ORIGINAL RESEARCH article
Front. Oncol.
Sec. Head and Neck Cancer
This article is part of the Research TopicReviews in Head and Neck CancersView all 4 articles
Clinical imaging features and outcomes of intrathyroidal thymic carcinoma: An analysis of fourteen patients at a single medical institution
Provisionally accepted- 1Medical Image Center, Jiangsu Cancer Hospital, Nanjing Medical University, Nanjing, China
- 2Medical Image Center, The Affiliated Cancer Hospital Of Nanjing medical University, Nanjing, China
- 3Medical Image Center, Jiangsu Institute of Cancer Research, Nanjing, China
- 4Radiation oncology, Jiangsu Cancer Hospital, Nanjing Medical University, Nanjing, China
- 5Radiation oncology, The Affiliated Cancer Hospital Of Nanjing medical University, Nanjing, China
- 6Radiation oncology, Jiangsu Institute of Cancer Research, Nanjing, China
Select one of your emails
You have multiple emails registered with Frontiers:
Notify me on publication
Please enter your email address:
If you already have an account, please login
You don't have a Frontiers account ? You can register here
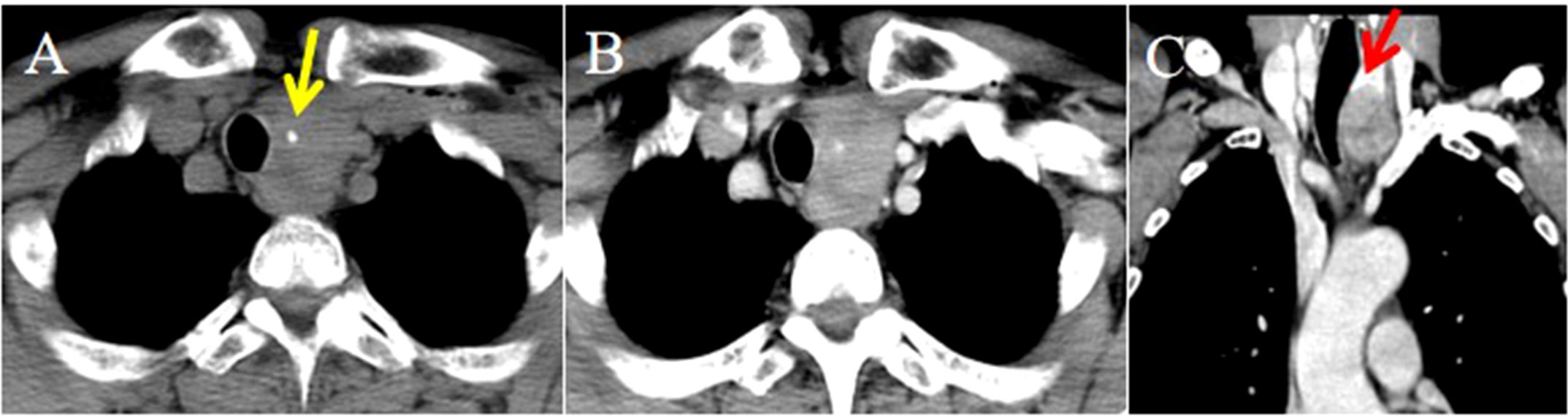
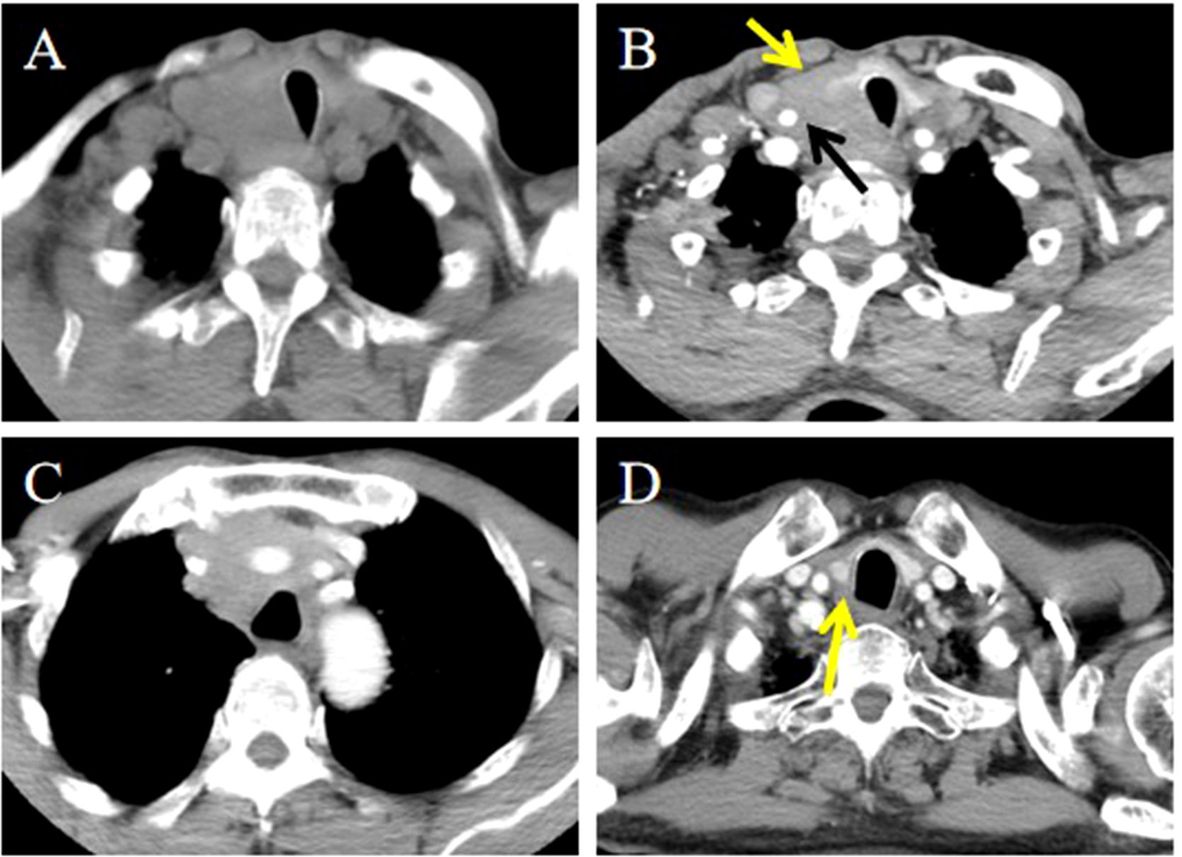
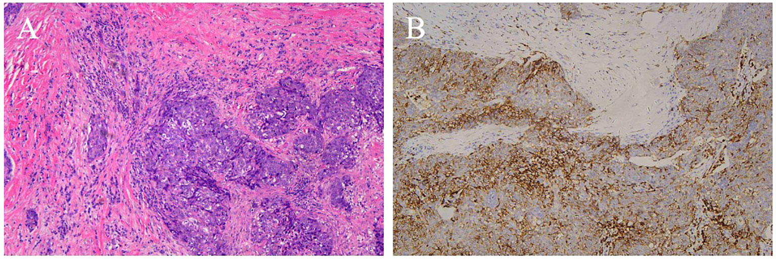
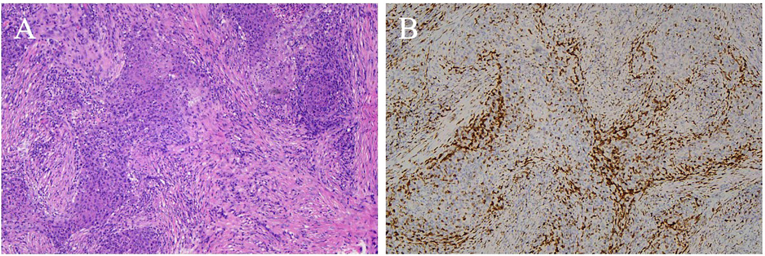
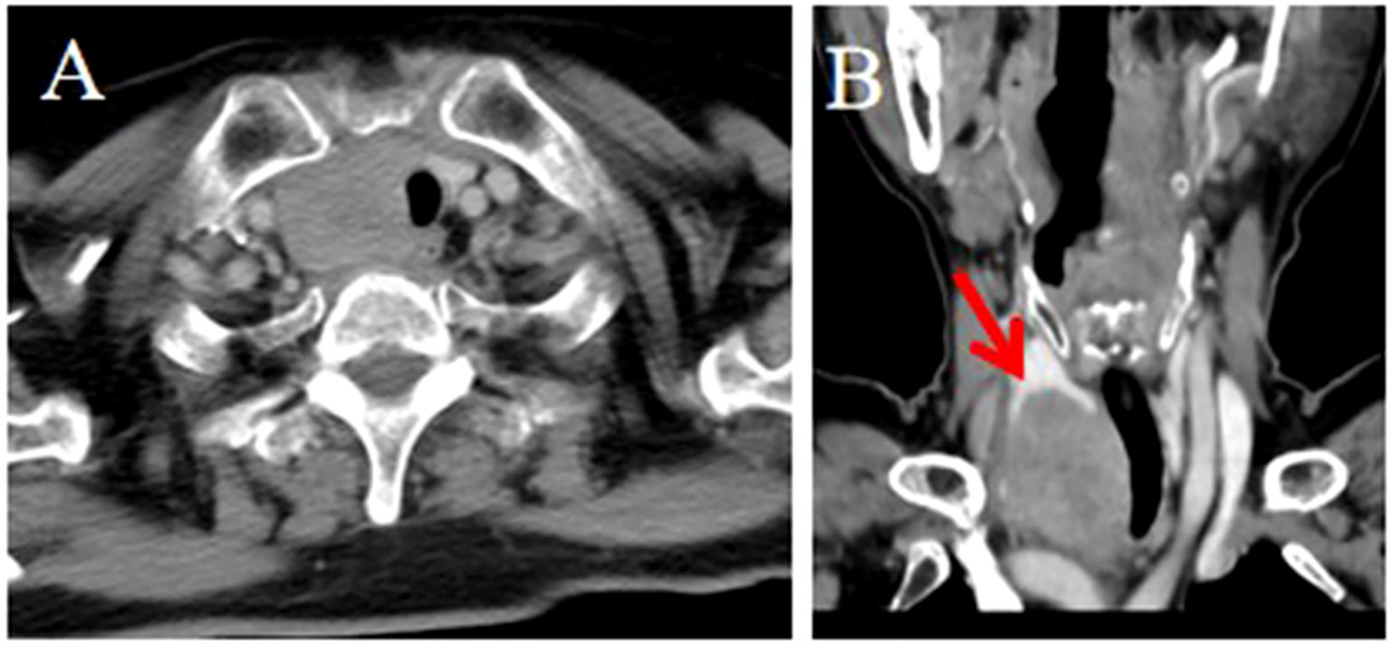
Objective: To summarize the clinical characteristics and imaging features of intrathyroid thymic carcinoma (ITTC), along with diagnostic and therapeutic approaches, to increase awareness of this rare disease. Methods: We retrospectively analyzed 14 patients with ITTC confirmed by core needle biopsy (CNB) and surgery combined with immunohistochemistry. The clinical and imaging findings, treatment, pathological findings and follow-up data of these patients were reviewed. Results: Thirteen patients were newly diagnosed and one relapsed at the original surgical site. All tumors were solitary, mostly located in the lower neck or upper chest, often in the tracheoesophageal groove with or without extension to the thyroid’s lower pole, and approximately two-thirds of patients presented with hoarseness. On CT, most lesions appeared as irregular, low-density soft-tissue masses, with calcification in two cases; contrast-enhanced CT revealed mild heterogeneous or homogeneous enhancement, and over half exhibited an arc-shaped interface with adjacent thyroid tissue. Most tumors were locally advanced, invading muscles, the supraclavicular fossa, tracheoesophageal groove, esophagus, tracheal wall, or mediastinal vessels. The diagnostic accuracy of fine-needle aspiration biopsy (FNAB) was low, whereas core needle biopsy (CNB) combined with immunohistochemistry was reliable. Ten patients underwent radical surgery, of whom three received adjuvant chemoradiotherapy and four adjuvant radiotherapy; four patients received radical chemoradiotherapy, and one received combined therapy including anlotinib, a novel tyrosine kinase inhibitor. The median follow-up was 86 months (range, 25–146), and three surgically treated patients developed local recurrence or pulmonary metastasis. Conclusion: CNB combined with immunohistochemistry is recommended when the characteristic and imaging manifestations suggest a diagnosis of ITTC. Especially for locally advanced cases, imaging-based diagnosis can be useful for analysis and to guide treatment.
Keywords: intrathyroidal thymic carcinoma, radiographic features, Core needle biopsy, Surgery, radiotherapyand chemotherapy, prognosis
Received: 12 Jul 2025; Accepted: 13 Oct 2025.
Copyright: © 2025 Gu, Zhang, Huang, Song, Xie and Ding. This is an open-access article distributed under the terms of the Creative Commons Attribution License (CC BY). The use, distribution or reproduction in other forums is permitted, provided the original author(s) or licensor are credited and that the original publication in this journal is cited, in accordance with accepted academic practice. No use, distribution or reproduction is permitted which does not comply with these terms.
* Correspondence:
Lanfang Zhang, zhanglanfang80353@126.com
Wenxuan Huang, huangwenxuan900@163.com
Disclaimer: All claims expressed in this article are solely those of the authors and do not necessarily represent those of their affiliated organizations, or those of the publisher, the editors and the reviewers. Any product that may be evaluated in this article or claim that may be made by its manufacturer is not guaranteed or endorsed by the publisher.
