- 1Department of General Surgery, The Thirteenth People’s Hospital of Chongqing (Chongqing Geriatrics Hospital), Chongqing, China
- 2Department of Pathology, The Thirteenth People’s Hospital of Chongqing (Chongqing Geriatrics Hospital), Chongqing, China
Background: Accessory breast carcinoma, arising from embryologically persistent mammary tissue, is exceptionally rare in males, accounting for 2.4%-5.3% of all accessory breast malignancies. Due to limited clinical data, standardized diagnostic and therapeutic protocols remain undefined.
Case presentation: A 72-year-old male presented with a 3-year history of a painless, mobile right axillary mass. Ultrasonography revealed a solid hypoechoic nodule with moderate vascularity. Histopathological examination confirmed invasive ductal carcinoma (grade II) with infiltrative growth, ER/PR/AR positivity (90%), and TRPS1 expression, confirming mammary origin. Adjuvant therapies were declined by the patient.
Discussion: Differential diagnoses for axillary masses include fibroadenoma, lymphadenopathy, and cutaneous adnexal tumors. Immunohistochemistry (TRPS1, GATA-3) and histomorphology (absence of apocrine differentiation) are pivotal for distinguishing accessory breast carcinoma from mimics. Current management aligns with male breast cancer guidelines, emphasizing surgical resection, lymph node dissection, and adjuvant therapies tailored to molecular profiles. Over 90% of male breast cancers are hormone receptor-positive, warranting endocrine therapy.
Conclusion: Male accessory breast carcinoma poses significant diagnostic challenges due to its rarity and nonspecific presentation. Clinicians should consider this entity in differential diagnoses of axillary or inguinal masses, irrespective of patient sex. Core needle biopsy and advanced imaging aid preoperative evaluation. Multimodal treatment, including surgery and risk-stratified adjuvant therapies, is critical for optimizing outcomes. This case underscores the need for heightened clinical suspicion and evidence-based guidelines to address this understudied malignancy.
1 Introduction
Accessory breast tissue originates from embryonic mammary ridges extending from the axillary to inguinal regions, resulting from incomplete regression during embryogenesis. Malignant transformation occurs in the epithelial tissue of accessory breasts is classified as accessory breast carcinoma. The overall incidence of accessory breast carcinoma is about 0.3%-0.6% (1), with males accounting for only 2.4%-5.3% of these cases (2). Due to the scarcity of documented cases, the management of male accessory breast carcinoma remains nonstandardized, complicating the formulation of evidence-based diagnostic and therapeutic protocols. Here we present a case of male axillary accessory breast carcinoma. Given its exceptional rarity, we herein describe the diagnostic challenges, therapeutic approach, and clinicopathological characteristics to augment the limited clinical experience with this entity.
2 Case presentation
A 72-year-old male presented to our clinic with a right axillary mass that had been present for three years. The patient first noticed the mass approximately three years ago, when it measured approximately 0.8×0.5 cm. At that time, the mass was painless and not associated with any redness, swelling, ulceration, or other discomfort. Physical examination at initial discovery showed no changes in the skin or contour of either breast, no nipple discharge or bleeding, and no swelling or pain in the right upper limb or neck region.
Over the following three years, although the patient reported no particular discomfort, he noticed gradual enlargement of the mass. During the most recent 1–2 years, the mass grew to approximately 1.5×0.8 cm, became raised above the skin surface, and developed tenderness when pressed, though it remained without spontaneous pain, local redness, congestion, or ulceration. Repeated examinations confirmed no changes in breast skin or contour, no nipple discharge or bleeding, and no swelling or pain in the right upper limb or neck region.
On current physical examination, we identified a well-circumscribed, smooth-surfaced, mobile mass (2.5×1×1 cm) elevated above the skin in the right axilla. The lesion showed no ulceration, vesicle formation, erythema, edema, or peau d’orange sign. No vascular bruits were auscultated. Examination of both breasts revealed no abnormalities. Ultrasonography demonstrated a solid hypoechoic mass (29.3 mm × 13.7 mm × 16.2 mm) located 9 mm beneath the epidermal surface in the right axilla. The lesion exhibited well-defined margins, regular morphology, and heterogeneous internal echogenicity. Color Doppler flow imaging (CDFI) revealed moderately abundant intralesional vascularity (Figures 1A, B). Preoperative abdominal ultrasonography and chest radiography revealed no detectable abnormalities.

Figure 1. (A, B) demonstrate ultrasonographic findings of a solid hypoechoic nodule in the right axilla.
The patient’s medical history was notable for long-term tobacco use (15 years, averaging 10 cigarettes per day) and regular alcohol consumption (10 years, averaging 100 mL per day). No other significant medical history or family history of malignancy was reported.
The patient underwent transaxillary subcutaneous mass excision under local anesthesia. The mass was completely excised. Intraoperative findings revealed a 2.5 cm × 1.0 cm × 1.0 cm cystic-solid mass with a tan-brown surface and a well-circumscribed capsule. Sectioning of the mass demonstrated a cystic component containing colorless, transparent gelatinous fluid, while the solid component exhibited moderate consistency.
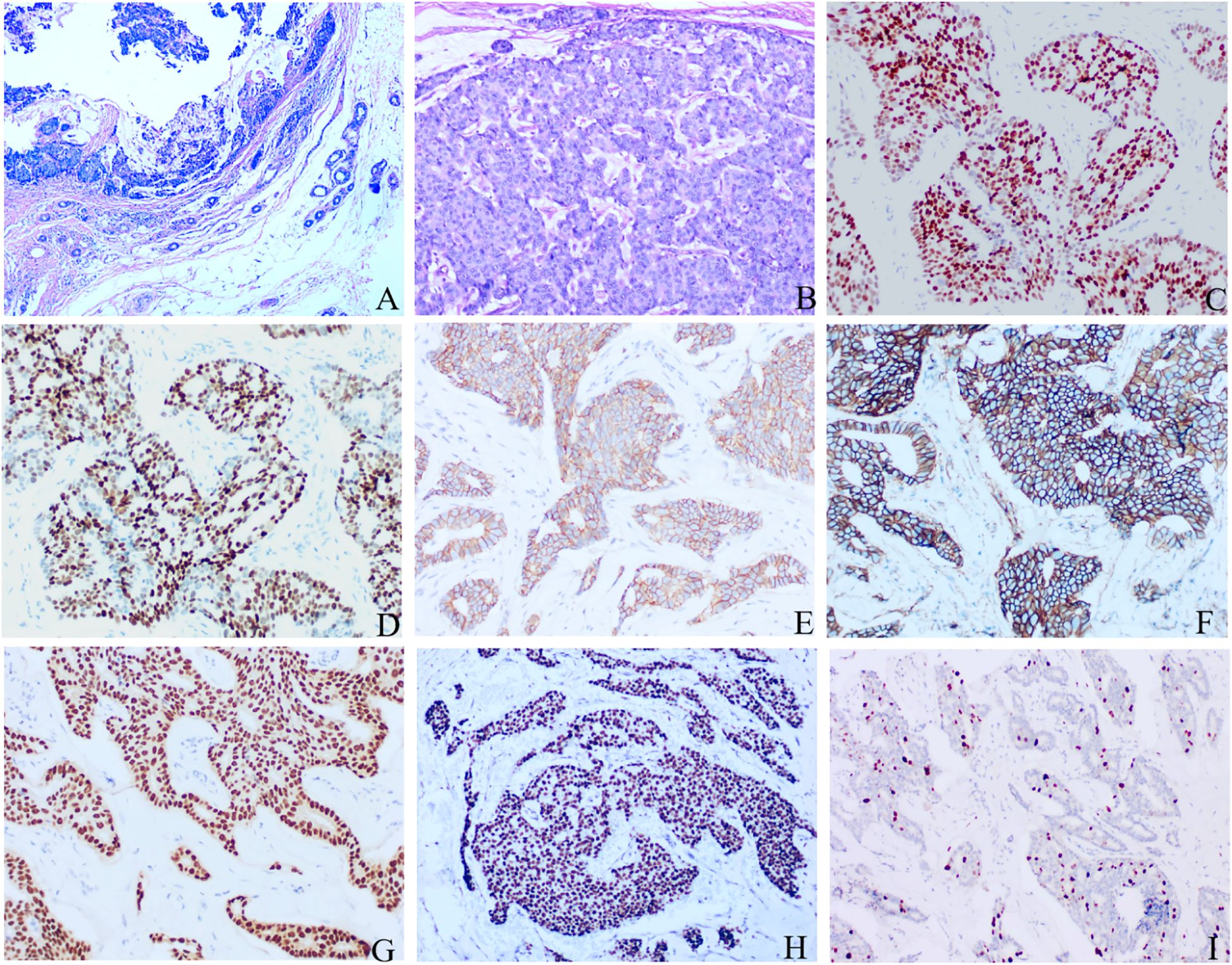
Histopathological examination revealed a tumor involved the subcutaneous tissue, without a definitive capsule or lymphoid stroma, with infiltrative growth patterns adjacent to cutaneous adnexal eccrine glands (Figure 2A). Neoplastic cells were arranged in tubular and solid sheet patterns, demonstrating moderate cytological atypia characterized by eosinophilic cytoplasm, conspicuous nucleoli, and absence of apocrine snouts. The mitotic count was approximately 10 per 2 mm² (Figure 2B). Morphological features were consistent with mammary-origin invasive ductal carcinoma. The resection margins were negative and without lymphovascular invasion.

Figure 2. Histopathological and Immunohistochemical of Male Breast Carcinoma (A) The tumor is situated within the subcutaneous tissue, unencapsulated, demonstrating infiltrative growth adjacent to cutaneous adnexal eccrine glands. (B) Neoplastic cells exhibit solid sheet-like proliferation with uniform cellular size, conspicuous nucleoli, and a mitotic count of 10 per 2 mm². Immunohistochemical Profile: ER (strong nuclear +, 90%) (C), PR (strong nuclear +, 80%) (D), E-cad (+) (E), P120 (membrane +) (F), GATA-3(+) (G), TRPS1(+) (H), Ki-67 (10%+) (I).
Immunohistochemistry: CK-Pan (+), CK7 (+), ER (strong nuclear positivity, 90%; Figure 2C), PR (strong nuclear positivity, 90%; Figure 2D), AR (moderate-to-strong nuclear positivity, 90%), E-cad (+; Figure 2E), P120 (membranous +; Figure 2F), GATA-3 (+; Figure 2G), TRPS1 (+; Figure 2H). CK5/6 (−), HER2 (0), P53 (−), CD117 (−), P63 (−), neuroendocrine markers CD56 (−), Syn (−), CgA (−), INSM1 (−). Ki-67 (10% +; Figure 2I).
Diagnosis: Invasive ductal carcinoma, not otherwise specified, grade II, right axilla.
Subsequent Therapeutic Interventions.
Based on the histopathological findings, the multidisciplinary tumor board recommended guideline-directed care comprising: I, systemic staging via breast and axillary Magnetic Resonance Imaging (MRI), thoracic/abdominal Computed Tomography (CT) scan; II, additional comprehensive axillary lymph node dissection; III, adjuvant chemotherapy combined with endocrine therapy based on hormone receptor status. The patient declined the recommended interventions. Sutures were removed on postoperative day 10, with the incision achieving Grade I/A healing. At the 11-month follow-up, the right axillary surgical site exhibited optimal wound healing without evidence of palpable lymphadenopathy.
3 Discussion
The common risk factors for male breast cancer include: ① age, specifically males aged 60 years and above; ② endocrine factors such as elevated estrogen levels and testicular diseases; ③ obesity and physical inactivity; ④ genetic predisposition in first-degree relatives; and ⑤ radiation exposure.In the current follow-up, the patient was found to have adverse lifestyle habits characterized by a long-term history of tobacco and alcohol use (smoking 10 cigarettes per day for 15 years, and consuming 100 ml of alcohol per day for 10 years). Long-term tobacco and alcohol use is a high-risk factor for tumors. Previous studies have demonstrated that smoking and alcohol consumption increase the risk of breast cancer in females (3, 4); however, there is a lack of research on the correlation with male accessory breast cancer. The report of this case serves as a reminder in this regard.
Accessory breast tissue may occur at diverse anatomical sites, most frequently in the axillary region (approximately 70% of cases), followed by the chest wall, abdominal wall, and inguinal regions (1, 5). The incidence of accessory breast tissue in males is exceedingly low, and clinicians may not readily consider accessory breast pathologies during initial evaluation. This case underscores the necessity of including accessory breast carcinoma in the differential diagnosis when evaluating superficial masses in the axilla, chest wall, abdominal wall, or inguinal regions, even when clinical suspicion is low.
The predominant histological subtype of accessory breast carcinoma is invasive ductal carcinoma, accounting for 70%–90% of reported cases (6, 7). This malignancy is clinically insidious, posing significant diagnostic challenges in early stages. Initial clinical manifestations typically involve painless masses in the axillary or inguinal regions, while ancillary symptoms such as localized swelling, mastalgia, or nipple discharge are less frequently reported (8, 9). The clinical presentation in our reported case aligns with this phenotypic pattern.
The following entities constitute critical differential diagnoses requiring comprehensive evaluation (10–15): ① Accessory breast tissue-related pathologies, (e.g., fibroadenomas, including juvenile gynecomastia in adolescent males); ② Sebaceous cysts; ③ Lipomas; ④ Benign or malignant neoplasms arising from cutaneous adnexal structures; ⑤ Lymphadenopathy, encompassing benign entities (e.g., lymphadenitis, reactive lymphoid hyperplasia, tuberculous lymphadenitis) and malignant conditions (e.g., lymphoma, metastatic carcinoma); ⑥ Hidradenitis suppurativa; ⑦ Castleman disease. (Table 1).
For axillary masses with postoperative pathological confirmation of breast carcinoma, the diagnostic workup must first exclude the following possibilities: ① Secondary metastatic carcinoma, particularly axillary lymph node metastases from primary adenocarcinomas of the breast, gastrointestinal tract, prostate, or lung that may mimic subcutaneous axillary masses; ② For pathological diagnosis, the pathological type should support that the heteromorphic cells originate from the mammary glands. Since the mammary glands, sebaceous glands, and sweat glands all originate from the same stem cells, during the diagnostic process, immunohistochemical auxiliary diagnosis should be employed to ensure the accuracy of the diagnosis.
The histological features of this case necessitate primary differentiation from apocrine carcinoma, a rare malignancy predominantly localized to the axillary region. Apocrine carcinoma typically manifests as solitary or multiple slow-growing nodules or plaques with erythematous to violaceous surfaces, occasionally demonstrating ulceration. Histopathologically, it is characterized by glandular, ductal, papillary, or solid growth patterns predominantly involving the deep dermis and subcutaneous adipose tissue. Tumor cells exhibit abundant eosinophilic cytoplasm with definitive apocrine secretion. The nuclei are round to oval, vesicular, and exhibit a single prominent nucleolus (16, 17).
In contrast, the present case demonstrated tubular and solid growth architectures without papillary or ductopapillary structures. Neoplastic cells displayed moderate eosinophilic cytoplasm devoid of apocrine differentiation, a critical morphological distinction. Immunohistochemically, both entities share overlapping profiles (AE1/AE3, ER/PR/AR, GATA3), limiting their discriminative utility. However, TRPS1—a highly sensitive and specific biomarker for mammary-origin malignancies (18)—exhibited strong positivity in this case, further supporting the diagnosis of accessory breast carcinoma. In summary, histomorphology characteristics, particularly the presence or absence of apocrine differentiation, constitute pivotal diagnostic discriminators between these entities.
The current case was diagnosed as invasive ductal carcinoma. To better understand the pathological features of invasive breast cancer, we also reviewed and compared it with non-invasive carcinoma. The fundamental pathological distinction between invasive and non-invasive carcinoma lies in the integrity of the basement membrane. In non-invasive ductal carcinoma, tumor cells are confined within the ducts without breaching the basement membrane, while in invasive carcinoma, tumor cells penetrate the basement membrane and infiltrate into the stroma or surrounding tissues. Non-invasive carcinomas include ductal carcinoma in situ (DCIS), where tumor cells remain within the ductal basement membrane, and lobular carcinoma in situ (LCIS), where tumor cells do not breach the basement membrane of terminal ducts or acini. Currently, DCIS is primarily graded based on nuclear features (19) (Table 2). LCIS represents an important special lesion that requires differentiation from DCIS. LCIS cells demonstrate poor adhesion and distend ≥50% of acini in the terminal duct-lobular unit, and can be classified as classic, florid, or pleomorphic types. When involving <50% of acini, it is diagnosed as atypical lobular hyperplasia (ALH). Immunohistochemically, LCIS typically shows loss of E-cadherin membranous staining or other abnormal expression patterns, strong diffuse cytoplasmic staining of p120 and β-catenin, and loss of β-catenin membranous staining. The differential diagnosis between LCIS and DCIS should integrate both histomorphology and immunohistochemical markers. Classic and florid LCIS usually show diffuse and homogeneous ER positivity with low Ki-67 index, while the pleomorphic subtype is often ER-negative but may express androgen receptor (AR). HER2 overexpression and gene amplification can also occur, with approximately 10% of pleomorphic LCIS cases being triple-negative (20–22).
Given the limited clinical experience among practitioners, initial diagnostic evaluations are typically restricted to conventional imaging modalities such as Doppler ultrasonography. Advanced modalities including CT, MRI, and positron emission tomography - computed tomography (PET-CT), while diagnostically valuable, are reserved for selective use in clinical practice due to cost and accessibility constraints. For cases with high clinical suspicion of accessory breast carcinoma, image-guided core needle biopsy may be considered (23, 24).
In cases where malignancy demonstrates low clinical suspicion, local excision is usually performed during the index procedure, leading to a definitive diagnosis of accessory breast carcinoma established only after comprehensive postoperative histopathological evaluation. Due to limited evidence, the prognostic implications of this conservative surgical approach remain inconclusive.
Currently, no established therapeutic consensus exists for male accessory breast carcinoma, and clinical management primarily aligns with protocols for male breast cancer (25, 26). Treatment strategies should be tailored according to tumor stage and molecular subtype. Notably, limited evidence supports the routine use of neoadjuvant therapy in male breast cancer, with controversial indications largely extrapolated from female breast cancer guidelines (25). Consequently, neoadjuvant therapy is not recommended as first-line intervention for male accessory breast carcinoma. Surgical resection, including wide local excision with lymph node dissection, remains the cornerstone of definitive management. The performance of a mastectomy depends on anatomical proximity. Modified radical mastectomy should be considered when the lesion is contiguous with native breast tissue. Conversely, preservation of native breast parenchyma is advised if the accessory breast constitutes a separate anatomical entity, as prophylactic mastectomy offers no oncologic benefit. Postoperative adjuvant therapies—including chemotherapy, radiotherapy, endocrine therapy, and targeted therapies—should be individualized based on clinicopathological risk stratification (19, 20). Over 90% of male breast cancers are hormone receptor-positive. Current international guidelines recommend a 5-year tamoxifen regimen, with extended adjuvant therapy (additional 5 years) reserved for high-risk patients demonstrating adequate tolerance (26).
Therefore, if the patient agrees to further treatment, given that this case is ER/PR-positive, HER2-negative, and has a Ki-67 ≤20%—consistent with Luminal A breast cancer—the tumor is likely highly sensitive to endocrine therapy but generally less responsive to chemotherapy. We recommend completing 5 years of tamoxifen therapy. Although some studies have explored neoadjuvant chemotherapy (NAC) in male breast cancer (27), the evidence remains limited, and clinical practice largely extrapolates from female breast cancer data, which remains controversial. Notably, studies report that pathologic complete response (pCR) rates in men are consistently lower than in women, particularly in hormone receptor-positive subtypes (28). Currently, there is insufficient high-quality evidence to guide chemotherapy decisions for male breast cancer patients. Based on available clinical data, TC (docetaxel + cyclophosphamide) or AC (doxorubicin + cyclophosphamide) regimens may be considered for this patient if chemotherapy is pursued.
4 Conclusion
Male accessory breast carcinoma is extremely rare, exhibits relatively high malignancy, and has a low 5-year survival rate. Preoperative diagnosis remains one of the most significant challenges. Clinically, when encountering masses in the axillary or inguinal regions, the possibility of accessory breast carcinoma should not be easily excluded regardless of the patient’s sex. Preoperative evaluations should include necessary examinations, and core needle biopsy is a practical diagnostic approach for suspicious lesions. Surgical intervention primarily involves local excision combined with axillary lymph node dissection. Postoperative adjuvant therapies, including chemotherapy, radiotherapy, endocrine therapy, and targeted therapy, should be administered based on individualized assessments.
Data availability statement
The original contributions presented in the study are included in the article/supplementary material. Further inquiries can be directed to the corresponding authors.
Ethics statement
The studies involving humans were approved by Ethics Committee of the Thirteenth People’s Hospital of Chongqing. The studies were conducted in accordance with the local legislation and institutional requirements. The participants provided their written informed consent to participate in this study. Written informed consent was obtained from the individuals for the publication of any potentially identifiable images or data included in this article.
Author contributions
CL: Writing – original draft. SW: Writing – original draft, Writing – review & editing. SZ: Writing – review & editing, Supervision. YZ: Writing – original draft.
Funding
The author(s) declare financial support was received for the research and/or publication of this article. This study was sponsored by the Natural Science Foundation of Chongqing, China (CSTB2024NSCQ-MSX0190) (Song Zhao) and the Project of Young and Middle-aged High-level Medical Professionals of Chongqing (YXGD202455) (Song Zhao).
Conflict of interest
The authors declare that the research was conducted in the absence of any commercial or financial relationships that could be construed as a potential conflict of interest.
Generative AI statement
The authors declare that no Generative AI was used in the creation of this manuscript.
Any alternative text (alt text) provided alongside figures in this article has been generated by Frontiers with the support of artificial intelligence and reasonable efforts have been made to ensure accuracy, including review by the authors wherever possible. If you identify any issues, please contact us.
Publisher’s note
All claims expressed in this article are solely those of the authors and do not necessarily represent those of their affiliated organizations, or those of the publisher, the editors and the reviewers. Any product that may be evaluated in this article, or claim that may be made by its manufacturer, is not guaranteed or endorsed by the publisher.
References
1. Pang L, Cui M, Dai W, Wu S, and Kong J. Diagnosis and treatment of Male accessory breast cancer: a comprehensive systematic review. Front Oncol. (2021) 11:640000. doi: 10.3389/fonc.2021.640000
2. Takahashi E, Terata K, Nanjo H, Ishiyama K, Hiroshima Y, Yamaguchi A, et al. A Male with primary accessory breast carcinoma in an axilla is strongly suspected of having hereditary breast cancer. Int Cancer Conf J. (2021) 10:107–11. doi: 10.1007/s13691-020-00466-8
3. Bagnardi V, Rota M, Botteri E, Tramacere I, Islami F, Fedirko V, et al. Alcohol consumption and site-specific cancer risk: a comprehensive dose-response meta-analysis. Br J Cancer. (2014) 112:580–93. doi: 10.1038/bjc.2014.579
4. Gaudet MM, Gapstur SM, Sun J, Diver WR, Hannan LM, and Thun MJ. Active smoking and breast cancer risk: original cohort data and meta-analysis. JNCI: J Natl Cancer Inst. (2013) 105:515–25. doi: 10.1093/jnci/djt023
5. Khan RN, Parvaiz MA, Khan AI, and Loya A. Invasive carcinoma in accessory axillary breast tissue: a case report. Int J Surg Case Rep. (2019) 59:152–5. doi: 10.1016/j.ijscr.2019.05.037
6. Zhang S, Yu Y-H, Qu W, Zhang Y, and Li J. Diagnosis and treatment of accessory breast cancer in 11 patients. Oncol Lett. (2015) 10:1783–8. doi: 10.3892/ol.2015.3388
7. Ionescu S, Nicolescu AC, Marincas M, Madge O-L, and Simion L. An update on the general features of breast cancer in Male patients-a literature review. Diagn (basel Switz). (2022) 12:1554. doi: 10.3390/diagnostics12071554
8. Bi M, Li D, Su Y, Sun P, and Gao Y. Male axillary accessory breast cancer: a case report. Med (Baltimore). (2020) 99:e19506. doi: 10.1097/MD.0000000000019506
9. Bi L, Li J, Shi Z, Zhu Z, and Lu Z. Male accessory breast cancer successfully treated with endocrine therapy: a case report. Oncol Lett. (2015) 10:2495–8. doi: 10.3892/ol.2015.3602
10. Yefter ET and Shibiru YA. Fibroadenoma in axillary accessory breast tissue: a case report. J Med Case Rep. (2022) 16:341. doi: 10.1186/s13256-022-03540-2
11. de Andrade JM, Marana HR, Sarmento Filho JM, Murta EF, Velludo MA, and Bighetti S. Differential diagnosis of axillary masses. Tumori. (1996) 82:596–9. doi: 10.1177/030089169608200617
12. Dialani V, James DF, and Slanetz PJ. A practical approach to imaging the axilla. Insights into Imaging. (2015) 6:217–29. doi: 10.1007/s13244-014-0367-8
13. Hoang VT, Trinh CT, Nguyen CH, Chansomphou V, Chansomphou V, and Tran TTT. Overview of epidermoid cyst. Eur J Radiol Open. (2019) 6:291–301. doi: 10.1016/j.ejro.2019.08.003
14. Kim HJ, Baek SO, Rha EY, Lee JY, and Han HH. Leiomyoma originating from axilla: a rare case report and differential diagnosis. Med (Baltimore). (2016) 95:e4402. doi: 10.1097/MD.0000000000004402
15. Park YM, Park J-S, Yoon HK, and Yang WT. Imaging-pathologic correlation of diseases in the axilla. AJR Am J Roentgenol. (2013) 200:W130–142. doi: 10.2214/AJR.12.9259
16. Vranic S and Gatalica Z. An update on the molecular and clinical characteristics of apocrine carcinoma of the breast. Clin Breast Cancer. (2022) 22:e576–85. doi: 10.1016/j.clbc.2021.12.009
17. Quinn CM, D’Arcy C, and Wells C. Apocrine lesions of the breast. Virchows Arch: Int J Pathol. (2022) 480:177–89. doi: 10.1007/s00428-021-03185-4
18. Lennartz M, Löhr N, Höflmayer D, Dwertmann Rico S, von Bargen C, Kind S, et al. TRPS1 is a highly sensitive marker for breast cancer: a tissue microarray study evaluating more than 19,000 tumors from 152 different tumor entities. Am J Surg Pathol. (2024) 48:637–51. doi: 10.1097/PAS.0000000000002213
19. Lari SA and Kuerer HM. Biological markers in DCIS and risk of breast recurrence: a systematic review. J Cancer. (2011) 2:232–61. doi: 10.7150/jca.2.232
20. Brogi E. The morphologic spectrum of lobular carcinoma in situ (LCIS) observations on clinical significance, management implications and diagnostic pitfalls of classic, florid and pleomorphic LCIS. Virchows Arch: Int J Pathol. (2022) 481:823–37. doi: 10.1007/s00428-022-03299-3
21. Sokolova A and Lakhani SR. Lobular carcinoma in situ: diagnostic criteria and molecular correlates. Mod Pathol: Off J U S Can Acad Pathol Inc. (2021) 34:8–14. doi: 10.1038/s41379-020-00689-3
22. Ginter PS and D’Alfonso TM. Current concepts in diagnosis, molecular features, and management of lobular carcinoma In situ of the breast with a discussion of morphologic variants. Arch Pathol Lab Med. (2017) 141:1668–78. doi: 10.5858/arpa.2016-0421-RA
23. Wang C-X, Guo S-L, and Han L-N. Successful treatment of accessory breast cancer with endocrine therapy. J Zhejiang Univ Sci B. (2017) 18:70–5. doi: 10.1631/jzus.B1600220
24. Huang C-G, Li M-Z, Wang S-H, Tang X-Q, Haybaeck J, and Yang Z-H. The application of fine needle aspiration biopsy in the diagnosis of axillary masses. Acta Cytol. (2021) 65:213–9. doi: 10.1159/000513149
25. Bhardwaj PV, Gupta S, Elyash A, and Teplinsky E. Male breast cancer: a review on diagnosis, treatment, and survivorship. Curr Oncol Rep. (2024) 26:34–45. doi: 10.1007/s11912-023-01489-z
26. Hassett MJ, Somerfield MR, Baker ER, Cardoso F, Kansal KJ, Kwait DC, et al. Management of Male breast cancer: ASCO guideline. J Clin Oncol: Off J Am Soc Clin Oncol. (2020) 38:1849–63. doi: 10.1200/JCO.19.03120
27. Gao W, An A, Yang L, and Wang Q. Neoadjuvant chemotherapy for Male breast cancer: a case report. Asian J Surg. (2024) 47:3730–1. doi: 10.1016/j.asjsur.2024.04.100
Keywords: accessory breast carcinoma, male breast cancer, axillary mass, TRPS1, immunohistochemistry
Citation: Luo C, Wu S, Zhao S and Zeng Y (2025) Male accessory breast carcinoma: a rare case report and literature review. Front. Oncol. 15:1635515. doi: 10.3389/fonc.2025.1635515
Received: 26 May 2025; Accepted: 25 August 2025;
Published: 05 September 2025.
Edited by:
Sant Prakash Kataria, Pt BD Sharma PGIMS, IndiaReviewed by:
Hasanain Jasim, College of Medicine Mustansiriyah University, IraqBhoowit Lerttiendamrong, Weiss Memorial Hospital, United States
Copyright © 2025 Luo, Wu, Zhao and Zeng. This is an open-access article distributed under the terms of the Creative Commons Attribution License (CC BY). The use, distribution or reproduction in other forums is permitted, provided the original author(s) and the copyright owner(s) are credited and that the original publication in this journal is cited, in accordance with accepted academic practice. No use, distribution or reproduction is permitted which does not comply with these terms.
*Correspondence: Song Zhao, emhhb3NvbmdfNzJAMTYzLmNvbQ==; Ying Zeng, MTgyMzIzMjY2QHFxLmNvbQ==