ORIGINAL RESEARCH article
Front. Oncol.
Sec. Cancer Imaging and Image-directed Interventions
This article is part of the Research TopicThe Contrast Enhanced Ultrasound and Ultrasound Cavitation in the Diagnostic and Therapeutic Application of Solid TumorView all 3 articles
The nomogram of contrast‑enhanced ultrasound targeted fusion biopsy predicts the pathology upgrade in prostate cancer
Provisionally accepted- Jiashan First People's Hospital, Jiaxing, China
Select one of your emails
You have multiple emails registered with Frontiers:
Notify me on publication
Please enter your email address:
If you already have an account, please login
You don't have a Frontiers account ? You can register here
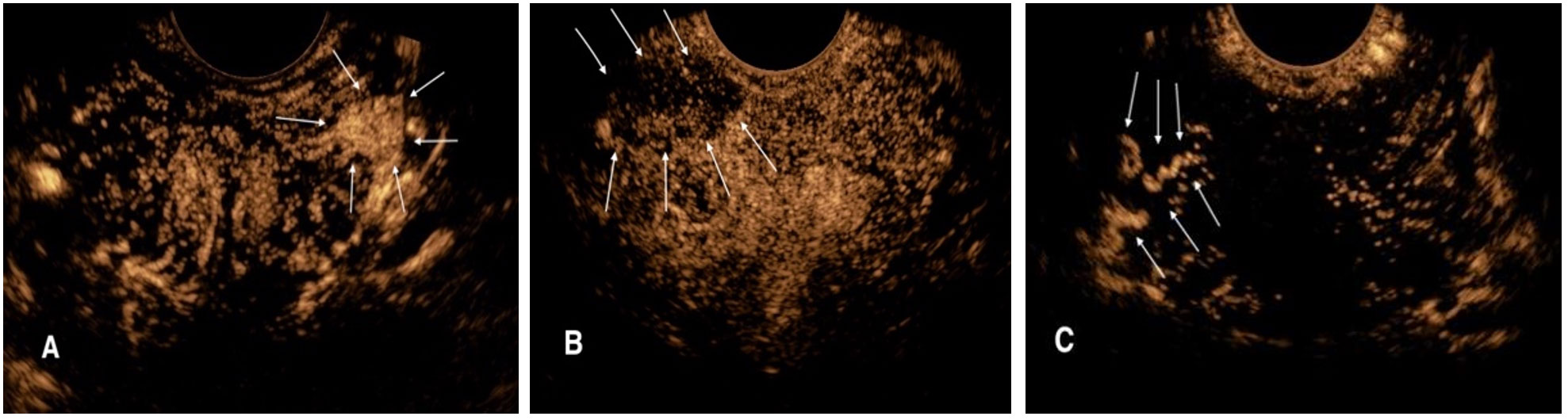
Aims: This study aimed to analyze the consistency between pathology of combined systematic and contrast-enhanced ultrasound (CEUS)-targeted prostate biopsy and radical prostatectomy (RP) by building a nomogram to predict the pathology upgrade of Gleason grade group (GGG). Methods: A total of 113 prostate cancer participants with combined systematic and CEUS-targeted prostate biopsy followed by RP were recruited between January 2021 to November 2024. The Kappa coefficient of pre-and post-RP GGG was calculated. The independent predictors for pathology upgrade were screened using logistic regression, and then applied to build a nomogram for pathology upgrade prediction. The performance of nomogram was assessed by receiver operating characteristic analysis, calibration curve and decision curve analysis. Result: Among 113 participants, 25 (22.1%) Gleason grade group upgrading (GGGU) and 88 (77.9%) non-GGGU were found. Moderate consistency of prostate cancer GGG between combined systematic and CEUS-targeted prostate biopsy and final RP pathology was found (Kappa = 0.46, P < 0.01). The primary biopsy GGG (OR = 0.18, P = 0.01) and greatest percentage of cancer in a single core (OR = 1.04, P < 0.01) were independent predictors for post-RP GGGU. The area under the curve of the established nomogram reached 0.83, and calibration curve showed a robust result. Conclusion: The nomogram integrating CEUS-targeted fusion biopsy variables effectively predicted the risk of pathology upgrade in prostate cancer, which held promising potential to guide clinicians in optimizing the surgical management in prostate cancer patients.
Keywords: prostate cancer, contrast enhanced ultrasound, Biopsy, Gleason Grade Group, Gleason grade group upgrading
Received: 21 May 2025; Accepted: 27 Oct 2025.
Copyright: © 2025 Cao, Feng, Zheng and Cao. This is an open-access article distributed under the terms of the Creative Commons Attribution License (CC BY). The use, distribution or reproduction in other forums is permitted, provided the original author(s) or licensor are credited and that the original publication in this journal is cited, in accordance with accepted academic practice. No use, distribution or reproduction is permitted which does not comply with these terms.
* Correspondence: Jianhui Cao, 364465029@qq.com
Disclaimer: All claims expressed in this article are solely those of the authors and do not necessarily represent those of their affiliated organizations, or those of the publisher, the editors and the reviewers. Any product that may be evaluated in this article or claim that may be made by its manufacturer is not guaranteed or endorsed by the publisher.
