CASE REPORT article
Front. Oncol.
Sec. Gastrointestinal Cancers: Hepato Pancreatic Biliary Cancers
Laparoscopic Hepaticopancreaticoduodenectomy for Synchronous Intrahepatic Cholangiocarcinoma and Distal Common Bile Duct Tumours: A Case Report
Provisionally accepted- 1Guangdong Medical University, Zhanjiang, China
- 2Zhongshan City People's Hospital, Zhongshan, China
Select one of your emails
You have multiple emails registered with Frontiers:
Notify me on publication
Please enter your email address:
If you already have an account, please login
You don't have a Frontiers account ? You can register here
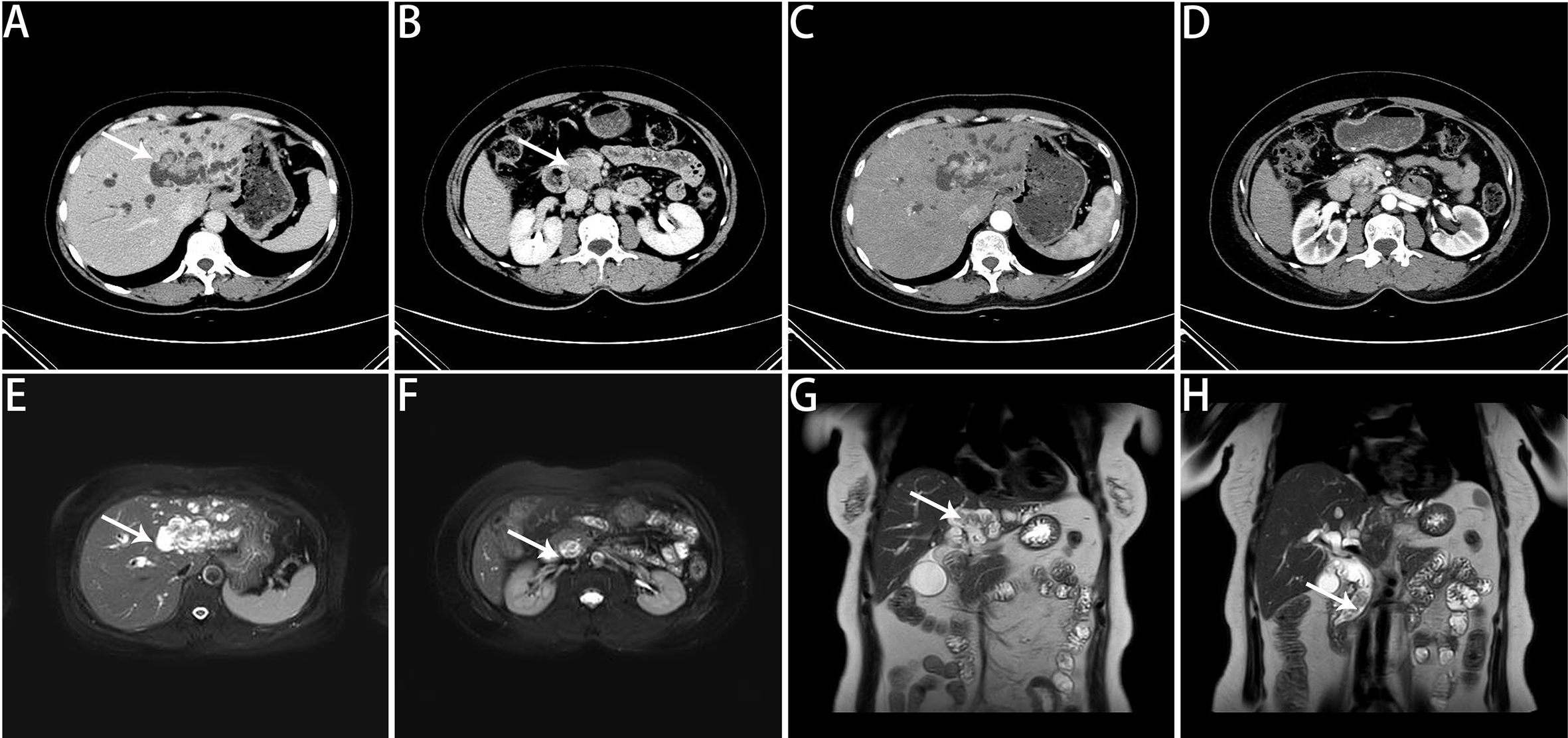
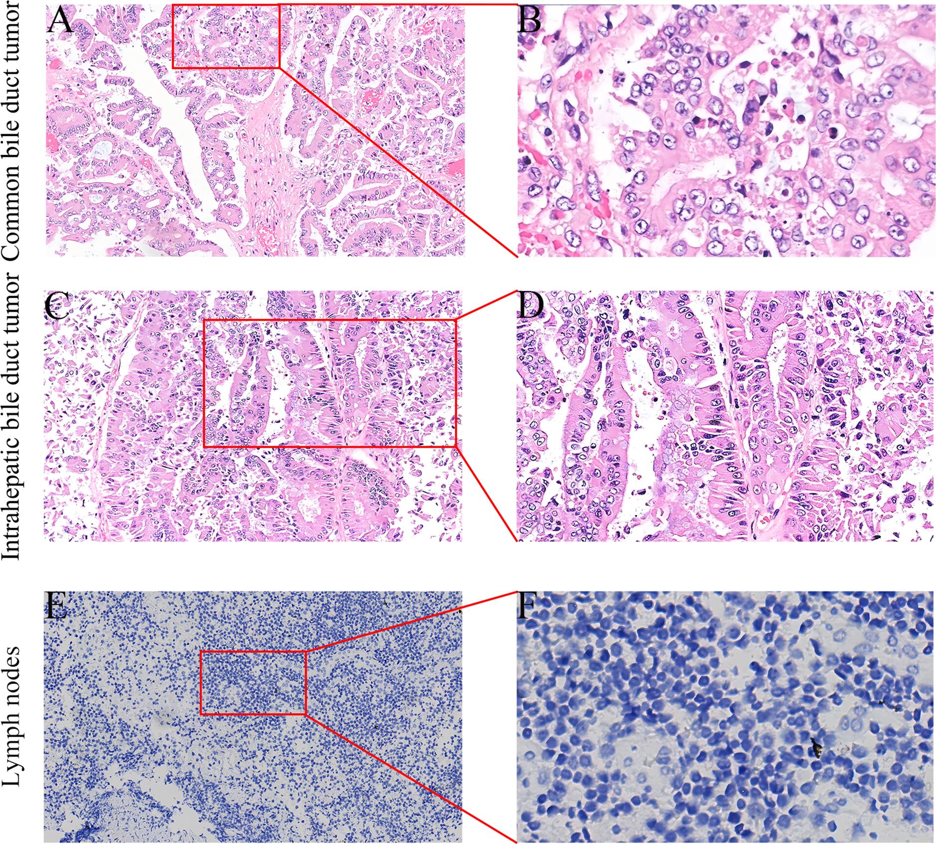
Background: Laparoscopic hepatopancreatoduodenectomy (LHPD) is a while very complex procedure for biliary malignancies combined with intrahepatic bile duct invasion, but there are few reports of related surgeries due to high postoperative complications and mortality. In this study, we report a case of tubular adenoma with high-grade intraepithelial neoplasia of the homologous left hepatic bile duct combined with the common bile duct. Case presentation: A 53-year-old female was admitted to the hospital with jaundice for one week. Imaging studies showed space-occupying lesions in both the left intrahepatic and common bile duct. We performed LHPD, and the patient was discharged on postoperative day 13 without bile and pancreatic fistula. Pathology confirmed tubular adenoma with high-grade intraepithelial neoplasia in both sites. Conclusion: LHPD can be an option for radical surgery in carefully screened patients with biliary malignancies with intrahepatic invasion.
Keywords: Laparoscopic Hepaticopancreaticoduodenectomy, Surgery, case report, intrahepatic cholangiocarcinoma, Bile duct tumour
Received: 14 Jul 2025; Accepted: 24 Oct 2025.
Copyright: © 2025 Fang, Huang, Chang, Luo, Huang and He. This is an open-access article distributed under the terms of the Creative Commons Attribution License (CC BY). The use, distribution or reproduction in other forums is permitted, provided the original author(s) or licensor are credited and that the original publication in this journal is cited, in accordance with accepted academic practice. No use, distribution or reproduction is permitted which does not comply with these terms.
* Correspondence: Kun He, hekun80@126.com
Disclaimer: All claims expressed in this article are solely those of the authors and do not necessarily represent those of their affiliated organizations, or those of the publisher, the editors and the reviewers. Any product that may be evaluated in this article or claim that may be made by its manufacturer is not guaranteed or endorsed by the publisher.
