CASE REPORT article
Front. Oncol.
Sec. Breast Cancer
Ribociclib Plus Endocrine Therapy in Bone Marrow Visceral Crisis: Challenging the Chemotherapy Paradigm in Luminal Metastatic Breast Cancer—A Case Report
Provisionally accepted- Hospital Regional Universitario de Malaga, Málaga, Spain
Select one of your emails
You have multiple emails registered with Frontiers:
Notify me on publication
Please enter your email address:
If you already have an account, please login
You don't have a Frontiers account ? You can register here
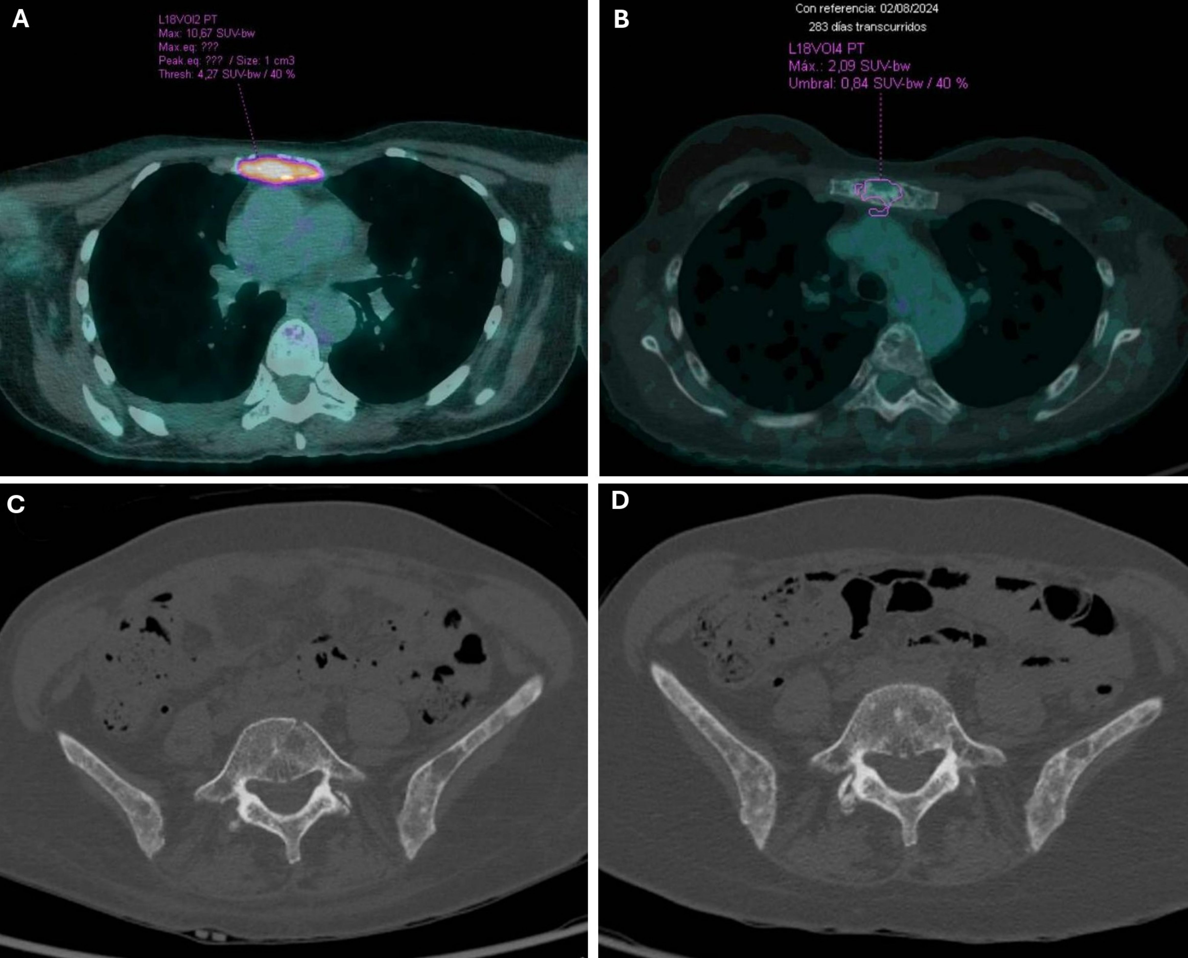
Introduction: Visceral crisis in hormone receptor-positive, HER2-negative metastatic breast cancer poses a therapeutic challenge, traditionally managed with chemotherapy due to the urgency of organ dysfunction. However, recent evidence suggests that cyclin-dependent kinase 4/6 inhibitors, in combination with endocrine therapy, may offer rapid and effective disease control even in aggressive presentations. Case Presentation: We report the case of a 52-year-old premenopausal woman diagnosed with de novo HR+, HER2-negative metastatic lobular breast cancer presenting with severe anemia and thrombocytopenia secondary to diffuse bone marrow infiltration. The patient was initially managed with letrozole and goserelin, followed by the addition of ribociclib. Clinical and hematologic parameters improved rapidly, and the patient achieved a complete metabolic response after nine treatment cycles without significant toxicity. Discussion: This case highlights bone marrow infiltration as a form of visceral crisis, reinforcing the heterogeneity of visceral crisis presentations beyond solid organ involvement. The rapid response and sustained disease control observed with CDK4/6i plus ET challenge the traditional paradigm favoring chemotherapy in such scenarios. Supporting evidence from RIGHT Choice, ABIGAIL, and recent case series further validate this therapeutic approach in carefully selected patients. Conclusion: CDK4/6 inhibitors in combination with endocrine therapy may constitute an effective and well-tolerated alternative to chemotherapy in HR+/HER2− metastatic breast cancer presenting with visceral crisis, including hematologic compromise due to bone marrow involvement. This case underscores the need to reconsider current treatment algorithms to include targeted therapies as a viable and effective option in acute and life-threatening presentations of HR+/HER2− metastatic breast cancer.
Keywords: visceral crisis, metastatic breast cancer, RIGHTCHOICE, Abigail, Bone marrow infiltration, luminal breast cancer
Received: 18 Jul 2025; Accepted: 27 Nov 2025.
Copyright: © 2025 Pérez López, Lendinez-Sánchez, González García, Jiménez Rodriguez, León Fradejas and Fernandez Garay. This is an open-access article distributed under the terms of the Creative Commons Attribution License (CC BY). The use, distribution or reproduction in other forums is permitted, provided the original author(s) or licensor are credited and that the original publication in this journal is cited, in accordance with accepted academic practice. No use, distribution or reproduction is permitted which does not comply with these terms.
* Correspondence:
Óscar Iván Pérez López
Gonzalo Lendinez-Sánchez
Jesús González García
Myriam León Fradejas
David Fernandez Garay
Disclaimer: All claims expressed in this article are solely those of the authors and do not necessarily represent those of their affiliated organizations, or those of the publisher, the editors and the reviewers. Any product that may be evaluated in this article or claim that may be made by its manufacturer is not guaranteed or endorsed by the publisher.
