CASE REPORT article
Front. Oncol.
Sec. Head and Neck Cancer
Sebaceous Lymphadenocarcinoma Arising in Parotid Gland: Eighth Documented Case with Lymph Node Metastasis
Provisionally accepted- Liaocheng People's Hospital, Liaocheng, China
Select one of your emails
You have multiple emails registered with Frontiers:
Notify me on publication
Please enter your email address:
If you already have an account, please login
You don't have a Frontiers account ? You can register here
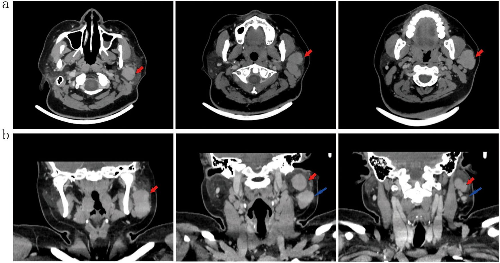
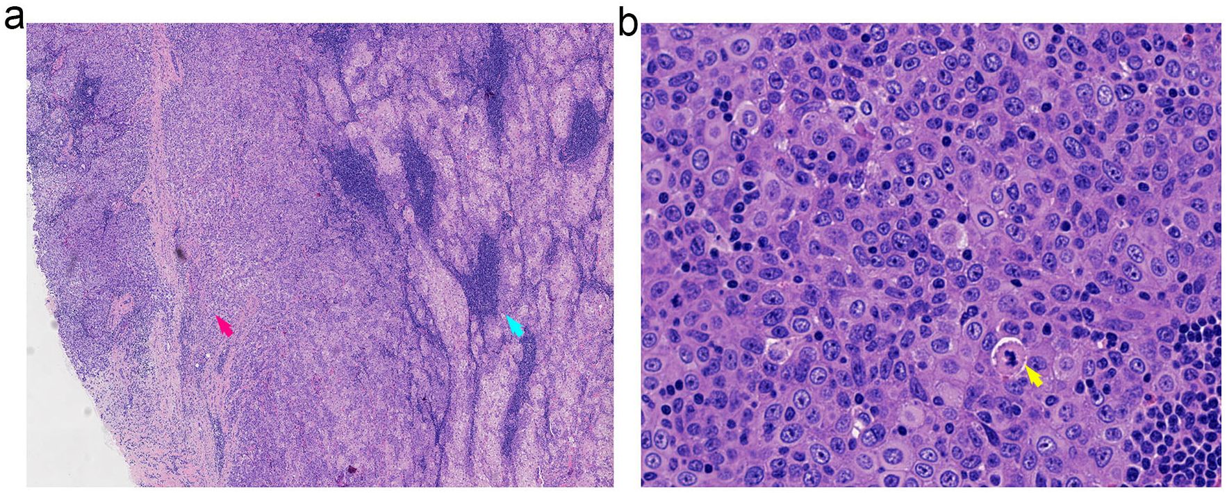
Background: Sebaceous lymphadenocarcinoma (SLAC) represents an extremely rare parotid malignancy, hypothesized to originate through malignant transformation of sebaceous lymphadenoma. To date, fewer than ten histopathologically confirmed cases have been documented globally. Case summary: A 33-year-old female presented with a persistent, painless left parotid mass that persisted despite anti-infective therapy. The patient underwent a comprehensive diagnostic workup prior to surgical resection. Histopathological examination of the specimen revealed sebaceous lymphadenoma with distinct foci of malignant transformation to SLAC, confirming a localized malignant process. Based on a review of the literature, this case represents the eighth reported instance of SLAC and the third with pathologically confirmed lymph node metastasis. Conclusion: SLAC most commonly presents as a painless parotid mass. Surgical resection is the cornerstone of therapy, with individualized use of radiotherapy. While early outcomes may be favorable, long-term surveillance is essential. International collaboration is urgently needed to establish registries and define standardized management guidelines for this exceedingly rare malignancy.
Keywords: sebaceous lymphadenocarcinoma, Parotid Gland, Sebaceous lymphadenoma, lymph node metastasis, case report
Received: 02 Jun 2025; Accepted: 20 Nov 2025.
Copyright: © 2025 Ru, Ding, An and Zou. This is an open-access article distributed under the terms of the Creative Commons Attribution License (CC BY). The use, distribution or reproduction in other forums is permitted, provided the original author(s) or licensor are credited and that the original publication in this journal is cited, in accordance with accepted academic practice. No use, distribution or reproduction is permitted which does not comply with these terms.
* Correspondence:
Fengxian An, anfengxian2022@163.com
Bo Zou, zoubo9465@163.com
Disclaimer: All claims expressed in this article are solely those of the authors and do not necessarily represent those of their affiliated organizations, or those of the publisher, the editors and the reviewers. Any product that may be evaluated in this article or claim that may be made by its manufacturer is not guaranteed or endorsed by the publisher.
