CASE REPORT article
Front. Oncol.
Sec. Surgical Oncology
Metachronous multicentric giant cell tumour of bone treated with denosumab and mega-prosthesis revision: A rare case report
Provisionally accepted- Cancer Hospital of Shantou University Medical College, 广东省, China
Select one of your emails
You have multiple emails registered with Frontiers:
Notify me on publication
Please enter your email address:
If you already have an account, please login
You don't have a Frontiers account ? You can register here
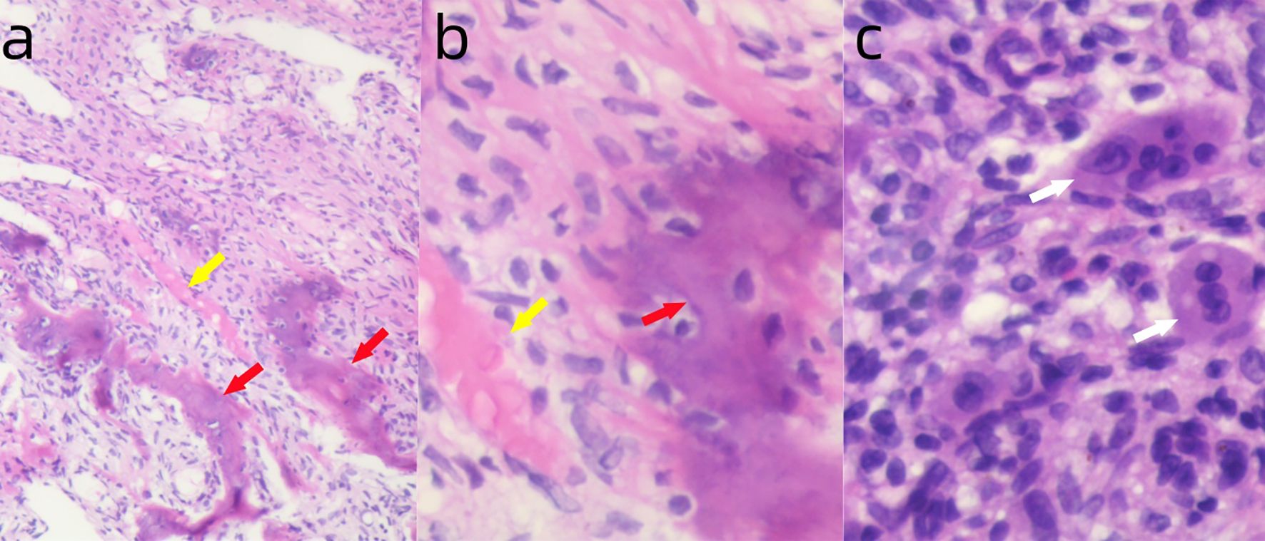
Introduction: Multicentric giant cell tumor of bone is extremely rare, accounting for less than 1% of all giant cell tumor of bone(GCTB) cases. Metachronous multicentric GCTB is even rarer. Case Presentation: We present a rare case of metachronous multicentric giant cell tumor of bone (GCTB) in a 27-year-old male, in whom three distinct lesions developed sequentially over a 10-year period: first in the right distal femur, followed by the proximal femur, and later the proximal tibia. To address progressive disease and prosthetic complications, the patient underwent revision of the mega-prosthesis combined with adjuvant denosumab therapy, followed by curettage of the subsequently emerging tibial lesion. Conclusion: This case illustrates the sequential development of multiple GCTB lesions and the importance of combined surgical reconstruction and denosumab therapy in long-term management.
Keywords: Multicentric giant cell tumor, Metachronous multicentric GCTB, mega-prosthesis, Denosumab, Curettage
Received: 21 Jun 2025; Accepted: 21 Nov 2025.
Copyright: © 2025 Lin, Yang, Zhu, Yang, Xu, Wu, Wang and Wang. This is an open-access article distributed under the terms of the Creative Commons Attribution License (CC BY). The use, distribution or reproduction in other forums is permitted, provided the original author(s) or licensor are credited and that the original publication in this journal is cited, in accordance with accepted academic practice. No use, distribution or reproduction is permitted which does not comply with these terms.
* Correspondence: Weidong Wang, 07wdwang@stu.edu.cn
Disclaimer: All claims expressed in this article are solely those of the authors and do not necessarily represent those of their affiliated organizations, or those of the publisher, the editors and the reviewers. Any product that may be evaluated in this article or claim that may be made by its manufacturer is not guaranteed or endorsed by the publisher.
