CASE REPORT article
Front. Oncol.
Sec. Cancer Molecular Targets and Therapeutics
This article is part of the Research TopicInnovative Strategies for the Discovery of New Therapeutic Targets in Cancer TreatmentView all 9 articles
Case Report: Two Cases of Non-Small Cell Lung Cancer With Coexistence of NTRK2 Fusion and EGFR Mutations
Provisionally accepted- Weifang People's Hospital, Weifang, China
Select one of your emails
You have multiple emails registered with Frontiers:
Notify me on publication
Please enter your email address:
If you already have an account, please login
You don't have a Frontiers account ? You can register here
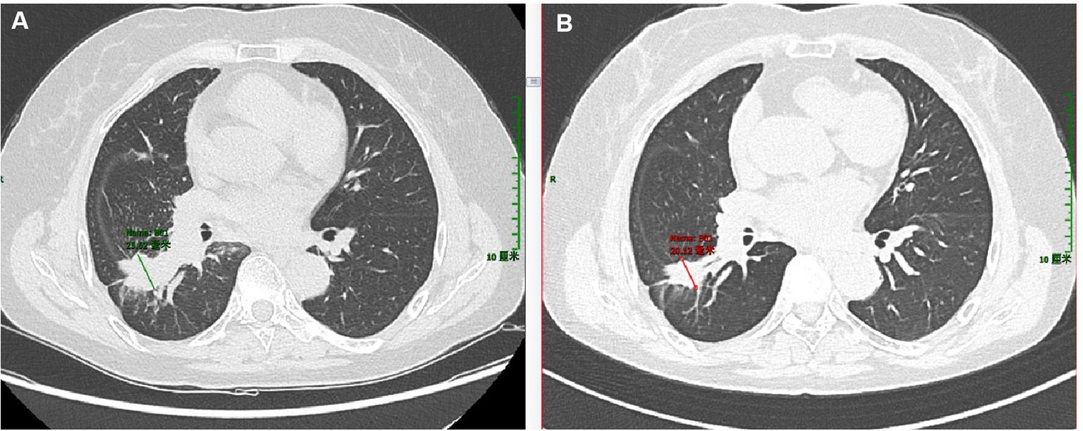
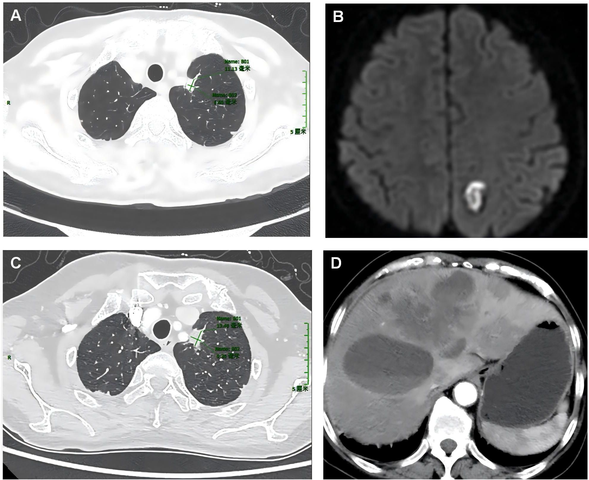
Objective: To investigate the clinical and pathological characteristics of patients with non-small cell lung cancer exhibiting coexistence of NTRK2 fusion and EGFR mutations. Methods: Clinical data as well as histopathological, immunohistochemical, and molecular pathological characteristics of two patients harboring both NTRK2 gene fusions and EGFR gene mutations were retrospectively analyzed, and relevant literature was also reviewed. Results: Both patients were women, aged 57 and 66 years, respectively. The two cases were diagnosed as invasive lung adenocarcinoma, and immunohistochemical staining showed that all tumor cells expressed CK7, Napsin A, TTF-1, and PD-L1. In Case 1, an EGFR mutation in the primary lung lesion, coexistence of NTRK2 fusion and EGFR mutation in liver metastases, and concurrent MET gene amplification and FGFR1 gene mutation were observed. In Case 2, the coexistence of NTRK2 fusion and EGFR mutation was detected in the primary lung lesion. The TMB and microsatellite status were classified as TMB-L and MSS, respectively, in both cases. Case 1 received osimertinib combined with savolitinib, had 33 months of follow-up, and achieved a partial response. Case 2 received furmonertinib and achieved a complete response. Conclusion: NTRK2 fusion coexisting with EGFR mutations is a rare molecular characteristic of non-small cell lung cancer, accompanied by positive PD-L1 expression, and may serve as a promising biomarker for targeted therapy.
Keywords: Non-small cell lung cancer, molecular testing, Ntrk2, EGFR, case report
Received: 12 Jul 2025; Accepted: 07 Nov 2025.
Copyright: © 2025 Zhang, Zhang and Li. This is an open-access article distributed under the terms of the Creative Commons Attribution License (CC BY). The use, distribution or reproduction in other forums is permitted, provided the original author(s) or licensor are credited and that the original publication in this journal is cited, in accordance with accepted academic practice. No use, distribution or reproduction is permitted which does not comply with these terms.
* Correspondence: Xiufeng Li, lixiufengsci@163.com
Disclaimer: All claims expressed in this article are solely those of the authors and do not necessarily represent those of their affiliated organizations, or those of the publisher, the editors and the reviewers. Any product that may be evaluated in this article or claim that may be made by its manufacturer is not guaranteed or endorsed by the publisher.
