CASE REPORT article
Front. Oncol.
Sec. Radiation Oncology
This article is part of the Research TopicPrecision Medical Imaging for Cancer Diagnosis and Treatment Volume IIIView all 4 articles
Gamma Knife for the Treatment of Choroidal Breast Cancer Metastasis Causing Retinal Detachment: A Case Report
Provisionally accepted- 1Department of Ophthalmology, Hospital Canselor Tuanku Muhriz, Universiti Kebangsaan Malaysia, Malaysia, Kuala Lumpur, Malaysia
- 2Neurosurgical Unit, Department of Surgery, Hospital Canselor Tuanku Muhriz, Universiti Kebangsaan Malaysia, Malaysia, Kuala Lumpur, Malaysia
- 3Department of Radiology and Oncology, Hospital Canselor Tuanku Muhriz, Universiti Kebangsaan Malaysia, Malaysia, Kuala Lumpur, Malaysia
Select one of your emails
You have multiple emails registered with Frontiers:
Notify me on publication
Please enter your email address:
If you already have an account, please login
You don't have a Frontiers account ? You can register here
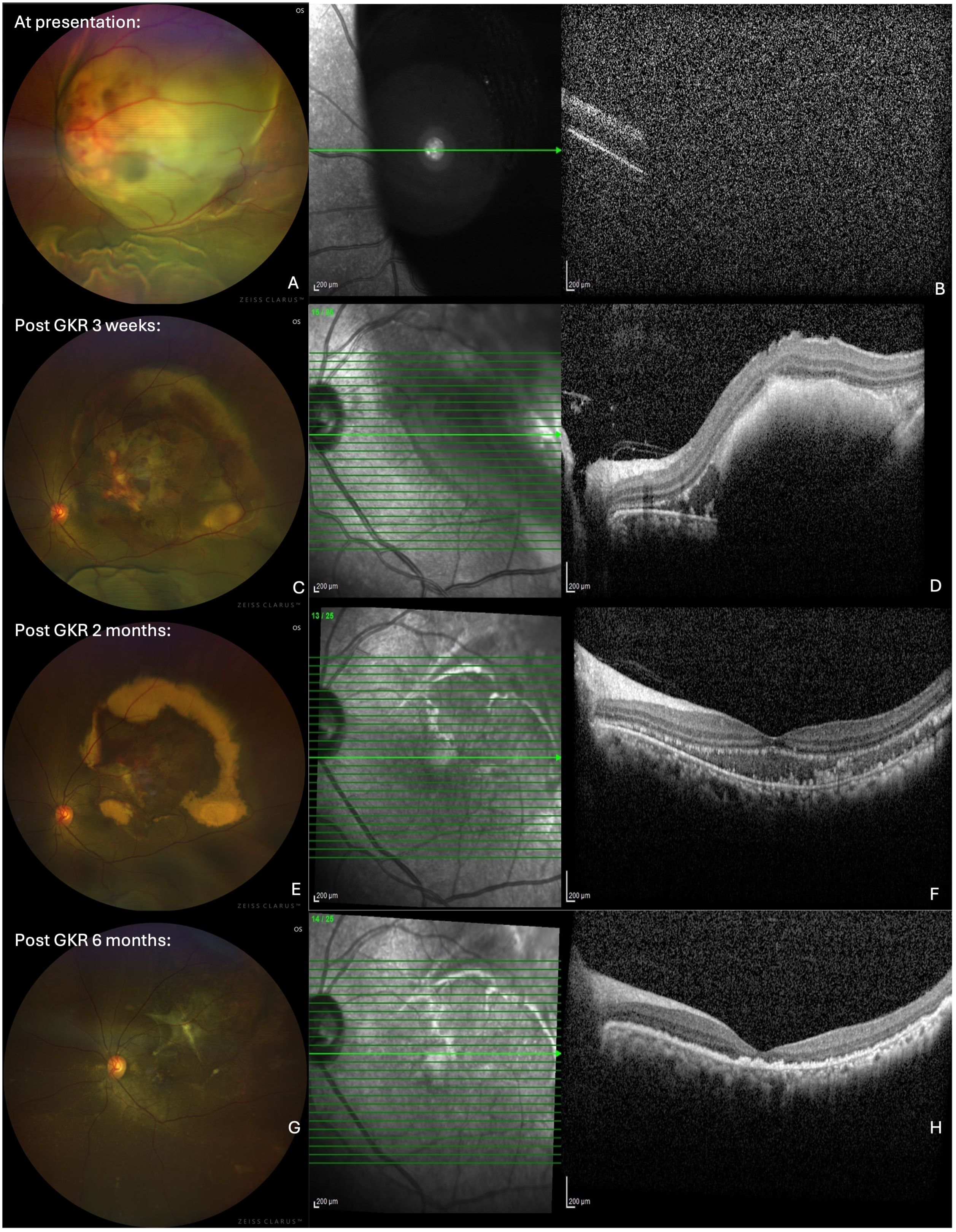
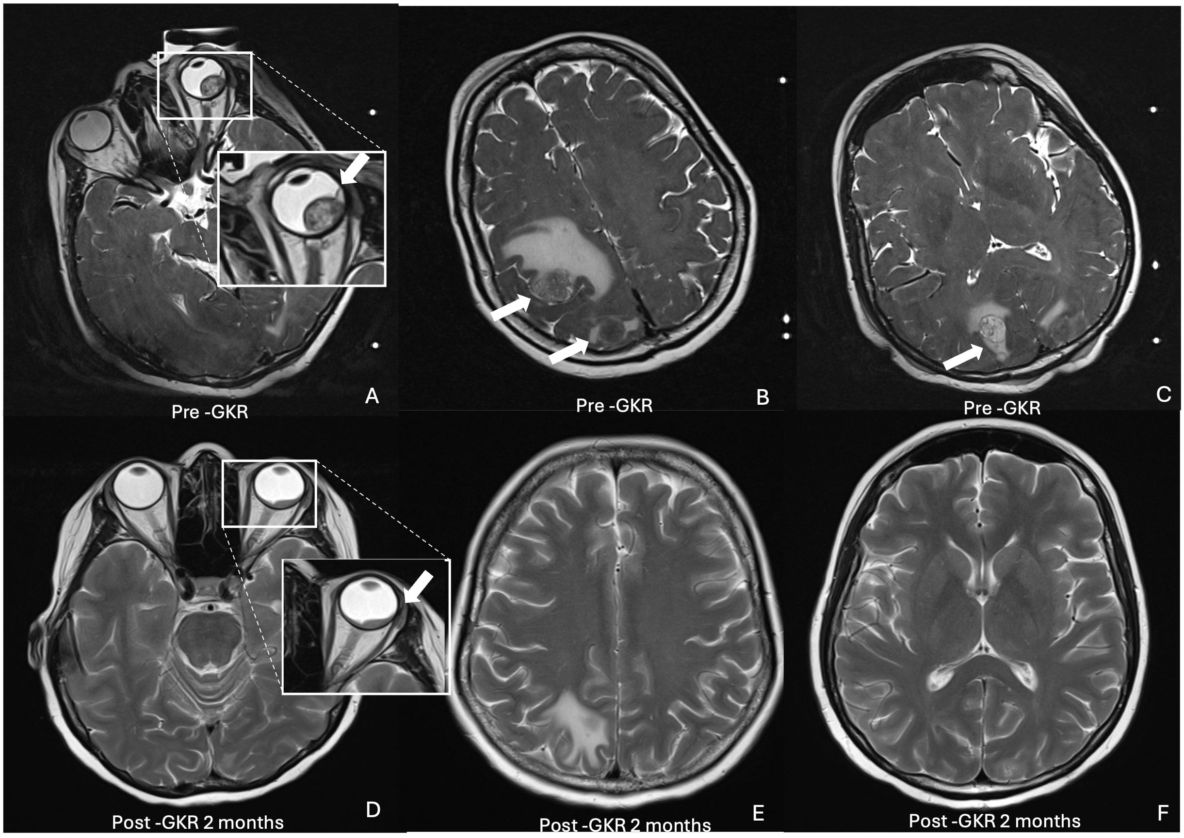
Introduction: Choroidal metastasis generally has poor prognosis and are most commonly originated from breast carcinomas.1,2 While systemic chemotherapy offers therapeutic benefits, local therapies are often necessary for symptom management and tumor control. Gamma Knife Radiosurgery (GKR), originally developed for intracranial lesions, has emerged as a promising treatment for choroidal metastasis, offering high precision and minimized toxicity with fewer ocular side effects compared to conventional radiotherapy. This case report explores the use of GKR in a patient with choroidal and brain metastases from breast carcinoma. Case Presentation: A 44-year-old woman with a history of treated left breast carcinoma presented with 3 months gradual vision loss in her left eye. Her visual acuity at presentation was Counting Fingers (CF). Imaging revealed a choroidal metastasis along with multiple brain metastases. The patient underwent GKR for both choroidal and intracranial metastases, receiving doses ranging from 16-18 Gy at 50-90% isodose. Following treatment, significant tumor regression was observed, with marked reduction in retinal detachment and vision improvement to 6/18. At post-GKR 6 months, both the choroidal mass and retinal detachment had fully resolved, but her visual acuity remained limited due to fovea atrophy. Conclusion: This case demonstrates GKR's potential as a non-invasive and effective modality for simultaneous treatment of choroidal and intracranial metastases. In palliative settings, especially for patients with limited life expectancy, GKR can provide symptomatic relief and improved life quality with minimal invasiveness, which is particularly valuable for younger patients facing advanced metastatic cancer. The importance of a multidisciplinary approach in managing complex metastatic disease is also highlighted. Future studies are warranted to fully define the role of GKR in choroidal metastasis and its long-term sequelae.
Keywords: breast carcinoma, case report, Choroidal metastasis, gamma knife radiosurgery, multidisciplinary care
Received: 15 Jun 2025; Accepted: 31 Oct 2025.
Copyright: © 2025 Ong, Alfian, Kumar, Ismail, Ho, Bastion and Othman. This is an open-access article distributed under the terms of the Creative Commons Attribution License (CC BY). The use, distribution or reproduction in other forums is permitted, provided the original author(s) or licensor are credited and that the original publication in this journal is cited, in accordance with accepted academic practice. No use, distribution or reproduction is permitted which does not comply with these terms.
* Correspondence: Othmaliza  Othman, drliza@hctm.ukm.edu.my
Disclaimer: All claims expressed in this article are solely those of the authors and do not necessarily represent those of their affiliated organizations, or those of the publisher, the editors and the reviewers. Any product that may be evaluated in this article or claim that may be made by its manufacturer is not guaranteed or endorsed by the publisher.
