CASE REPORT article
Front. Oncol.
Sec. Genitourinary Oncology
Case Report: Rare Meets Rare – Miliary Prostate Cancer Brain Metastasis
Provisionally accepted- 1Division of Medical Oncology, Sunnybrook Health Sciences Centre Odette Cancer Program, Toronto, Canada
- 2Department of Radiation Oncology, Sunnybrook Health Sciences Centre Odette Cancer Program, Toronto, Canada
- 3Division of Critical Care, Mackenzie Health, Richmond Hill, Canada
- 4Department of Medical Imaging, Sunnybrook Health Sciences Centre, Toronto, Canada
- 5University of Toronto Institute of Medical Science, Toronto, Canada
- 6Department of Medical Oncology, Sunnybrook Health Sciences Centre Odette Cancer Program, Toronto, Canada
- 7University of Toronto Temerty Faculty of Medicine, Toronto, Canada
Select one of your emails
You have multiple emails registered with Frontiers:
Notify me on publication
Please enter your email address:
If you already have an account, please login
You don't have a Frontiers account ? You can register here
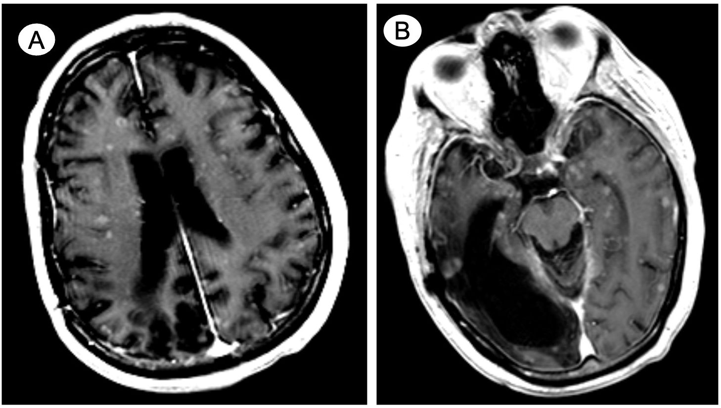
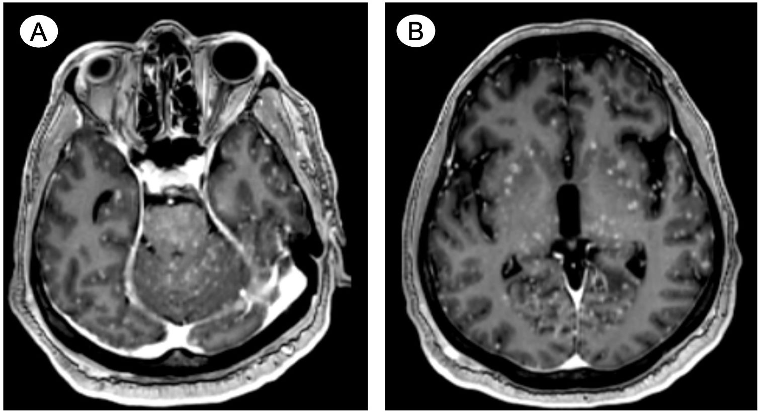
Introduction: Miliary brain metastasis (MM), consisting of innumerable miliary lesions in perivascular location, is a rare disease entity with an estimated incidence of 3.8% among patients with brain metastasis (BM). Similarly, with an approximated incidence of less than 2%, prostate cancer (PC)-related BM is also an infrequent presentation; however, it is more common in patients with neuroendocrine differentiation. To the best of our knowledge, one other case of MM secondary to PC has been reported. This case report discusses two additional cases of PC-related MM, a condition otherwise predominately observed secondary to pulmonary adenocarcinoma. Case Presentations: The first case describes a patient in his 60s known for metastatic PC with suspected neuroendocrine differentiation presenting with musculoskeletal pain, lethargy, and status epilepticus. Contrast-enhanced computer tomography (CT) angiogram and magnetic resonance imaging (MRI) of the head and neck revealed diffuse and innumerable foci in the cerebral hemispheres, brainstem, and cerebellum. The second case discusses a similarly aged male with biopsy-proven de novo mixed adenocarcinoma/small cell neuroendocrine PC and symptoms consisting of significant weakness, aphasia, confusion, and decreased level of consciousness. Non-contrast-enhanced CT imaging of the brain did not reveal MM; however, a follow-up contrast-enhanced MRI detailed miliary lesions in the cortex, white matter, deep gray nuclei, brainstem, and cerebellum. Both patients expired within a couple of weeks from admission. Conclusion: Given its rarity, notably in patients with PC, there are no specific and established diagnostic criteria for MM, a condition with ominous prognosis seemingly related to neuroendocrine differentiation in men with PC.
Keywords: miliary, Brain, metastasis, Prostate, Cancer
Received: 18 Jun 2025; Accepted: 29 Oct 2025.
Copyright: © 2025 Gill, Detsky, Golan, Yeung, Shiner and Emmenegger. This is an open-access article distributed under the terms of the Creative Commons Attribution License (CC BY). The use, distribution or reproduction in other forums is permitted, provided the original author(s) or licensor are credited and that the original publication in this journal is cited, in accordance with accepted academic practice. No use, distribution or reproduction is permitted which does not comply with these terms.
* Correspondence: Jaspreet Kaur Gill, jk36gill@uwaterloo.ca
Disclaimer: All claims expressed in this article are solely those of the authors and do not necessarily represent those of their affiliated organizations, or those of the publisher, the editors and the reviewers. Any product that may be evaluated in this article or claim that may be made by its manufacturer is not guaranteed or endorsed by the publisher.
