CASE REPORT article
Front. Oncol.
Sec. Gastrointestinal Cancers: Gastric and Esophageal Cancers
Long-Term Survival After Solitary Ocular Metastasis Following Radical Resection of Esophagogastric Junction Carcinoma: A Rare Case Report
Provisionally accepted- Changzhi People's Hospital, Changzhi, China
Select one of your emails
You have multiple emails registered with Frontiers:
Notify me on publication
Please enter your email address:
If you already have an account, please login
You don't have a Frontiers account ? You can register here
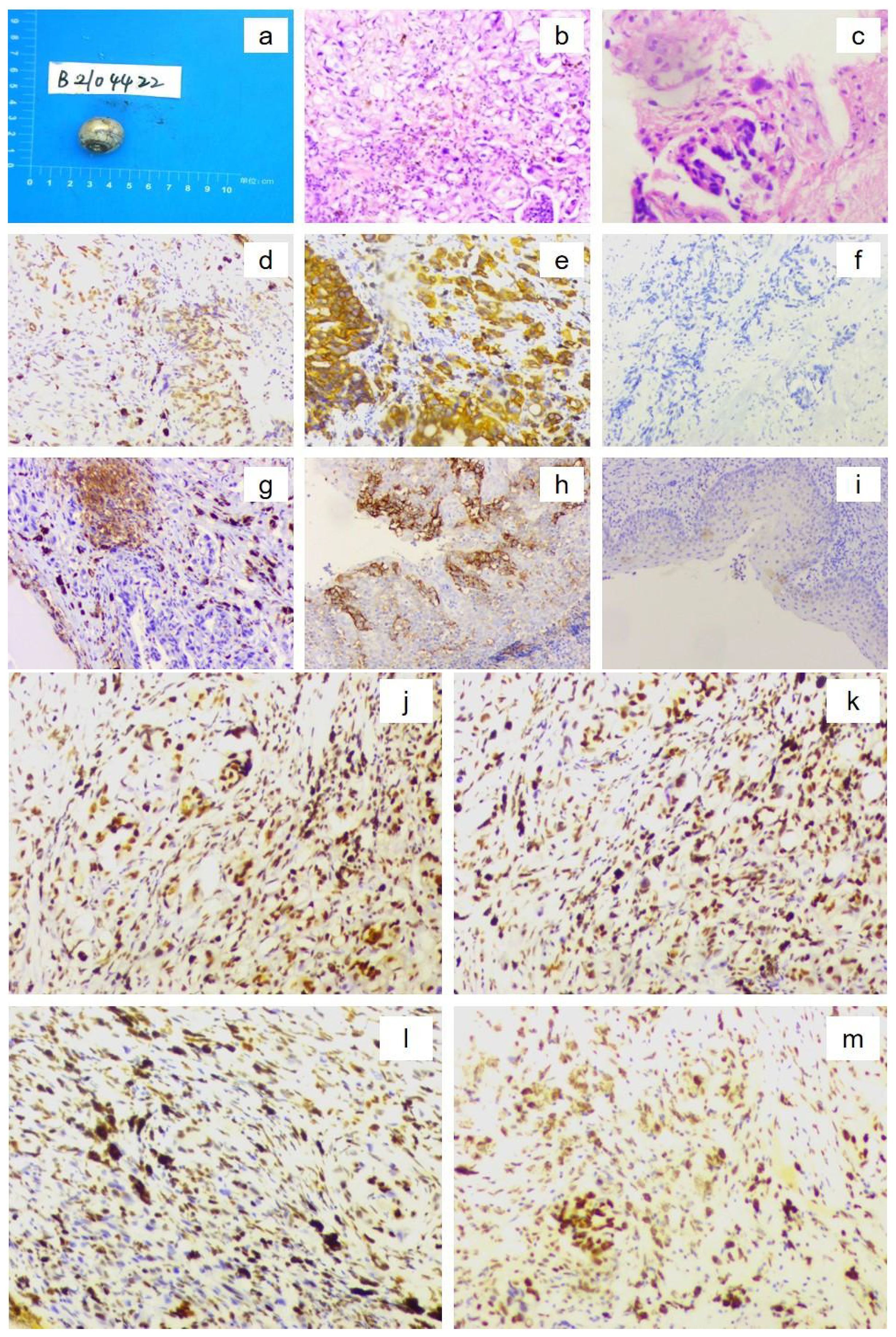
Background: Isolated ocular metastasis from esophagogastric junction (EGJ) cancer is extremely rare, and no standardized therapeutic approach has been established to date. Reporting such cases may help clarify optimal management strategies for uncommon metastatic patterns. Case presentation: We describe a 44-year-old male who developed isolated ocular oligometastasis ten months after radical EGJ cancer resection. Comprehensive evaluation confirmed left-eye involvement. Following multidisciplinary team (MDT) discussion, a combined treatment plan was implemented, starting with systemic therapy consisting of docetaxel, tegafur–gimeracil–oteracil (S-1), and tislelizumab. After achieving disease stabilization, the patient underwent left-eye enucleation with ocular prosthesis implantation, followed by adjuvant radiotherapy and maintenance S-1 chemotherapy. At a 55-month follow-up, he remains disease-free with an excellent performance status (PS 0). Conclusion: This case highlights that integrated multimodal therapy—including systemic and local interventions—can result in long-term survival for patients with isolated ocular metastasis from EGJ cancer. MDT-based, individualized treatment planning is essential for optimizing outcomes in rare metastatic scenarios and may inform future precision oncology approaches.
Keywords: Esophagogastric junction carcinoma, Ocular metastasis, Oligometastasis, Multimodal treatment, Long survival
Received: 19 Jun 2025; Accepted: 10 Nov 2025.
Copyright: © 2025 Gao, Zhai, Ma, Zhang, Yunyi and Zhao. This is an open-access article distributed under the terms of the Creative Commons Attribution License (CC BY). The use, distribution or reproduction in other forums is permitted, provided the original author(s) or licensor are credited and that the original publication in this journal is cited, in accordance with accepted academic practice. No use, distribution or reproduction is permitted which does not comply with these terms.
* Correspondence: Jun Zhao, zhaojun380@outlook.com
Disclaimer: All claims expressed in this article are solely those of the authors and do not necessarily represent those of their affiliated organizations, or those of the publisher, the editors and the reviewers. Any product that may be evaluated in this article or claim that may be made by its manufacturer is not guaranteed or endorsed by the publisher.
