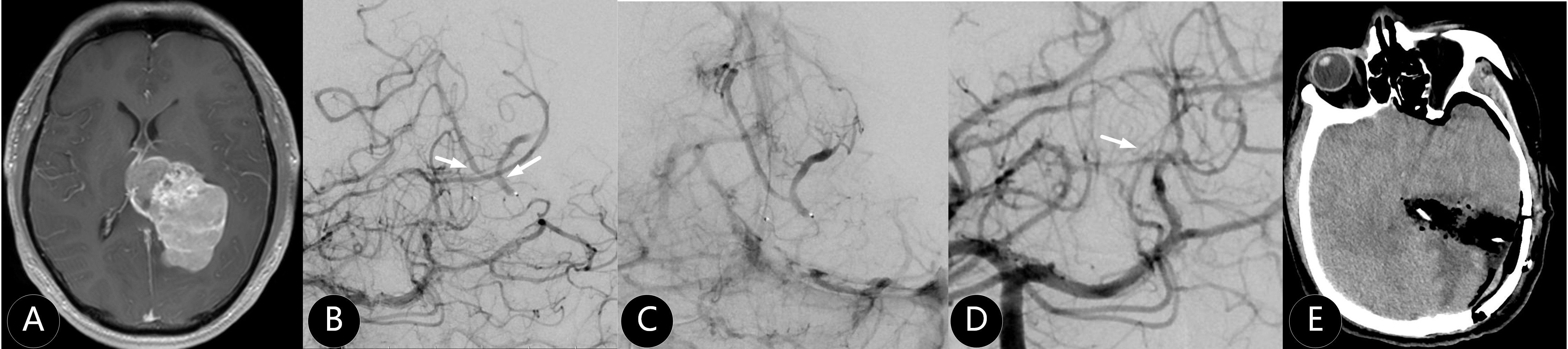
Background Preoperative embolization has been proposed to reduce intraoperative blood loss and facilitate meningioma resection, however its clinical utility remains debated. This multicenter study evaluated the safety, efficacy, and angiographic outcomes of preoperative embolization and standalone embolization in intracranial meningiomas. Methods In this retrospective cohort from January 2017 to January 2022, patients were stratified into three groups: standalone embolization (SE), combined preoperative embolization and craniotomy (hybrid surgery, HS), and craniotomy alone (control). Tumor characteristics, procedural metrics, and clinical outcomes were compared. Results: Compared to control group, the HS group exhibited significantly larger tumors (68.8±10.6 cm³ vs 35.7±11.3 cm³, P<0.001) but achieved reduced intraoperative blood loss (9.8±2.3 mL/cm³ vs 19.2±6.5 mL/cm³, P<0.001) and higher gross total resection rates (70.1% vs 46.2%; P=0.025). Compared to HS group, the SE cohort had smaller tumor volume (24.7 ± 5.2 cm³ vs 68.8 ± 10.6 cm³; P<0.001), better baseline neurological function score (median mRS 0 vs 1; P<0.001), and showed higher total devascularization rate (56.3% vs 25.4%; P=0.008) after embolization procedure. Tumors in SE group were supplied exclusively by the external carotid artery (ECA). At a median 24-month follow-up, recurrence rates and neurological change were no different across groups. Conclusion Hybrid surgery optimized surgical resection for large meningiomas by reducing blood loss and improving resection completeness, while standalone embolization demonstrated feasibility for select small tumors with ECA. Both two strategies showed acceptable safety and effectiveness.
Keywords: Intracranial meningioma, Preoperative embolization, Hybrid surgery, Standalone embolization, Angiographic devascularization, Multicenter retrospective cohort
Received: 11 May 2025; Accepted: 04 Nov 2025.
Copyright: © 2025 Yu, Huang, Shen, Li, Xu, Xu, Li and Dai. This is an open-access article distributed under the terms of the Creative Commons Attribution License (CC BY). The use, distribution or reproduction in other forums is permitted, provided the original author(s) or licensor are credited and that the original publication in this journal is cited, in accordance with accepted academic practice. No use, distribution or reproduction is permitted which does not comply with these terms.
* Correspondence: Dongwei Dai, hdstroke@126.com
Disclaimer: All claims expressed in this article are solely those of the authors and do not necessarily represent those of their affiliated organizations, or those of the publisher, the editors and the reviewers. Any product that may be evaluated in this article or claim that may be made by its manufacturer is not guaranteed or endorsed by the publisher.
