CASE REPORT article
Front. Oncol.
Sec. Pediatric Oncology
This article is part of the Research TopicEmerging Technologies and Therapies in Orthodontics and Pediatric DentistryView all 3 articles
Pediatric dentinogenic ghost cell tumor:a case report and review of the literature
Provisionally accepted- 1Jinan Stomatological Hospital, Jinan, China
- 2Shandong University of Traditional Chinese Medicine Affiliated Hospital, Jinan, China
Select one of your emails
You have multiple emails registered with Frontiers:
Notify me on publication
Please enter your email address:
If you already have an account, please login
You don't have a Frontiers account ? You can register here
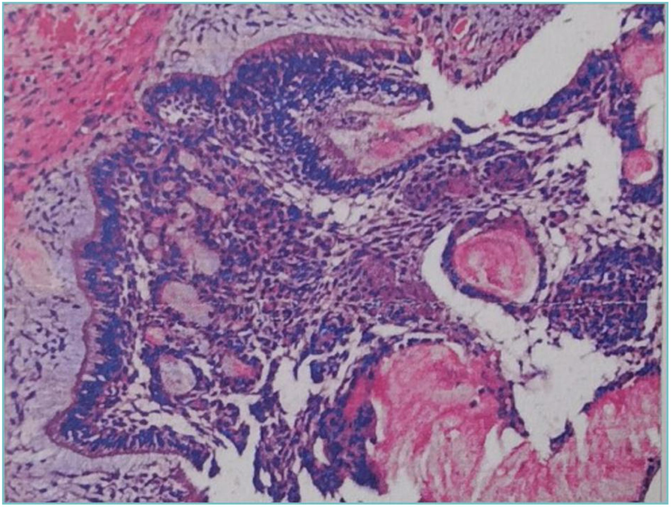
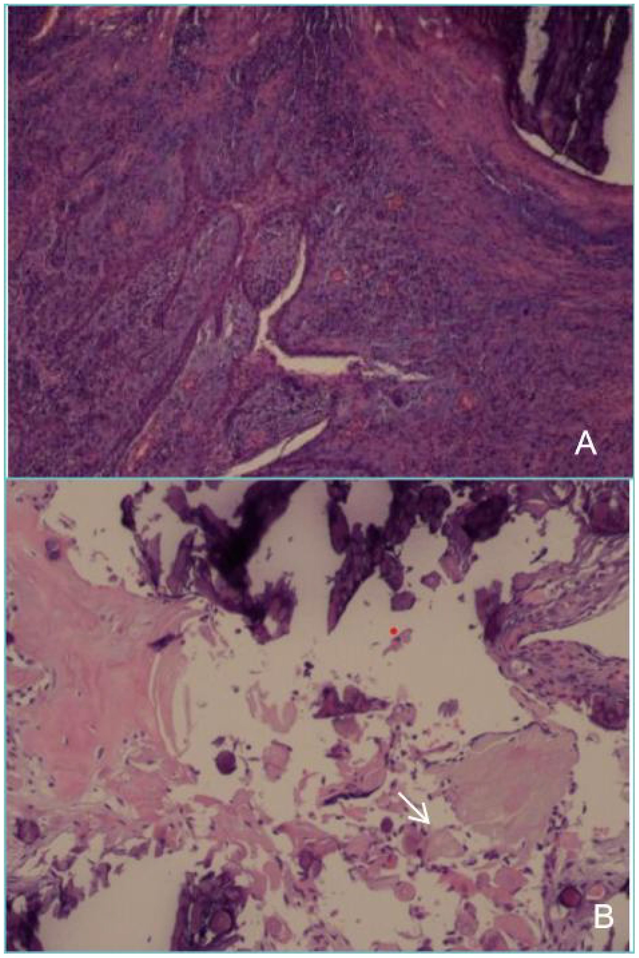
Dentinogenic ghost cell tumor (DGCT) is a rare odontogenic neoplasm that presents with nonspecific clinical manifestations and imaging features. It is more prevalent in elderly patients, with cases in children being extremely rare. This article presents a case study of a 10-year-old male patient who exhibited symptoms of swelling and pain in the left cheek for a duration of two weeks. Cone beam computed tomography (CBCT) demonstrated a hypodense lesion involving the left maxilla, with extension into the maxillary sinus and buccal cortical expansion. The patient underwent decompression, and histopathological examination of the intraoperative specimen suggested a diagnosis of calcifying odontogenic cyst (COC). One year after decompression, the patient underwent a tumor resection and the diagnosis of DGCT was confirmed by the post-operative pathology. Six months after tumor resection, CBCT showed complete bone remodelling in the lesion area. The patient is currently undergoing regular follow-up. This case provides an important reference for the diagnosis and treatment of pediatric DGCT, helping clinicians to develop individualised treatment plans.
Keywords: pediatric, Ghost cell, Dentinogenic ghost cell tumor, CBCT, COC
Received: 08 Aug 2025; Accepted: 06 Nov 2025.
Copyright: © 2025 Wang, Han, Xie and Tian. This is an open-access article distributed under the terms of the Creative Commons Attribution License (CC BY). The use, distribution or reproduction in other forums is permitted, provided the original author(s) or licensor are credited and that the original publication in this journal is cited, in accordance with accepted academic practice. No use, distribution or reproduction is permitted which does not comply with these terms.
* Correspondence:
Jianli Xie, 499484182@qq.com
HongSheng Tian, hongshengtian@163.com
Disclaimer: All claims expressed in this article are solely those of the authors and do not necessarily represent those of their affiliated organizations, or those of the publisher, the editors and the reviewers. Any product that may be evaluated in this article or claim that may be made by its manufacturer is not guaranteed or endorsed by the publisher.
