ORIGINAL RESEARCH article
Front. Oncol.
Sec. Gastrointestinal Cancers: Gastric and Esophageal Cancers
Comparison of Apparent Diffusion Coefficient Values in Sentinel Lymph Nodes Versus Primary Tumors for Gastric Cancer N Staging
Provisionally accepted- Henan Cancer Hospital Affiliated Cancer Hospital of Zhengzhou University, Zhengzhou, China
Select one of your emails
You have multiple emails registered with Frontiers:
Notify me on publication
Please enter your email address:
If you already have an account, please login
You don't have a Frontiers account ? You can register here
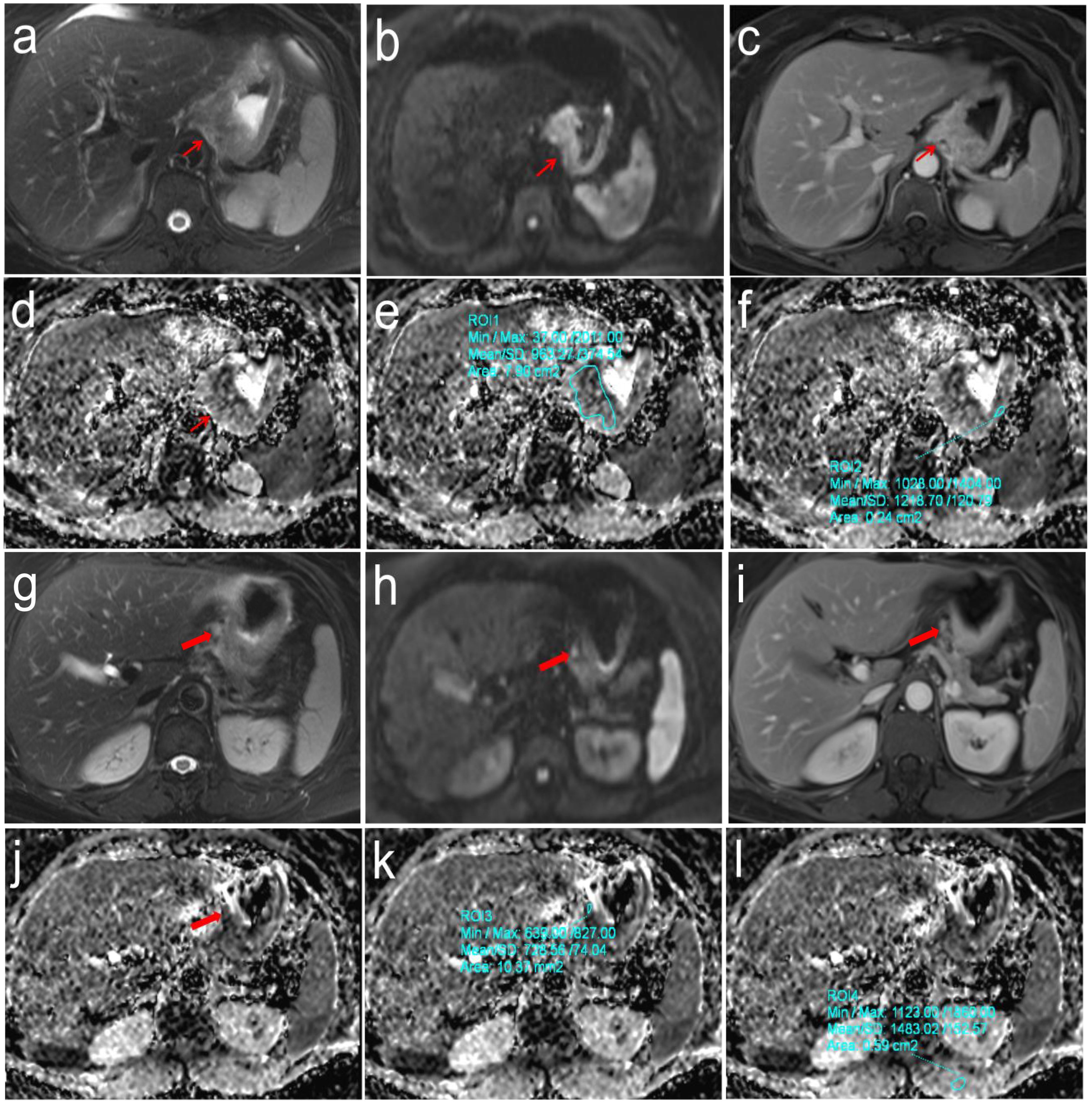
Purpose: To explore the differences in apparent diffusion coefficient (ADC) values based on the primary tumor and sentinel lymph node (SLN) for predicting N stages of gastric cancer (GC). Methods: One hundred and sixty histopathologically confirmed GC patients between April 2021 and October 2024 were prospectively recruited. Preoperative DW-MRI was performed, and ADC values from primary tumors (ADCT) and SLNs (ADCLN), along with their relative ratios (rADCT, rADCLN), were measured. Differences in these parameters across N stages were analyzed using the Kruskal-Wallis test. Receiver operating characteristic analysis was used to evaluate their diagnostic performances for predicting N0 vs. N1-3 stages, N0 + 1 vs. N2 + 3 stages, and N0 + 1 + 2 vs. N3 stages. Results: Significant differences were observed in ADCT, rADCT, ADCLN, and rADCLN values across N stages (all p <0.001). The AUC values of ADCT, rADCT, ADCLN, and rADCLN for predicting N0 vs. N1 + 2 + 3 stages were 0.753, 0.727, 0.782, 0.792, respectively. The AUC values of ADCT, rADCT, ADCLN, and rADCLN for predicting N0 + 1 vs. N2 + 3 stages were 0.776, 0.767, 0.844, 0.837, respectively. The AUC values of ADCT, rADCT, ADCLN, and rADCLN for predicting N0 + 1 + 2 vs. N3 stages were 0.797, 0.792, 0.857, 0.848, respectively. Conclusions: Both primary tumor-and SLN-derived ADC values can effectively differentiate N stages among patients with GC. SLN-based ADC parameters exhibit superior diagnostic performance compared to primary tumor-based measurements in stratifying N-stage progression.
Keywords: Apparent diffusion coefficient, Magnetic Resonance Imaging, Sentinel lymph node, Primary tumor, Stomach Neoplasms
Received: 16 Jul 2025; Accepted: 07 Nov 2025.
Copyright: © 2025 Yan, Li, Qu, Zhang, Zhang and Yu. This is an open-access article distributed under the terms of the Creative Commons Attribution License (CC BY). The use, distribution or reproduction in other forums is permitted, provided the original author(s) or licensor are credited and that the original publication in this journal is cited, in accordance with accepted academic practice. No use, distribution or reproduction is permitted which does not comply with these terms.
* Correspondence: Liangliang Yan, yanliangliang2008@126.com
Disclaimer: All claims expressed in this article are solely those of the authors and do not necessarily represent those of their affiliated organizations, or those of the publisher, the editors and the reviewers. Any product that may be evaluated in this article or claim that may be made by its manufacturer is not guaranteed or endorsed by the publisher.
