CASE REPORT article
Front. Oncol.
Sec. Gynecological Oncology
This article is part of the Research TopicEvolving Therapies in Gynecological Oncology: From Chemotherapy to Personalized MedicineView all 4 articles
One case of pregnancy complicated by large cell neuroendocrine carcinoma of the cervix with syndrome of inappropriate secretion of antidiuretic hormone
Provisionally accepted- Gansu Provincial Maternity and Child Health Care Hospital, Lanzhou, China
Select one of your emails
You have multiple emails registered with Frontiers:
Notify me on publication
Please enter your email address:
If you already have an account, please login
You don't have a Frontiers account ? You can register here
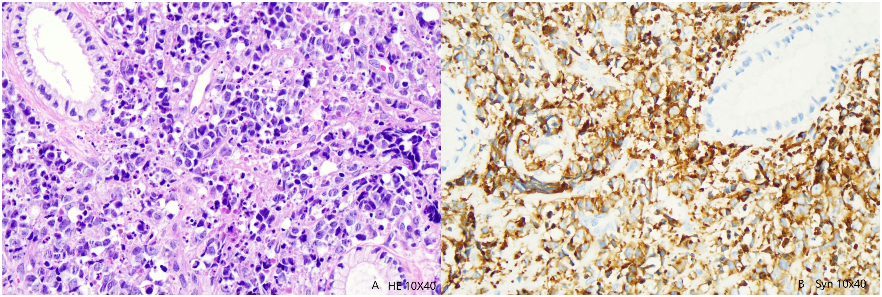
This article reports an extremely rare case of a 31-year-old pregnant woman diagnosed with large cell neuroendocrine carcinoma (LCNEC) of the cervix complicated by syndrome of inappropriate antidiuretic hormone secretion (SIADH). Admitted at 35⁺ ¹ weeks gestation due to vaginal bleeding, she was diagnosed with cervical LCNEC and pelvic lymph node metastasis. Following cesarean delivery, she developed severe hyponatremia (as low as 92 mmol/L) leading to coma during chemotherapy, meeting the criteria for SIADH. The hyponatremia was successfully corrected with the selective vasopressin V2 receptor antagonist tolvaptan. The patient subsequently achieved complete remission (CR) after concurrent chemoradiotherapy. However, the disease recurred with multiple metastases six months later. Despite multiple lines of therapy, she succumbed to multiple organ failure 19 months after initial diagnosis. This case highlights the highly aggressive nature and poor prognosis of LCNEC complicated by SIADH during pregnancy. Tolvaptan proved effective for the associated refractory hyponatremia but required careful monitoring to avoid sodium overcorrection. Dynamic serum sodium monitoring may serve as a potential biomarker for tumor recurrence. A review identified deficiencies in the management, including initial insufficient investigation into the cause of hyponatremia, aggressive fluid therapy exacerbating the condition, and delays in multidisciplinary collaboration and systemic therapy. This case underscores the critical importance of multidisciplinary collaboration and early, aggressive systemic treatment in managing such complex and rare malignancies.
Keywords: LCNEC of the cervix, Pregnancy, SIADH, Hyponatremia, Tolvaptan
Received: 17 Jun 2025; Accepted: 03 Nov 2025.
Copyright: © 2025 Dong, Zhu, Miao and zheng. This is an open-access article distributed under the terms of the Creative Commons Attribution License (CC BY). The use, distribution or reproduction in other forums is permitted, provided the original author(s) or licensor are credited and that the original publication in this journal is cited, in accordance with accepted academic practice. No use, distribution or reproduction is permitted which does not comply with these terms.
* Correspondence: Zhangcai zheng, 2646614612@qq.com
Disclaimer: All claims expressed in this article are solely those of the authors and do not necessarily represent those of their affiliated organizations, or those of the publisher, the editors and the reviewers. Any product that may be evaluated in this article or claim that may be made by its manufacturer is not guaranteed or endorsed by the publisher.
